-
1 理论知识
-
2 微课视频
-
3 PPT
-
4 测验习题
第一节 神经系统细胞及基本病变

神经系统由神经细胞、胶质细胞(包括星形胶质细胞、少突胶质细胞、室管膜细胞),小胶质细胞、脑膜组成细胞,以及血管所组成。
一、神经系统细胞
(一)神经元
又称神经细胞,其大小和外观在中枢神经系统中差异很大。但都具有胞体和树突、轴突。胞体又叫核周体,内含神经丝、微管、内质网、游离核糖体和一个有明显核仁的核。一些大神经元突起的粗面内质网可用Nissl染色显示,在光镜下是灰蓝色斑块状,称为尼氏小体(Nissl body,又称虎斑小体)。树突和轴突是神经元的突起,能在神经元之间传递电冲动,突起的大小和形态各不相同,很难用常规的显微镜鉴别。
(二)神经胶质细胞
为特化的中枢神经系统的支持细胞,由四种成分组成:①星形胶质细胞 除非用特殊的染色方法,否则在光镜下很难鉴别,为中枢神经系统的其它细胞提供支架,与神经元突起紧密相连,控制神经元的环境,影响局部神经传导和电解质浓度,与大脑毛细血管连接,调节血脑屏障。②少突胶质细胞 是中枢神经系统中数量最多的细胞,其核出现在神经元和神经纤维周围,具有合成和保持髓鞘的功能。③脉络丛细胞 分泌脑脊液,胞浆中含有大量线粒体、粗面内质网和高尔基体。形成立方上皮覆盖于脑室蛛网膜上,并有不典型的微绒毛。④小胶质细胞 属于单核巨噬细胞系统。通常处于静止状态,在光镜下不明显,但在反应和脱髓鞘疾病时发挥作用。
除神经细胞外,神经组织内还有脑脊膜和血管。脑脊膜分为软膜、蛛网膜和蛛网膜颗粒(脑脊液吸收部位)。由纤维母细胞样细胞组成。中枢神经系统的血管与其它部位的毛细血管的差异主要在于:血管无窗孔,内皮细胞基膜被星形胶质细胞突起形成的网紧密包围。这些特殊的结构特点是血脑屏障的重要组成成分。作为一个功能单位,它限制许多物质的进出中枢神经系统,如蛋白质、离子、非脂溶性大分子和药物。
二、基本病变
(一)神经细胞基本病变
1.尼氏体溶解 于脊髓灰质炎、维生素B缺乏、神经元胞体与轴突断离等。此时,尼氏体从核周开始崩解为细尘状颗粒,并渐渐向外扩展,进而完全溶解消失。因尼氏体消失,胞浆着色浅,胞体肿胀,细胞由多极形状变为圆形,胞核移位于轴突起始部对侧边缘部。病变一般为可逆性,去除病因,可恢复正常。如发展,可导致细胞萎缩或坏死。
A.正常神经元呈多边形,核居中,胞质见尼氏小体呈灰蓝色斑块状;B.中央性尼氏小体溶解。神经元胞体肿胀,核边置,核仁明显,胞体中央尼氏小体消失,呈透亮区域。核膜下仍可见尼氏小体次病变是由粗面内质网脱颗粒所致。
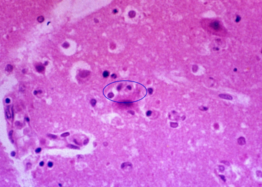
2.红色神经元(red neuron) 见于急性缺血、缺氧、以及感染引起的神经元坏死。神经细胞核固缩,胞体缩小变形,尼氏小体消失,HE染色胞浆呈深伊红色,称为红色神经元。继而发生核溶解,核消失。如仅见死亡细胞的轮廓称为鬼影细胞(ghost cell)。
![]() | ![]() |
3.前角变性 常见于轴突横断,通常伴有尼氏体溶解。轴突远端变性发生于它与相连的核周体分离后,如截断。四日内,远端变性,轴突断裂和髓鞘崩解脱失片随后被巨噬细胞吞噬。但轴突的再生在中枢神经系统没有太大意义。
4.神经元萎缩(neuronal atrophy) 发生于许多慢性渐进性变性疾病,例如运动神经元疾病,神经元胞体及胞核固缩、消失,但无炎症反应。常含有过多的脂褐素颗粒。病变早期神经元缺失很难被察觉,晚期,局部胶质细胞增生则提示该处曾有神经元存在。上游神经元变性坏死,使下游神经元难于接受经突触传入的信号,久之可致该下游神经元变性萎缩。此现象称为跨突触变性(neuronal transsynaptic degeneration)。例如两侧膝状体在视网膜或视神经受损后的萎缩。
5.脱髓鞘(demyeliantion) 当神经元的轴突和树突受损伤时,其髓鞘肿胀、断裂、崩解成脂质和中性脂肪,呈苏丹Ⅲ染色阳性。

6.病毒性包含体 常见于神经元胞浆内(例如狂犬病的Negri小体),且有诊断价值。也可出现在核内、胞浆内或同时出现(如巨细胞病毒)。
7.细胞结构蛋白异常 见于老年性痴呆症(神经元纤维缠结)、震颤性麻痹(lewy小体)。海绵状脑病因异常朊蛋白(PrP)集积,导致神经元胞体及突起空泡改变。
(二)神经胶质细胞的基本病变
1.星形胶质细胞的基本病变 有肿胀、反应性胶质化、包含体形成等。
(1)肿胀 为损伤早期的形态变化。常见于缺氧、中毒、低血糖等疾病。此时细胞核及胞浆肿大、淡染。如损伤因子持续存在,可导致细胞死亡。
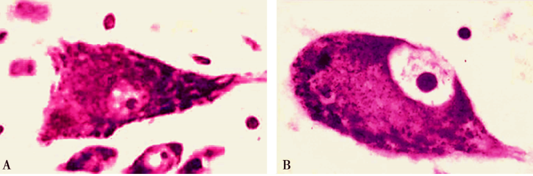
(2)反应性胶质化(reactive gliosis) 这是对脑组织损伤修复所发生的增生。出现星形胶质细胞增大,其胞体和突起形成胶质瘢痕。因不含胶原纤维和相应的间质蛋白,其机械强度较弱。

肥胖型星形胶质细胞的胞核体积增大偏位,甚至出现双核,核仁明显,胞浆丰富,嗜伊红。免疫组化染色GFAP(胶质细胞酸性蛋白,glial fibrillary acidic protein)强阳性。多见于局部缺氧、水肿、梗死及肿瘤周边。
(3)胞浆内包含体形成 多见于各种变性疾病,包含体可用银染色显现。
2.少突胶质细胞的基本病变
(1)卫星现象(satellitosis) 一个神经元由5个或5个以上少突胶质细胞围绕。一般在神经元变性坏死时多见,其意义不明,可能与神经营养有关。

(2)脱髓鞘 少突胶质细胞已形成的髓鞘脱失
(3)营养不良 少突胶质细胞髓鞘形成不良
3.室管膜细胞的基本病变 见于各种致病因素,由室管膜下星形胶质细胞增生,充填缺损,形成向脑室面突起的小颗粒,称为颗粒状室管膜炎(ependymal granulation)。在巨细胞病毒感染时,有些室管膜细胞出现病毒性包含体。
(三)小胶质细胞的基本病变
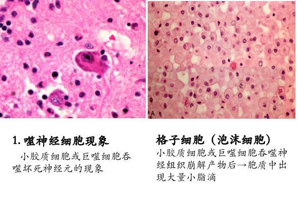
1、噬神经细胞现象(neuronophagia):神经细胞死亡后,小胶质细胞或血源性巨噬细胞包围吞噬现象。巨噬细胞在吞噬细胞和组织碎片后,细胞浆中出现小脂滴,HE染色呈空泡状,称为泡沫细胞(foamy cell)或格子细胞(gitter cell),苏丹Ⅲ染色呈阳性反应。

2、胶质细胞结节:局灶性增生形成结节,见于神经梅毒等。此时细胞增生,胞体变窄,胞突减少,有的呈双极杆状。




























