-
1 理论知识
-
2 微课视频
-
3 PPT
-
4 思维导图
-
5 临床病例讨论
第一节 肾小球肾炎

疾病特点:
肾小球肾炎(glomerulonephritis),是以肾小球损害为主的一组疾病,较为常见。
主要临床表现为蛋白尿、血尿、水肿和高血压。
肾小球疾病可为原发性或继发性。
原发性肾小球疾病指原发于肾脏的独立性疾病,多数类型是抗原抗体反应引起的免疫性疾病,多数是变态反应引起的以增生为主的炎症,少数(如膜性肾小球肾炎,轻微肾小球病变)并无明显炎症变化 。继发性肾小球疾病的肾病变或继发于其他疾病或作为全身性疾病的一部分,如狼疮性肾炎、紫癜性肾炎、糖尿病肾病等。
一、肾小球肾炎的病因及发病机制
大部分肾小球疾病是Ⅲ型变态反应或免疫复合物沉积性变态反应引起的。
(一)循环免疫复合物沉积
免疫复合物 (抗原-抗体复合物) 在血循环中形成,它们随血液循环流经肾脏时,在肾小球内沉积下来,引起肾小球损伤。循环免疫复合物的抗原可为外源性和内源性,但均为非肾小球性(即不属于肾小球本身的组成成分)。外源性抗原(如细菌、病毒、异种蛋白、药物等)和内源性抗原(如DNA、甲状腺球蛋白、肿瘤抗原等)均可刺激机体产生相应抗体,抗原和抗体在血液循环中结合而形成循环免疫复合物。
人体血循环中的各种免疫复合物是否能在肾小球内沉积并引起肾小球损伤,取决于免疫复合物的大小、溶解度和携带电荷的种类等。通常认为,抗体明显多于抗原时,常形成大分子不溶性免疫复合物,这些免疫复合物常被吞噬细胞所清除,不引起肾小球损伤。相反,抗原明显多于抗体时,形成小分子可溶性免疫复合物,这些免疫复合物不能结合补体,且易通过肾小球滤出,也不引起肾小球损伤。只有当抗原稍多于抗体或抗原与抗体等量时,所形成的免疫复合物能在血液中保存较长时间,随血液循环流经肾小球时沉积下来,引起肾小球损伤。
(二)原位免疫复合物形成
肾小球本身的固有成分,在某种情况下成为抗原;或非肾小球抗原进入肾小球后与肾小球某一成分结合而形成植入性抗原,均可刺激机体产生相应抗体。抗原与抗体在肾小球局部结合,形成的免疫复合物称原位免疫复合物(in situ immune complex),并引起原位免疫复合物肾小球肾炎(in situ immune complex glomerulone nephritis)。
(1)肾小球固有成分 目前已知的可作为靶抗原的肾小球固有成分有如下几种:①可诱发抗GBM性肾小球肾炎和肺出血肾炎综合征的肾小球基底膜抗原包括:层粘连蛋白、胶原的α链和Ⅳ型胶原α3链的非胶原区(NCI)、蛋白聚糖、巢蛋白等;②β1整合素等上皮细胞抗原成分可诱发膜性肾小球肾炎;③可诱发系膜增生性肾小球肾炎的系膜抗原有系膜基质抗原、细胞表面抗原Thy1.1;④抗内皮细胞抗原有血管紧张素转换酶抗原。
(2)植入性抗原 非肾小球抗原进入机体,首先与肾小球某一固有成分结合,形成植入抗原,刺激机体产生相应抗体,抗原抗体在肾小球内原位结合形成免疫复合物引起损伤,引起肾小球肾炎。可引起肾小球肾炎的植入性抗原有:免疫球蛋白、细菌、病毒和寄生虫等感染的产物和某些药物等。
(三)细胞免疫在肾小球肾炎发生中的作用
多数类型的肾小球肾炎是抗体介导的免疫损伤引起的。但研究表明,某些肾小球肾炎的发生和进展与细胞免疫(cell-mediated immunity)密切相关。在人类和实验动物的肾小球肾炎均可见一些肾小球内存在激活的巨噬细胞、T细胞,这些细胞的产物在疾病的发生和进展中起作用;人类和实验动物肾小球肾炎的体内和体外实验表明,在引起肾小球肾炎的抗原的刺激下,淋巴细胞均可被激活;将淋巴细胞人为地去除后,肾小球的损伤可减轻或消退;将实验性肾小球肾炎动物个体的T细胞移植给另一个体可引起受者肾小球发生与供者相同的组织学改变。实验性新月体性肾小球肾炎,抗肾小球基底膜抗体可通过激活淋巴细胞亚型启动或促进肾小球损伤。在肾小球硬化过程中,淋巴细胞和巨噬细胞释放的淋巴因子和细胞因子刺激系膜细胞增生,使系膜基质增加,引起肾小球硬化。
(四)肾小球肾炎发生中的炎症介质
肾小球内免疫复合物形成或沉积仅是引起肾小球肾炎的致炎因子,真正的炎症形成尚需炎症介质(mediators of inflammation)参与。参与肾小球肾炎形成的重要炎症介质有:
1. 补体的激活 沉积的免疫复合物可以激活补体(complement)。激活的补体有多种生物学活性,主要的是:C5b~9形成的膜攻击复合物可使细胞溶解破坏。另外,在激活过程中产生多种蛋白水解片断和生物活性物质,引起炎症反应,如C3a、C4a和C5a可激发细胞释放组织胺等血管活性物质,使毛细血管通透性增加,C5a又是阳性趋化物质,可吸引白细胞。
2. 炎细胞及其产物 中性白细胞、巨噬细胞、淋巴细胞、自然杀伤细胞和血小板等可产生多种蛋白溶解酶、细胞、血管活性物质等,参与变质、渗出和增殖等炎症过程。
3. 肾小球固有细胞及其产物 肾小球固有细胞(系膜细胞、内皮细胞和上皮细胞)受刺激和活化后,可分泌多种介质,如多肽细胞因子(白介素1,6,8、上皮细胞生长因子、转化生长因子、血小板衍生生长因子、胰岛素样生长因子、集落刺激因子、肿瘤坏死因子等),生物活性酯、蛋白酶、胶原酶、凝血及纤溶因子、活性氧等,并可产生粘附糖蛋白和基质成分,促进增生和硬化。
二、肾小球肾炎的临床表现
(一)尿的变化
1. 少尿或无尿 24h尿量少于400ml,称少尿(oliguria),少于100ml,称无尿(anuria)。当肾小球内细胞高度增生挤压毛细血管、肾小囊腔有形成分增多并形成新月体、肾小球结构破坏或硬化,均可造成肾小球滤过率下降,出现少尿或无尿。
2. 多尿、夜尿和等比重尿 24h尿量超过2500ml称多尿(polyuria)。见于大部分肾单位破坏,有效肾单位减少时,肾单位浓缩改造原尿功能下降,所以尿量增多、夜尿增多、尿比重恒定。
3. 血尿 尿沉渣检查,每10个高倍视野(400×)有1~2个以下红细胞为正常水平,每个视野超过1个红细胞则为血尿(hematuria)。尿中混有0.1%以上的血液,尿呈红色,称为肉眼血尿(gross hematuria),肉眼观尿未呈红色,光镜下才见有血尿,称为镜下血尿(microscopic hematuria)。肾小球来源的血尿是由于毛细血管壁严重损伤和断裂造成的,由于通过裂口时的挤压和肾小管中的渗透压的影响,红细胞变成奇形怪状,与非肾性血尿不同。
4. 蛋白尿 尿中蛋白量大于150mg/日为蛋白尿(proteinuria),大于3.5g/日则提示肾小球有严重损伤。尿蛋白如为白蛋白等低分子蛋白构成,说明肾小球对蛋白呈选择性滤过,因而称之为选择性蛋白尿(selective proteinuria),提示肾小球的电荷和大小选择屏障损伤较轻;如尿蛋白中含有球蛋白等大分子蛋白,称之为非选择性蛋白尿(non-selective proteinuria),提示肾小球的选择屏障损伤较重。蛋白尿是由于肾小球毛细血管通透性增高造成的。
5. 管型尿 管型(cast)由蛋白质、细胞或细胞碎片等在肾小管内凝聚而成,为肾小管铸型。管型的基质均为肾小管来源的Tamm-Horsfall蛋白,但所含其他成分不同,形态和性质不一。管型包括:透明管型(白蛋白构成),颗粒管型(细胞碎片构成),上皮细胞管型,红细胞管型,白细胞管型,脂肪管型等。正常情况下,尿内可见少量透明管型,但如有大量透明管型或见其他管型,则称为管型尿,表明肾小球或肾小管有病变。肾小球病变时,透明管型和颗粒管型多见。
(二)系统性改变
1. 肾性水肿 肾性水肿(renal edema)是血浆渗透压下降和水钠潴留的结果,可表现为颜面水肿、腹水、胸水等。见于尿蛋白长期大量流失或肾脏水调节功能下降。
2. 肾性高血压 由于肾脏功能异常导致的高血压,称肾性高血压(renal hypertension)。各种肾小球内皮细胞和系膜细胞严重增生、肾小球结构破坏和硬化,肾小球毛细血管挤压闭塞乃至消失,导致肾小球缺血,肾素分泌增多,出现肾性高血压。另外,由于肾功能异常,体内水钠潴留,导致有效循环血量增多,也可出现肾性高血压。
3. 血肌酐值 肌酐(creatinine)主要从肾小球排出,血中肌酐值不受肾外因素影响,与肾小球滤过值密切相关,因而血肌酐浓度是了解肾功能损伤程度极为有用的指标。正常值0.7~1.2mg/dl,大于2.5mg/dl则为肾功能不全。
4. 肾性贫血和肾性骨病 肾性贫血(renal anemia)和肾性骨病(renal osteopathia) 肾功能严重受损时,促红细胞生成素减少,电解质紊乱,钙磷代谢失调,从而导致贫血、骨质疏松。
(三)肾小球肾炎的临床综合征
根据上述表现结合其他检查结果、临床经过等,将肾小球肾炎的临床表现分以下8个综合征:
1. 急性肾炎综合征 急性肾炎综合征(acute nephritis syndrome)简称急性肾炎。急性起病,主要表现为血尿、蛋白尿、少尿、常伴高血压和轻度水肿。主要病理类型是毛细血管内增生性肾小球肾炎。
2. 快速进行性肾炎综合征 快速进行性肾炎综合征(rapidly progressive nephritis syndrome)简称快速进行性肾炎。起病或急或缓,表现为血尿、蛋白尿、贫血,快速进展至肾功能衰竭。病理类型主要是新月体性肾小球肾炎。
3. 慢性肾炎综合征 慢性肾炎综合征(chronic nephritis syndrome)简称慢性肾炎。临床上所谓慢性肾炎是指蛋白尿、血尿、水肿、高血压等肾小球肾炎症状迁延不愈超过半年以上者,多缓慢发展,最终发展为肾功能不全。多种病理学类型的原发性肾小球肾炎均可表现为慢性肾炎。
4. 肾病综合征 肾病综合征(nephrotic syndrome) 临床表现为大量蛋白尿、低蛋白血症、高度水肿和高脂血症。引起肾病综合征的病理学类型很多,主要有膜性肾小球肾炎、膜增生性肾小球肾炎、系膜增生性肾小球肾炎、微小病变性肾小球肾炎和局灶性节段性肾小球硬化。
5. 反复发作性或持续性血尿 反复发作性或持续性血尿(recurrent or continuous haematuria):起病或急或缓,常表现为肉眼血尿或镜下血尿,一般无肾小球肾炎的其他症状。病理学类型主要是IgA肾病。
6. 隐匿性肾炎综合征 隐匿性肾炎综合征(occult nephritis syndrome) 患者无症状,仅有镜下血尿或蛋白尿。病理类型主要是系膜增生性肾小球肾炎。
7. 肾功能衰竭 肾功能衰竭(renal failure) 患者血肌酐和尿素氮升高,高血压,少尿、无尿或多尿,根据病程和临床表现,分为急性和慢性肾功能衰竭。肾小球肾炎的主要病理类型,包括新月体肾小球肾炎、硬化性肾小球肾炎、严重的毛细血管内增生性肾小球肾炎、膜增生性肾小球肾炎和系膜增生性肾小球肾炎都可导致肾功能衰竭。
8. 尿毒症 尿毒症(uremia)是严重的肾功能衰竭导致的自身中毒状态。由于体内毒性物质的刺激和水电解质失衡,使多系统出现病变,如毒性物质刺激使毛细血管通透性增加,导致脑水肿、心肌水肿、胃肠道水肿以及各部位水肿和积液。毒性物质刺激引起化学性炎,出现纤维素性小叶性肺炎、纤维素性心包炎、胸膜炎、腹膜炎、肠炎等。电解质紊乱和代谢紊乱导致肾性贫血和肾性骨病。
三、肾小球肾炎的基本病变和病理学分类
(一)基本病变
1. 变质性变化 肾小球肾炎时,由于各种蛋白溶解酶和细胞因子的作用,导致基底膜通透性增加,肾小球固有细胞变性,乃至纤维素样坏死。
2. 渗出性变化 肾小球肾炎时常有白细胞渗出,主要是中性白细胞和单核细胞,偶见少许嗜酸性白细胞。渗出的中性白细胞释放蛋白水解酶,破坏内皮细胞、上皮细胞及基底膜。此外,红细胞也可漏出,其数量多少不等,大量漏出可见肉眼血尿;小量漏出时仅见镜下血尿。肾小球内有时可见纤维素渗出。渗出的液体成分多随尿排出,所以形态学表现不明显。
3. 增生性变化 肾小球内细胞数目增多是多种肾小球肾炎的特征之一。主要是肾小球固有细胞的增生。可表现为以系膜细胞和内皮细胞增生为主的毛细血管内细胞增生和以肾小囊上皮细胞增生为主的毛细血管外细胞增生,后者常形成新月体。肾小球肾炎的后期,系膜基质增多,导致肾小球硬化。
(二)病理学分类
原发性肾小球疾病分类
|
肾小球的病变根据其分布特点描述为弥漫性、局灶性、球性和节段性。弥漫性和局灶性是指受病变累及的肾小球占全部肾小球的比例而言,几乎所有(50%以上)肾小球被病变累及,称弥漫性(diffuse);仅部分肾小球有病变,称局灶性(focal)。球性和节段性是指病变对一个肾小球侵犯的程度而言,病变累及整个或几乎整个肾小球,称球性(global);病变仅累及肾小球的一部分,称节段性(segmental)。
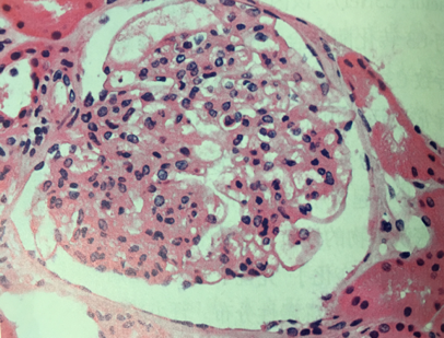
1. 轻微病变性肾小球肾炎
轻微肾小球病变 (minimal change disease) 也称轻微病变性肾小球肾炎(minimal change glomerulonephritis),是一种常见的肾小球疾病,病理特点是光镜下肾小球无明显变化,电镜下肾小球上皮细胞足突融合(如下图),临床特点是大量蛋白尿或肾病综合征。好发于儿童和青少年。
(电子显微镜下可见:肾小球上皮细胞足突融合)
(1)病理变化 :光镜下肾小球无病变或仅见局灶节段性轻度异常。近端肾小管上皮细胞内可见脂滴空泡,故又称脂性肾病(lipoid nephrosis)。
免疫荧光: 肾小球内无免疫球蛋白和补体沉积。
电镜 肾小球基底膜和系膜无显著变化,肾小球内无电子致密沉积物,主要变化是肾小球上皮细胞足突融合,故有人称之为足突病(foot process disease)。

(2)临床表现与预后 :临床上表现为肾病综合征。蛋白尿发生认为与肾小球基底膜所带的负电荷减少有关。负电荷减少有利于带负电荷的血浆蛋白通过毛细血管壁漏出。肾小球无明显炎症,病变轻微,故一般无血尿及高血压,肾功能无损害。糖皮质激素治疗效果好。
2. 局灶性节段性肾小球病变
2-1 . 局灶性增生性肾小球肾炎
局灶性增生性肾小球肾炎 (focal proliferative glomerulonephritis) 强调了肾小球病变的分布状态,即病变肾小球占全部肾小球的50%以下,多数病例在30%以下。近年来,原发性局灶性肾小球肾炎逐渐减少,而继发性局灶性肾小球肾炎日渐增多,见于系统性红斑狼疮、过敏性紫癜、细菌性心内膜炎等。
(1)病理变化
光镜下:肾小球表现为局灶性节段性系膜增生,纤维素样坏死,或硬化。增生性病变轻微且可自发消退,极少数情况下形成节段性瘢痕。坏死性病变,初期多为节段性毛细血管纤维素样坏死,血栓形成,并可刺激肾小囊壁上皮细胞增生,形成新月体,最后导致节段性瘢痕形成和肾小囊粘连,而肾小球其他部分结构保存良好。这种硬化性病变为非进行性,通常不影响肾功能。
免疫荧光: IgG和补体C3在肾小球系膜沉积,纤维素样坏死区有纤维素沉积。
电镜下:系膜细胞和基质增多,部分可见系膜区有电子致密沉积物。
(2)临床表现
临床表现较轻,主要为肉眼或镜下血尿并可见红细胞管型,蛋白尿通常较轻。表现为隐匿性肾炎或血尿。
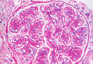
2-2. 局灶性节段性肾小球硬化 局灶性节段性肾小球硬化症(focal segmental glomerulo-sclerosis)以部分肾小球发生节段性硬化为特征,是局灶性肾小球肾炎的特殊类型。
(1) 病理变化
光镜下:部分肾小球,特别是位于皮髓质交界处的肾小球呈节段性玻璃样硬化,即PAS阳性物质沉积。有时可见硬化区周围上皮细胞增生并与肾小囊粘连。
免疫荧光 :肾小球硬化区可见IgM和C3沉积。
电镜下:肾小球基底膜厚薄不均,上皮细胞足突融合。系膜基质增多,伴电子致密物沉积。
(2) 临床表现:表现为肾病综合征,伴血尿和高血压,对糖皮质激素治疗不敏感。病变为进行性,约半数在5年内发展至肾功能衰竭。
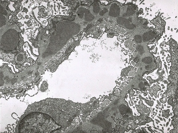
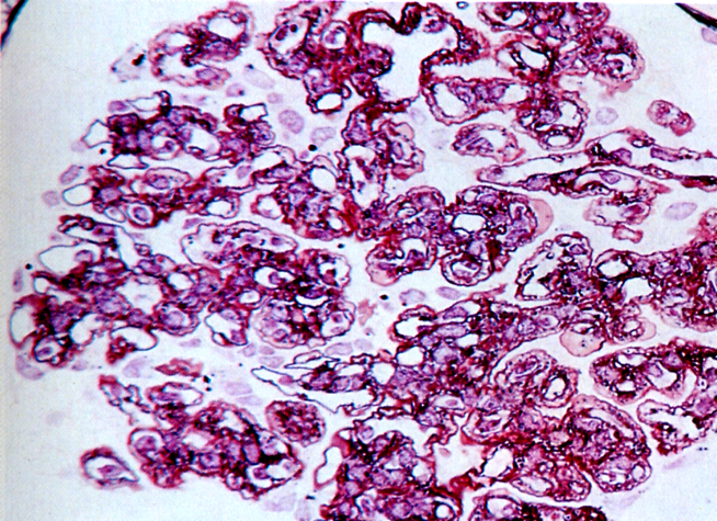
3.膜性肾小球肾炎(membranous glomerulonephritis)
膜性肾小球肾炎(membranous glomerulonephritis),简称膜性肾炎,又称膜性肾病(membranous nephropathy)。由于本型缺乏渗出、增生等炎症表现,故称膜性肾病似更合适。中老年人多见,40岁以上为发病高峰期。
(1) 病理变化
光镜下:弥漫性基底膜增厚,上皮下免疫复合物沉积(用Masson染色呈红色),免疫复合物之间新生的基底膜样物质形成钉状突起(spike)(镀银染色呈黑色)。初期毛细血管管腔无显著变化,后期基底膜显著增厚,毛细血管管腔变狭窄。
免疫荧光: IgG、C3沿毛细血管壁呈颗粒状沉积,偶见IgM的沉积。

电镜下观察,以上皮下电子致密物沉积和电子致密物之间新生基底膜样物质形成钉状突起为特征,不同时期表现不同,可分为4期:Ⅰ期:上皮下可见散在小型电子致密物,上皮细胞足突融合,基底膜无明显变化。Ⅱ期:上皮下电子致密物较Ⅰ期增多,分布均匀,致密物之间出现新生的基底膜样物质,并形成钉状突起,分隔致密物,基底膜增厚。Ⅲ期:基底膜内可见电子致密物,基底膜样物质进一步增多,包绕电子致密物,基底膜进一步增厚。 Ⅳ期:上述各期的电子致密物部分溶解消失,不规则增厚的基底膜呈虫蚀状。有的患者同时可见两期病变特点,以其中一期病变占优势。

![]() | ![]() |
(2) 临床表现
基底膜严重损伤,通透性明显增高,大量血浆蛋白(包括大分子蛋白)由肾小球滤过,引起严重的非选择性蛋白尿,表现为肾病综合征。约半数患者发病后十年左右进展至慢性肾功能衰竭
4.系膜增生性肾小球肾炎(mesangial proliferative glomerulonphritis)
系膜增生性肾小球肾炎(mesangial proliferative glomerulonphritis)以弥漫性系膜细胞增生为特征,通常伴系膜基质增多,晚期病例系膜硬化显著。
(1)病理变化
光镜下: 弥漫性系膜细胞增生伴系膜基质增多,使系膜区域加宽。毛细血管壁无明显变化。有时伴有局灶性节段性肾小球硬化。

免疫荧光: IgG和C3在系膜区沉积。有时可见IgM沉积。
电镜下 :系膜细胞和系膜基质增生,伴低密度电子致密物沉积。
(2)临床表现:主要表现为隐匿性肾炎综合征。部分表现蛋白尿甚至肾病综合征。重度系膜增生者,可损伤肾功能,继续发展可导致系膜硬化和肾小球硬化。
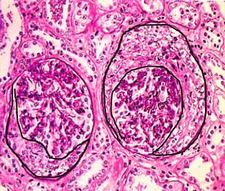
5.毛细血管内增生性肾小球肾炎(endocapillary proliferative glomeru-lonephritis)
毛细血管内增生性肾小球肾炎(endocapillary proliferative glomeru-lonephritis),多在扁桃体炎等上呼吸道感染1~2周后发病,其发病与感染,尤其是A组乙型溶血性链球菌感染有关,所以又叫感染后或链球菌感染后肾小球肾炎(post-infectious or post-streptococcal glomerulonephritis)。多见于儿童青少年。
(1) 病理变化
肉眼观察: 肾脏肿大,充血、被膜紧张、表面光滑、色较红,故称大红肾。
光镜下: 弥漫性肾小球肿胀,细胞数目显著增多(hypercellular)是其主要特征。系膜细胞、内皮细胞明显增生肿胀为主,早期尚可见多少不等的中性白细胞和单核细胞浸润。增生的细胞使毛细血管管腔狭窄、甚至闭塞,从而导致肾小球缺血。少数严重病例可见肾小球壁层和脏层上皮细胞增生, 壁层细胞的增生形成新月体,易引起肾小球纤维化,如数量少,对功能影响不大。如病变广泛可发展为新月体性肾炎。
| ![]() |
间质充血、水肿,少量淋巴细胞和中性白细胞浸润。肾小管上皮细胞可有水变性、脂肪变性及玻璃样变等。管腔内常含有各种管型,如透明管型、红细胞管型、白细胞管型等。
免疫荧光: 可见免疫球蛋白IgG和补体C3呈粗颗粒状沉积于肾小球毛细血管壁。

电镜下: 除证实肾小球内增生的细胞主要是系膜细胞和内皮细胞,渗出的细胞是中性粒细胞等外,可见基底膜外侧或上皮下有高密度、大团块电子致密物沉积。沉积物从基底膜向外侧形成驼峰状突起(hump)。

(2) 临床表现 表现为急性肾炎综合征。多数预后较好。
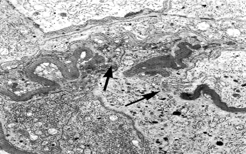
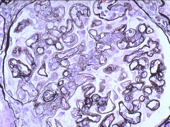
6. 膜增生性肾小球肾炎(membranoproliferative glomerulonephritis)
膜增生性肾小球肾炎(membranoproliferative glomerulonephritis)的病变特点是既有基底膜的增厚,又有系膜的增生。有两个亚型,Ⅰ型多见(90%),也称为系膜毛细血管性肾小球肾炎(mesangiocapillary glomerulonephritis),Ⅱ型少见(10%),也称为致密沉积物病(dense deposit disease)。有些病人持续性血清补体降低,又称为低补体血性肾小球肾炎(hypocomplementic glomerulonephritis)。
(1) 病理变化
光镜下,Ⅰ型典型的病变是,弥漫性系膜细胞和系膜基质重度增生,沿内皮细胞和基底膜之间长入或插入(mesangial interposition),使毛细血管壁增厚,镀银染色或PAS染色基底膜呈双层(double contour)或多层状改变,这是由于系膜基质插入造成的。由于系膜细胞和系膜基质重度增生,系膜区域扩大导致肾小球呈明显的分叶状。Ⅱ型膜增生性肾小球肾炎也呈现这些病变,但与Ⅰ型相比,系膜增生轻,肾小球分叶状结构不明显。
(镀银染色或PAS染色基底膜呈双层(double contour)或多层状改变,这是由于系膜基质插入造成的)
免疫荧光 Ⅰ型膜增生性肾小球肾炎显示IgG和补体C3呈颗粒状和团块状沉积于毛细血管壁和系膜区。Ⅱ型膜增生性肾小球肾炎显示大量补体C3沉积于毛细血管壁和系膜区。
电镜下系膜细胞和系膜基质增生伴系膜插入,即增生的系膜细胞和系膜基质插入到基底膜和内皮细胞之间。系膜基质和基底膜形态相似,因而看上去似有两层或多层基底膜,这就是光镜下所见的双层或多层的形态,一层是原有基底膜,另几层是插入到内皮细胞和基底膜之间的系膜基质。肾小球内可见电子致密物。Ⅰ型 大量电子致密物位于基底膜内皮侧及系膜区域,少量见于上皮下;Ⅱ型 电子致密物的电子密度较Ⅰ型明显高,沿基底膜致密层呈带状分布。

(2) 临床表现
两型膜增生性肾小球肾炎临床表现相似,均多见于青少年,女性稍多于男性。可仅表现为无症状性血尿,但多为肾病综合征或慢性肾炎综合征,呈慢性进行性,50%~70%的病例在10年内进展至慢性肾功能衰竭。Ⅱ型膜增生性肾小球肾炎在行肾移植后有复发倾向。
7.新月体性肾小球肾炎(crescentic glomerulonephritis)
新月体性肾小球肾炎(crescentic glomerulonephritis)的病理学特征是大量肾小球内新月体形成,故名。又因主要病变位于肾小球毛细血管丛之外而称为毛细血管外增生性肾小球肾炎(extracapillary glomerulonephritis)。根据病因分为5型:Ⅰ型,抗基底膜型,患者血内有GBM抗体;Ⅱ型,免疫复合物介导型,病变肾小球内有免疫复合物沉积;Ⅲ型,血管炎型,患者血内有中性白细胞胞浆抗体(ANCA);Ⅳ型,抗基底膜和血管炎混合型,患者血内ANCA和抗GBM抗体均阳性;Ⅴ型,特发型,所有抗体均阴性。
(1) 病理变化
光镜下 病变肾小球毛细血管袢严重损伤,毛细血管壁断裂,血液流入肾小囊并凝固,导致肾小囊上皮细胞增生,形成新月体。有新月体的肾小球呈弥漫性,超过全部肾小球的50%。早期,构成新月体的主要成分是增生的肾小囊上皮细胞,其间混有单核巨噬细胞、中性粒细胞和纤维蛋白。此种以细胞成分为主的新月体,称为细胞性新月体(cellular crescent)。进而上述细胞转化为成纤维细胞,并产生胶原纤维,形成细胞和纤维共存的细胞纤维性新月体(fibrous crescent)。后期,细胞成分完全被纤维组织代替,形成纤维性或硬化性新月体。肾小管萎缩,肾间质纤维化。

免疫荧光 Ⅰ型和Ⅳ型新月体性肾小球肾炎显示IgG和C3沿肾小球毛细血管壁呈线状沉积;Ⅱ型新月体性肾小球肾炎可见不同的免疫球蛋白和C3在肾小球不同部位沉积;Ⅲ型和Ⅴ型新月体性肾小球肾炎IgG和C3阴性。

电镜下:肾小球基底膜不规则增厚,有时可见基底膜断裂缺损,新月体形成。Ⅱ型新月体性肾小球肾炎可见电子致密物沉积。

(2) 临床表现
临床表现为快速进行性肾炎综合征,所以也称快速进行性肾小球肾炎(rapidly progressive glomerulonephritis) 。虽然,血浆交换、激素治疗、细胞毒药物治疗可以使患者的肾病变有所逆转,但是本病的预后不好,最终需要肾透析和肾移植治疗。

8. IgA肾病(IgA nephropathy, Berger's disease)
IgA肾病(IgA nephropathy, Berger's disease)是世界范围内常见病,是肾功能衰竭的主要原因之一。临床特征是,青年和儿童多见,复发性血尿,血尿发生时常伴上呼吸道感染,轻度蛋白尿,极少有肾病综合征,可有高血压,血清IgA水平升高。血清IgA水平升高可能与病毒感染及食物蛋白相关。由于血清IgA水平升高, IgA伴有C3大量沉积于肾小球系膜区,特别是旁系膜区(系膜和基底膜之间的交界区),激活补体,刺激系膜细胞轻度增生,之后系膜基质增多,最终致节段性硬化。
组织学检查,病变程度参差不齐,但免疫组织化学发现系膜区大量IgA沉积为其特征。轻者,轻度局灶性系膜增生,其他肾小球仅见系膜内IgA 和C3沉积,电镜下,相应地可见系膜区,特别是旁系膜区电子致密沉积物,预后好。重者,似系膜毛细血管性肾小球肾炎,弥漫型增生,并有节段性坏死,肾功能迅速恶化,预后不良。IgA肾病有的可见肾间质活动性炎症,如有间质纤维化则预后不良。儿童患者预后较好,成年人较差。此外不利的预后因素还有持续高度蛋白尿和高血压。
9. 硬化性肾小球肾炎(sclerosing glomerulonephritis)
硬化性肾小球肾炎(sclerosing glomerulonephritis)不是一个独立的肾小球肾炎病理类型,而是许多类型肾小球肾炎的终末阶段。病变特点是大量肾小球硬化,肾小管萎缩、消失,间质纤维化。起始病变的类型多不能辩认。
(1) 病理变化
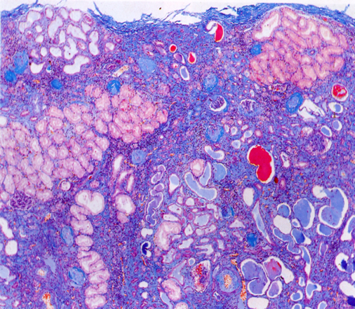
大体:两侧肾脏对称性固缩,表面呈微小颗粒状,故称之为颗粒性固缩肾(granular nephrosclerosis)。切面观,皮质变薄,皮髓质分界不清。

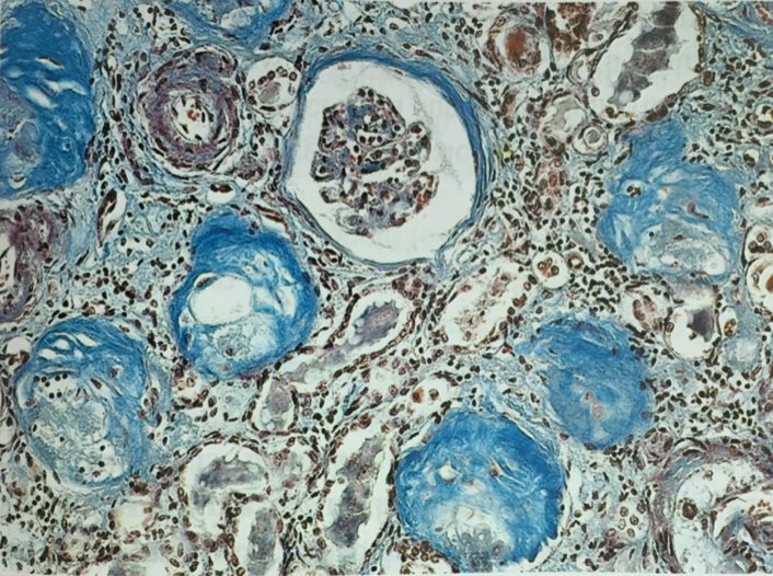
光镜下:大量肾小球硬化、玻璃样变(超过全部肾小球的50%)。肾小球中央部分变为无细胞、嗜伊红、PAS阳性之玻璃样小体,周围部分纤维化(如下图)。少数肾小球结构残存。硬化肾小球所属肾小管萎缩、消失、使玻璃样变的肾小球相互靠拢集中。残留肾单位常呈代偿性肥大,肾小球体积增大,肾小管扩张。间质纤维组织增生并有大量淋巴细胞、浆细胞浸润。间质内小动脉硬化,管壁增厚,管腔狭窄。
(肾小球纤维化及玻璃样变,所属肾小管萎缩、消失。间质纤维化伴炎细胞浸润。)
(纤维被染成了蓝色)
免疫荧光和电镜下:多无特异性发现。
(2)临床表现 慢性肾功能衰竭,最后发展为尿毒症。















































