第二节 纤维性修复
瘢痕性修复或称不完全性修复,是在组织细胞不能进行再生性修复的情况下,由损伤局部的间质新生出的肉芽组织溶解吸收异物并填补缺损,继之肉芽组织逐渐成熟,转变为瘢痕组织,使缺损得到修复。

一、肉芽组织
(一)概念
肉芽组织(granulation tissue)由新生壁薄的毛细血管、增生的纤维母细胞,并伴有一定量的炎性细胞浸润,肉眼表现为鲜红色、颗粒状、柔软湿润形似鲜嫩的肉芽故而得名。其本质是新生的富含毛细血管的幼稚阶段的纤维结缔组织。
(二)肉芽组织的成分及形态特点
肉芽组织是由纤维母细胞、毛细血管及一定数量的炎性细胞等有形成分组成的。其形态特点如下。
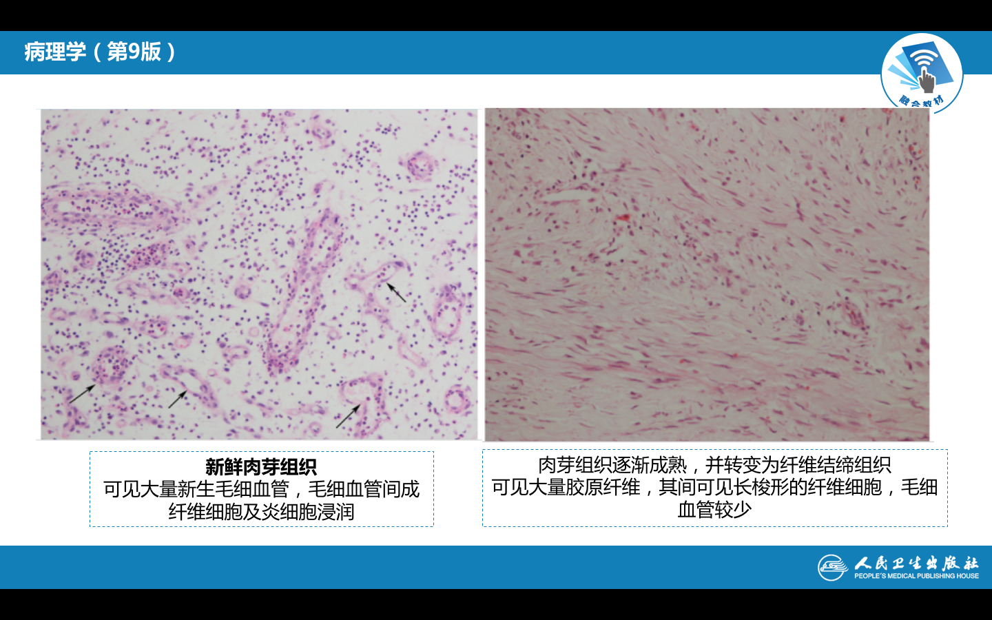
1.肉眼观察
肉芽组织的表面呈细颗粒状,鲜红色,柔软湿润,触之易出血而无痛觉,形似嫩肉故名。

2.镜下观察
基本结构为:
①大量新生的毛细血管,平行排列,均与表面相垂直,并在近表面处互相吻合形成弓状突起,肉眼呈鲜红色细颗粒状。
②新增生的纤维母细胞散在分布于毛细血管网络之间,很少有胶原纤维形成。
③多少不等的炎性细胞浸润于肉芽组织之中。肉芽组织内常含一定量的水肿液,但不含神经纤维,故无疼痛。

(三)肉芽组织的作用
肉芽组织在组织损伤修复过程中有以下重要作用:①抗感染保护创面;②填补创口及其它组织缺损;③机化或包裹坏死、血栓、炎性渗出物及其他异物。
机化(organization)是指由新生的肉芽组织吸收并取代各种失活组织或其它异物的过程。最后肉芽组织成熟,转变为纤维瘢痕组织。包裹(encapsulation)是一种不完全的机化。即在失活组织或异物不能完全被机化时,在其周围增生的肉芽组织成熟为纤维结缔组织形成包膜,将其与正常组织隔离开。
(四)肉芽组织的结局
肉芽组织在组织损伤后2~3天内即可开始出现,填补创口或机化异物。随着时间的推移,肉芽组织按其生长的先后顺序,逐渐成熟。其主要形态标志为:水分逐渐吸收;炎性细胞减少并逐渐消失;毛细血管闭塞、数目减少。最终肉芽组织成熟为纤维结缔组织并转变为瘢痕组织。

(5)健康的肉芽组织 & 不健康的肉芽组织
健康肉芽: 肉芽组织创伤表面可见大面积颜色鲜红、质地柔软、湿润、表面呈现细颗粒状的肉芽 组织,看起来像鲜嫩的肉芽,用手触之易发生出血

| 不健康肉芽: 不健康的肉芽组织由于局部组织出现感染,血液循环障碍或有异物存在等原因,导 致肉芽组织生长不良,临床称为不健康的肉芽组织。肉眼观苍白色,组织水肿,松弛无弹性,表 面颗粒不均匀,覆盖黄白色脓性渗出物等

|
二、瘢痕组织
(一)概念
肉芽组织经改建形成的纤维结缔组织。形态特点如下:

(二)瘢痕组织的作用

