第三节 不可逆性损伤
细胞死亡(cell death)可表现为坏死和凋亡。
一、坏死
活体内局部组织、细胞的死亡称为坏死(necrosis) 。坏死组织细胞的代谢停止,功能丧失。坏死的形态变化可以是由损伤细胞内的水解酶的降解作用引起,也可以由游走来的白细胞释放的水解酶的作用引起。坏死的原因很多,凡是能引起损伤的因子(缺氧、物理因子、化学因子、生物因子和免疫反应等),只要其作用达到一定的强度或持续一定时间,使受损组织和细胞的代谢完全停止即可引起局部组织和细胞的死亡。
1.坏死的形态改变
坏死的病变在光镜下通常要在细胞死亡若干小时后,当自溶性改变相当明显时,才能辨认出来。
(1)细胞核的改变 细胞核的改变是细胞坏死的主要形态学标志,表现为:

① 核浓缩 (pyknosis) | 由于核脱水使染色质浓缩,染色变深,核体积缩小。 |
② 核碎裂 (karyorrhexis) | 核染色质崩解为小碎片,核膜破裂,染色质碎片分散在胞浆内。 |
③ 核溶解 (karyolysis) | 在脱氧核糖核酸酶的作用下,染色质的DNA分解,细胞核失去对碱性染料的亲和力,因而染色变淡,甚至只能见到核的轮廓。最后,核的轮廓也完全消失。 |

(2)细胞浆的改变: 嗜酸性染色增强。有时实质细胞坏死后,胞浆水分逐渐丧失,核浓缩而后消失,胞体固缩,胞浆强嗜酸性,形成嗜酸性小体,称为嗜酸性坏死。实质细胞坏死后,整个细胞可迅速溶解、吸收而消失,为溶解坏死。
(3)间质的改变 :在各种溶解酶的作用下,间质的基质崩解,胶原纤维肿胀、崩解、断裂或液化。坏死的细胞和崩解的间质融合成一片模糊的颗粒状、无结构的红染物质。



临床上把确实失去生活能力的组织称为失活组织(坏死组织)。一般失活组织外观无光泽,比较混浊(无光泽);失去正常组织的弹性(无弹性);因无正常的血液供给而温度较低,摸不到血管搏动,在清创术中切除失活组织时,没有新鲜血自血管流出(无血供);失活组织失去正常感觉(皮肤痛、触痛)及运动功能(肠管蠕动)等(无感觉及运动功能)。
2.坏死的类型
(1)凝固性坏死 (coagulative necrosis)
坏死组织因为失水变干、蛋白质凝固,而变为灰白色或黄白色比较干燥结实的凝固体,故称为凝固性坏死。


脾凝固性坏死(大体观) | 
|
(2)液化性坏死(liquefactive necrosis)
有些组织坏死后被酶分解成液体状态,并可形成坏死囊腔称为液化性坏死。液化性坏死主要发生在含蛋白少脂质多(如脑)或产生蛋白酶多(如胰腺)的组织。发生在脑组织的液化性坏死又称为脑软化。化脓性炎症渗出的中性粒细胞能产生大量蛋白水解酶,将坏死组织溶解而发生液化性坏死。


(3) 纤维素样坏死
纤维素样坏死(fibrinoid necrosis)是发生在间质、胶原纤维和小血管壁的一种坏死。


(4 ) 几种特殊类型的坏死
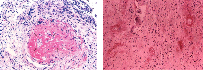
A. 干酪样坏死(caseous necrosis)
是凝固性坏死的特殊类型。主要见于由结核杆菌引起的坏死,是凝固性坏死的一种特殊类型。干酪样坏死组织分解比较彻底,因而光镜下不见组织轮廓只见一些红染的无结构颗粒物质。由于组织分解较彻底,加上含有较多的脂质(主要来自结核杆菌及中性粒细胞),因而坏死组织略带黄*色,质软,状似干酪,故称干酪样坏死。

B. 脂肪坏死(fat necrosis)
属于液化性坏死,分为酶解性和外伤性两种。前者常见于急性胰腺炎时。外伤性脂肪坏死则大多见于乳房,此时受损伤的脂肪细胞破裂,脂滴外逸,并常在乳房内形成肿块,光镜下可见其中含有大量吞噬脂滴的巨噬细胞(泡沫细胞)和多核异物巨细胞。

C. 坏疽( gangrene)
干性坏疽 | 
|
湿性坏疽 | 湿性坏疽多发生于与外界相通的内脏(肠、子宫、肺等),也可见于四肢(伴有淤血水肿时); 此时由于坏死组织含水分较多,故腐败菌感染严重,局部明显肿胀,呈暗绿色或污黑色。腐败菌分解蛋白质,产生吲哚、粪臭素等,造成恶臭。由于病变发展较快,炎症比较弥漫,故坏死组织与健康组织间无明显分界线。同时组织坏死腐败所产生的毒性产物及细菌毒素被吸收后,可引起全身中毒症状,甚至可发生中毒性休克而死亡。 常见的湿性坏疽有坏疽性阑尾炎、肠坏疽、肺坏疽及产后坏疽性子宫内膜炎等。

|
气性坏疽 | 为湿性坏疽的一种特殊类型,主要见于严重的深达肌肉的开放性创伤并合并产气荚膜杆菌等厌氧菌感染时; 细菌分解坏死组织时产生大量气体,使坏死组织内含大量气泡,按之有“捻发”音。 气性坏疽病变发展迅速,中毒症状明显,后果严重,需紧急处理。

|
| 三种坏疽的比较 | 干性坏疽 | 湿性坏疽 | 气性坏疽 |
发生条件部位 | 动脉阻塞、静脉回流通畅的四肢末端 | 与外界相通的内脏器官 动静脉均阻塞的四肢末端 | 深达肌肉的开放性创伤 |
病理变化 | 黑褐色、干涸、皱缩,与周围组织分界清。 | 明显肿胀,深蓝、污绿、污黑、恶臭,界限不清。 | 呈蜂窝状,有捻发音,含大量气体。 |
感染中毒 | 腐败菌感染轻 全身中毒症状轻 | 腐败菌感染重 全身中毒症状明显 | 发展迅速 全身中毒症状严重 |
3. 坏死的结局
(1)溶解吸收
较小的坏死灶可由来自坏死组织本身和中性粒细胞释放的蛋白水解酶将坏死物质进一步分解液化,然后由淋巴管或血管吸收,不能吸收的碎片则由巨噬细胞加以吞噬消化,留下的组织缺损,则由细胞再生或肉芽组织予以修复。
(2)分离排出
较大坏死灶不易完全吸收,其周围发生炎症反应,白细胞释放蛋白水解酶,加速坏死边缘坏死组织的溶解吸收,使坏死灶与健康组织分离。
坏死灶如位于皮肤或粘膜,脱落后形成缺损。局限在表皮和粘膜层的浅表缺损,称为糜烂(erosion);深达皮下和粘膜下的缺损称为溃疡(ulcer)。
肾、肺等内脏器官坏死组织液化后可经相应管道(输尿管、气管)排出,留下空腔,成为空洞(cavity)。
深部组织坏死后形成开口于皮肤或粘膜的盲性管道,称为窦道(sinus)。
体表与空腔器官之间或空腔器官与空腔器官之间两端开口的病理性通道称为瘘管(fistula)。




(3)机化
坏死组织如不能完全溶解吸收或分离排出,则由周围组织的新生毛细血管和纤维母细胞等组成肉芽组织长入并逐渐将其取代,最后变成瘢痕组织。这种由新生肉芽组织取代坏死组织或其他异常物质(如血栓等)的过程称为机化(organization)。
(4)包绕、钙化
坏死组织范围较大,或坏死组织难以溶解吸收,或不能完全机化,则由周围新生结缔组织加以包围,称为包裹(encapsulation)。坏死组织可继发营养不良性钙化,大量钙盐沉积在坏死组织中,如干酪样坏死的钙化。
(二) 凋亡
凋亡(apoptosis)一般是指机体细胞在发育过程中或在某些因素作用下,通过细胞内基因及其产物的调控而发生的一种程序性细胞死亡(programmed cell death)。一般表现为单个细胞的死亡,且不伴有炎症反应。

