-
1 理论知识
-
2 视频拓展
-
3 PPT
-
4 思维导图
第三节 泌尿系统肿瘤

一、肾细胞癌
肾细胞癌(renal cell carcinoma ) 是成年人原发性肾肿瘤中最常见的类型,占肾肿瘤的70~80%,占肾恶性肿瘤的90%。多见于60岁左右的人群,男性多于女性。多以无症状性血尿为始发症状,渐出现腰痛并能触及肿物。初诊时肿瘤限于肾内的患者,术后五年生存率可达70%以上,但侵及肾静脉或扩散至肾周围脂肪组织的患者,五年生存率仅5~20%。肾细胞癌来源于肾小管上皮细胞,吸烟者比不吸烟者发病率高。
(一)病理变化
肿瘤多为单发,球形,见于肾的两极,尤以上极多见,常致肾脏变形。肿瘤常有假包膜形成,因而与周围肾组织界限清楚。切面见肿瘤多为实性,少数为囊性,灰黄(癌细胞胞浆内含有大量脂质)或灰白色,常有出血(红褐色)、坏死(灰白)和纤维化(白色)区相间,呈现出多彩颜色。

光镜下,癌细胞多排列成腺泡状,也见腺管状或乳头状,多为实性癌巢,少数呈囊状。癌巢之间的间质富于毛细血管,纤维成分少。

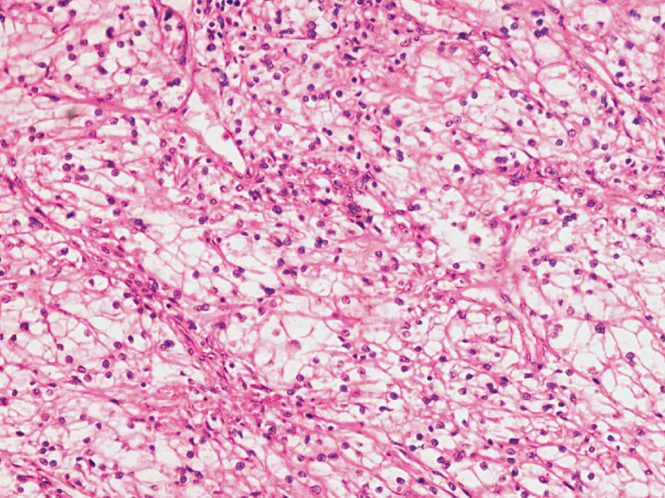
透明细胞型(clear cell type)最多见(如下图),有些为颗粒细胞型(granular cell type),少数为透明细胞颗粒细胞混合型,偶见未分化型。透明细胞型,癌细胞呈多角形,胞浆透明, 细胞核小而深染,也称透明细胞癌(clear cell carcinoma )。癌细胞排列成腺管状或腺泡状。胞浆透明是由于胞浆内含有大量脂质,另外,胞浆内含丰富的糖原也可能与胞浆的透明相关。间质内几乎无纤维组织,富于血管。

颗粒细胞型,癌细胞呈立方形或多角形,胞浆呈伊红色颗粒状,腺管状结构明确,癌细胞呈立方型。间质由毛细血管构成。癌细胞胞浆富于细胞器特别是线粒体,因而HE染色呈细颗粒状。较透明细胞型癌细胞核异型性显著,细胞排列也较乱,恶性度高,予后较差。
未分化型(undifferentiated type) 癌细胞呈梭形或不规则形,似肉瘤。
(二)播散途径
肿瘤逐渐生长,可直接侵入肾盂,肾盏,甚至输尿管。癌细胞穿破肾被膜,可侵犯肾上腺和肾周围脂肪组织。此外,肾细胞癌常侵入肾静脉,有的在静脉腔内形成条索向下腔静脉延伸,甚至达右心房。癌组织血管丰富,早期即可发生血路转移,最常转移到肺、骨髓和对侧肾脏。淋巴道转移常首先到肾门及主动脉旁淋巴结。
二、肾母细胞瘤
肾母细胞瘤(nephroblastoma, Wilms’tumour)来源于肾胚基,是典型的胎儿型肿瘤。在小儿恶性肿瘤中,发病率仅次于白血病和神经母细胞瘤。1~4岁为发病高峰,成年人罕见。患者90%小于7岁,50%小于3岁。男女发病率无差别。肾母细胞瘤患者可伴发各种先天性畸形,最常见的有先天性无虹膜、生殖泌尿器畸形、精神神经发育迟缓等。最常见的临床表现为腹部肿块、血尿、高血压,腹痛和肠梗阻也可为首发症状。肿瘤生长迅速,相当数量的病例初诊时,肾的大部分已被肿瘤占据或已经转移到肺。目前由于手术和放疗或化疗的并用,病人的预后得到了很大的改善。
(一)病理变化
肿瘤体积大,灰白色,瘤组织常突破肾被膜侵及肾周围脂肪组织,甚至扩散至肠系膜根部。切面隆起,实性或囊性,色彩多样,与肿瘤的成分有关。部分质硬,灰白色,部分质软,粘液样,部分可见透明软骨样组织,并有钙化、出血和坏死灶。

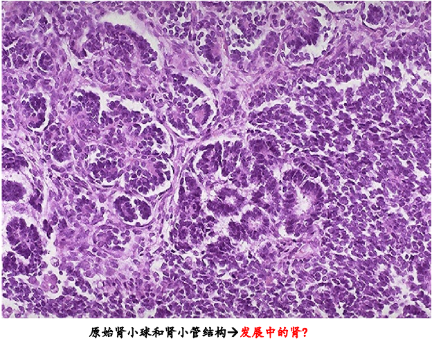
镜下,肿瘤组织有三种成分:未分化的肾母细胞(nephroblastic cells),体积小,呈梭形,胞浆少,核染色深,肉瘤样,弥漫分布;在弥漫性分布的未分化梭形细胞中,可见由肾母细胞分化而来的未成熟的肾小球和肾小管样结构(如下图);不同分化程度的横纹肌及平滑肌、胶原纤维、软骨、骨和脂肪组织等间叶组织(mesenchymal tissues),这些间叶组织的分化程度与预后密切相关。

根据肿瘤所含成分比例的不同,可分为三型,未分化肾母细胞占优势的为肾母细胞型(nephroblastic type);肾小球和肾小管样结构占优势的为上皮型(epitheloid type);横纹肌等间叶组织占优势的为间叶型(mesenchymal type)。
三、移行细胞癌
肾盂、输尿管、膀胱粘膜上皮及尿道的部分上皮均为移行上皮,最常发生的肿瘤为移行细胞癌。鳞癌和腺癌也偶有发生。移行细胞癌多发生在膀胱,有多中心性发生倾向,提示致癌因子可能在尿中。发病相关因素包括吸烟和接触化学性致癌物(纺织、印刷所用的染料,橡胶、电缆、塑料工业所用的试剂等)。
男性多于女性(男性是女性的3倍),高龄人群(60-70岁)多发。始发症状,血尿占70%~90%,其中60%~70%为无症状性血尿。部分病例是在门诊检查时无意中发现的。未侵及粘膜下的浅表性膀胱癌预后较好,五年生存率60%~100%。但浸润性膀胱癌进展迅速,五年生存率仅25~60%。血行转移多及肺、肝和骨,淋巴道转移多见于腹膜后和主动脉周围的淋巴结。
1. 病理变化
移行细胞癌的好发部位为膀胱侧壁和三角区近输尿管开口处,单发或多发,大小不等(数mm~数cm)。呈乳头状、息肉状或扁平的突起状,并向深层浸润。切面灰白,可有坏死等改变。根据细胞分化程度可将移行细胞癌分为三级。Ⅰ级:呈乳头状生长。癌细胞具有明显的极性,多层(可超过7层),似移行上皮,细胞仅见轻微异型性,核异型和核分裂像罕见;Ⅱ级,肿瘤细胞增生达7层以上,仍保留乳头状增生的形态,但细胞的极性部分紊乱,从基底部向表层分化倾向不明了,可见大且深染的异型核,茎部和粘膜下浸润;Ⅲ级,癌细胞呈巢状分布,乳头状增生倾向不明显,癌细胞异型性明显,核大,大小不一,深染,核分裂像多,癌巢中央细胞坏死明显,肿瘤边缘常侵及粘膜下层和肌层。预后受组织学分级,有无血管、淋巴管浸润,膀胱壁内的浸润深度,有无转移等因素影响。










