第二节 慢性阻塞性肺疾病

COPD, 一组慢性气道阻塞性疾病的统称,共同特点是肺实质与小气道受损伤导致慢性气道阻塞、呼气阻力增加以及肺功能不全(图1)。


(图1)
一、慢性支气管炎
概念:是指气管、支气管黏膜及其周围组织的慢性非特异性炎症。
临床特征:临床上以反复发作的咳嗽、咳痰或伴有喘鸣音为特征。上述临床症状每年持续3个月,连续发生2年以上,即可诊断为慢性支气管炎。持续多年常伴发肺气肿和慢性肺源性心脏病。
病因及发病机制
慢性支气管炎的发病往往是多种因素长期综合作用的结果,呼吸道感染、大气污染、气候变化、过敏因素等为常见的外源性因素;机体抵抗力下降,尤其是呼吸系统局部防御功能受损是本病发生的重要内在因素。
(1)病毒和细菌感染 是慢性支气管炎发生和发展的重要因素。病原体多为病毒和细菌。凡能引起感冒的病毒均能引起本病的发生和复发,病毒感染可造成呼吸道黏膜上皮的损伤,使局部防御功能下降,为细菌感染创造有利条件。
(2)吸烟 吸烟者比不吸烟者患病率高2~8倍,患病率与吸烟时间长短、日吸烟量呈正相关。纸烟烟雾中的有害成分能使支气管黏膜上皮纤毛变短、运动受限,杯状细胞增生,腺体分泌增加,黏液排出障碍,利于细菌的感染;另外吸烟能削弱肺泡巨噬细胞的吞噬能力,使进入肺泡内的细菌清除受限。
(3)大气污染和气候变化 大气中常有刺激性烟雾和有害气体,如二氧化氮、二氧化硫、氯气、臭氧等能使纤毛清除能力下降,腺体黏液分泌增加,为病毒、细菌的入侵创造条件。气候变化特别是寒冷空气可使黏液分泌增加,纤毛运动减弱,因此,慢性支气管炎多在气候变化剧烈的季节发病和复发。
(4)过敏因素 喘息型慢性支气管炎患者往往有过敏史,在患者痰中嗜酸性粒细胞数量及组胺含量均增多。
(5)机体内在因素 机体的内在因素亦参与慢性支气管炎的发病。自主神经功能失调,副交感神经功能亢进可引起支气管收缩痉挛,黏液分泌物增多;营养因素与之发病也有一定关系,如维生素A、C缺乏,可使支气管黏膜上皮细胞修复受影响,易患慢性支气管炎。
4. 病理变化
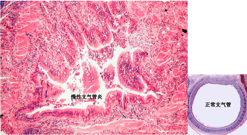
病变常起始于较大的支气管,各级支气管均可受累。主要病变为黏膜上皮损伤与修复性改变,支气管黏膜腺体肥大、增生、黏液腺化生以及支气管壁其他组织的慢性炎性损伤。
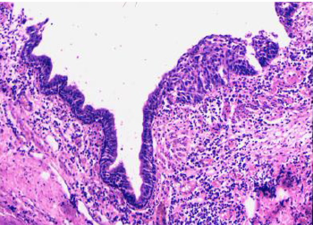
(1)黏膜上皮的损伤与修复 支气管黏膜上皮纤毛发生粘连、变短、倒伏,甚至缺失,上皮细胞变性、坏死、脱落,在再生修复时可伴有鳞状上皮化生。

图1-2
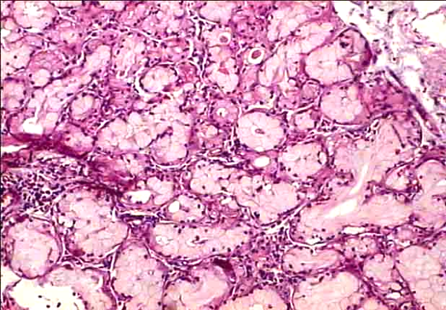
(2)腺体增生、肥大及黏液腺化生 黏膜下腺体肥大增生,部分浆液腺泡黏液腺化生,小气道粘膜上皮杯状细胞增多(图1-3)。由于黏膜上皮及腺体分泌功能亢进,患者常出现咳嗽、咳痰症状,因黏液分泌增多使分泌物变粘稠,不易咳出,易潴留于支气管腔内形成黏液栓,造成支气管腔的完全性或不完全性阻塞(图1-4)。病变后期,患者支气管黏膜及腺体出现萎缩性改变,致使黏液分泌减少,咳痰减少或无痰。

图1-3

图1-4
(3)支气管壁的损伤 支气管壁各层组织充血、水肿,淋巴细胞、浆细胞浸润。病变反复发作可使支气管壁平滑肌束断裂、萎缩,软骨变性、萎缩、钙化、骨化(图1-6)。病程久病情重者,炎症向纵深发展并由支气管壁向周围组织及肺泡扩散,纤维组织增生,进而使支气管壁僵硬或塌陷,形成细支气管炎及细支气管周围炎(图1-5)。受累的细支气管越多,气道阻力越大,肺组织损伤亦越严重,直至引起阻塞性肺气肿。

图1-5

图1-6
5. 临床病理联系及并发症
(1)慢性支气管炎的主要临床症状为咳嗽、咳痰、气喘:
(2)并发症
病变发展到晚期,由于黏膜及腺体的萎缩,使分泌物减少,痰量少或无痰,出现干咳。
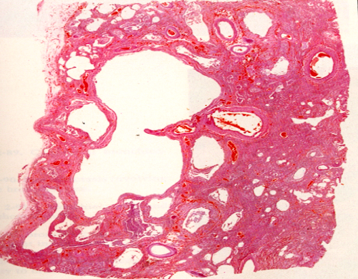
由于管壁组织的炎性破坏,使其弹性及支撑力削弱,加之长期慢性咳嗽,使支气管吸气时被动扩张,呼气时不能充分回缩,久之则形成支气管扩张。(图1-6)。
支气管黏膜因炎性渗出及肿胀而增厚,管腔内黏液潴留及黏液栓形成,阻塞支气管腔,使末梢肺组织过度充气而并发肺气肿,进而发展成慢性肺源性心脏病。
因细支气管壁甚薄,管壁炎症易于扩散而累及肺泡,并发支气管肺炎。

图1-6
二、肺气肿
肺气肿(pulmonary emphysema)是指呼吸细支气管、肺泡管、肺泡囊、肺泡(图2-1)因肺组织弹性减弱而过度充气,呈永久性扩张,并伴有肺泡间隔破坏,致使肺容积增大的病理状态。其发病在45岁以后随年龄的增长而增加,是老年人的一种常见病和多发病。

图2-1
(一)病因及发病机制
肺气肿与吸烟、大气污染、小气道感染、有害气体及粉尘吸入等有关,常为支气管和肺疾病的并发症,其中尤以慢性支气管炎最为多见。
(1)支气管阻塞性通气功能障碍
慢性支气管炎时由于炎性渗出物和黏液栓造成支气管阻塞,细支气管炎症使其管壁增厚,管腔狭窄,同时炎症破坏了支气管壁及肺间质的支撑组织。吸气时气体进入支气管的通路不畅,但可经细支气管扩张或侧支通过肺泡间孔进入受阻支气管远端的呼吸性细支气管;呼气时细支气管腔内黏液栓阻塞,肺泡间孔关闭,同时细支气管失去周围组织的支撑,管腔因而闭塞,气体流出受阻,使肺内残气量增多,导致肺组织过度膨胀、肺泡扩张、间隔断裂、肺泡融合、肺大泡形成(图2-2)。

图2-2
(2)弹性蛋白酶及其抑制物失衡
慢性支气管炎时,肺组织内渗出的嗜中性粒细胞和单核细胞较多,二者释放大量弹性蛋白酶(elastase)和氧自由基。弹性蛋白酶对支气管壁及肺泡间隔的弹力蛋白有破坏溶解作用。α1-抗胰蛋白酶(α1-antitrypsin, α1-AT)是血清、组织液及炎细胞中多种蛋白水解酶的抑制物(包括炎症时嗜中性粒细胞和巨噬细胞分泌的弹性蛋白酶)。嗜中性粒细胞、巨噬细胞释放的氧自由基可氧化α1-AT活性中心的蛋氨酸使之失活,从而对弹性蛋白酶的抑制减弱,使其活性增强,过多降解肺组织中的弹性硬蛋白、Ⅳ型胶原蛋白及蛋白多糖,使肺组织中的支撑组织受破坏,肺泡间隔断裂,肺泡融合形成肺气肿。遗传性α1-AT缺乏的家族肺气肿的发病率比一般人高15倍 ,主要是全小叶型肺气肿。遗传性α1-AT缺乏是引起原发性肺气肿的主要原因,此型肺气肿常无慢性支气管炎病史,发病年龄轻,病变进展快,国外报道较多,我国少见。
(3)吸烟
吸烟可引起并促进肺气肿的形成。吸烟导致肺组织内嗜中性粒细胞和单核细胞渗出并释放弹性蛋白酶,此外可形成大量的氧自由基,抑制肺组织中的α1-AT的活性,进一步增强弹性蛋白酶活性,使肺组织结构破坏,弹性下降。
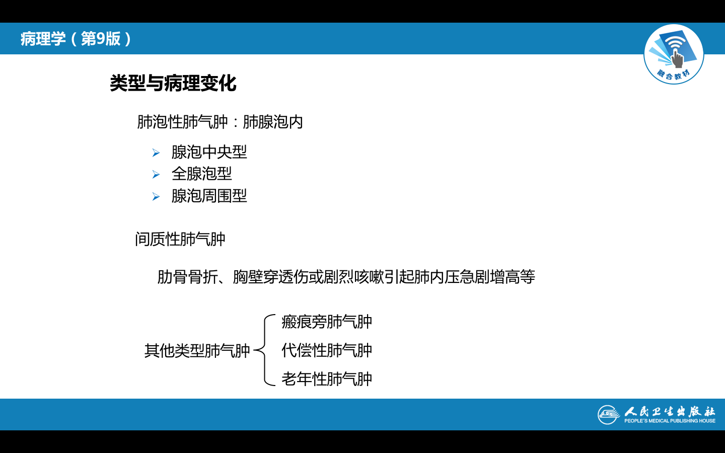
(二)类型
肺气肿分为肺泡性肺气肿和间质性肺气肿。肺泡性肺气肿多合并阻塞性通气功能障碍,故又称为阻塞性肺气肿。
1. 肺泡性肺气肿
(1)肺泡性肺气肿(alveolar emphysema)的分类。 病变发生于肺腺泡,分为腺泡中央型肺气肿、全腺泡型肺气肿和腺泡周围型肺气肿。
1)腺泡(小叶)中央型肺气肿(centriacinar emphysema) 最为常见,多伴有小气道炎症。病变以肺尖段为常见且严重。位于肺腺泡中央的呼吸细支气管呈囊状扩张,而肺泡管、肺泡囊未见明显变化(图2-3)。

图2-3
2)腺泡(小叶)周围型肺气肿(periacinar emphysema) 肺腺泡远端的肺泡管和肺泡囊扩张,近端的呼吸细支气管基本正常。由于此型肺气肿多系因小叶间隔受牵拉或发生炎症所致,故又称隔旁肺气肿(paraseptal emphysema)(图2-4)。

图2-4
3)全腺泡(小叶)型肺气肿(panacinar emphysema) 整个肺腺泡从呼吸细支气管直至肺泡均弥漫性扩张,气肿囊腔遍布于肺小叶。若肺泡间隔破坏严重,气肿囊腔可融合成直径超过1cm的大囊泡而形成大泡性肺气肿,多见于肺边缘胸膜下。此型肺气肿的发生可能与遗传性α1-AT缺乏有关。(图2-5)

图2-5
(2)肺泡性肺气肿的病理变化

图2-6
Ø 肺泡扩张,肺泡间隔变窄并断裂,相邻肺泡融合成较大的囊腔;
Ø 肺泡间隔内毛细血管床数量减少,间质内肺小动脉内膜纤维性增厚;
Ø 小支气管和细支气管可见慢性炎症改变。

图2-7
2. 间质性肺气肿
间质性肺气肿(interstitial emphysema)是由于肺内压急剧升高时,肺泡壁或细支气管壁破裂,气体进入肺间质所致。成串的小气泡呈网状分布于肺叶间隔、肺膜下,气体可沿细支气管和血管周围组织间隙扩散至肺门、纵隔,甚至胸部皮下引起皮下气肿。
除以上几种主要类型外,还有瘢痕旁肺气肿(paracicatrical emphysema)、代偿性肺气肿(compensatory emphysema)、老年性肺气肿(senile emphysema)。
肉眼观,气肿肺明显膨胀,边缘变钝,表面可见肋骨压痕,肺组织柔软而缺乏弹性,色灰白,切面肺组织呈蜂窝状,触之捻发音增强。

图2-8
(三)临床病理联系
症状:早期,轻度肺气肿临床上常无明显症状,随着病变加重,出现渐进性呼气性呼吸困难,胸闷、气短。合并呼吸道感染时,症状加重,并出现发绀、呼吸性酸中毒等阻塞性通气功能障碍和缺氧症状。
肺功能检查:肺功能降低,肺活量下降,残气量增加。残气量超过肺总量的35%,最大通气量低于预计值80%。
体征:重者出现肺气肿典型临床体征,患者胸廓前后径变大,呈桶状胸,叩诊呈过清音,心浊音界缩小,肋间隙增宽,膈肌下降,触觉语颤减弱,听诊呼吸音弱,呼气延长。肺X线检查肺野透光度增强。

图2-9
(四)并发症
①肺源性心脏病及右心衰竭:主要由于肺气肿时破坏了肺泡间隔毛细血管床,使肺循环阻力增加,肺动脉压升高,导致肺源性心脏病及右心衰竭。
②自发性气胸和皮下气肿:肺大泡破裂可导致自发性气胸,若位于肺门区可致纵隔气肿,气体上升至肩部、颈部皮下形成皮下气肿。
③急性肺感染:呼吸道急性感染时易并发支气管肺炎,患者出现发热、寒战,呼吸困难及咳嗽、咳痰加重,外周血白细胞计数增高。
三、支气管扩张症
概述
支气管扩张症(bronchiectasis)是指以肺内支气管的持久性扩张为特征的慢性疾病,扩张支气管常因分泌物潴留而继发化脓性炎症。临床上常出现咳嗽、咳大量脓痰,反复咯血等症状。

图3-1
病因及发病机制
支气管扩张症的重要发病因素是支气管及肺组织感染造成支气管壁支撑组织的破坏及支气管腔阻塞。此外,少数与支气管先天性发育缺陷及遗传因素有关,另有30%的患者病因不明,可能与机体的免疫功能失调有关。
(1)支气管壁的炎性损伤 婴幼儿百日咳及麻疹后支气管肺炎、慢性支气管炎、肺结核等疾病时,由于反复感染和化脓性炎症损伤了支气管壁的弹力纤维、平滑肌乃至软骨等支撑组织或细支气管周围肺组织纤维化,牵拉管壁致使呼气时管壁不能完全回缩,支气管腔逐渐发展为永久性扩张。肿瘤、异物吸入或管外肿大的淋巴结压迫造成支气管腔阻塞,使其远端分泌物排出受阻而发生阻塞性支气管炎,支气管壁亦遭炎性破坏。吸入腐蚀性气体、支气管曲菌感染等亦可损伤支气管壁并反复继发感染,也导致支气管扩张。
(2)支气管先天性发育缺陷和遗传因素 支气管壁先天性发育障碍,弹力纤维及平滑肌、软骨等支撑组织薄弱,再继发感染,极易发生支气管扩张。Kartagener综合征时,由于支气管粘膜上皮的纤毛结构及运动异常丧失净化功能,易继发感染而引起鼻窦炎、支气管扩张,常伴内脏异位(右位心)。有右位心者伴支气管扩张症的发病率在15%~20%,远高于一般人群,说明该综合征与先天性因素有关。胰腺囊性纤维化病的患者常合并肺囊性纤维化(pulmonary cystic fibrosis),由于末梢肺组织发育不全而弹性较差,分泌物潴留在支气管腔内,引起管腔阻塞并继发感染、肺间质纤维化,反复感染造成支气管壁的炎性破坏而发生支气管扩张。
3. 病理变化
病变的支气管可呈囊状或筒状扩张(图3-2),病变可局限于一个肺段或肺叶,也可累及双肺,以左肺下叶最多见。扩张的支气管、细支气管可呈节段性扩张,也可连续延伸至胸膜下,扩张的支气管数目多少不等,多者肺切面可呈蜂窝状(图3-3)。扩张的支气管腔内可见粘液脓性渗出物或血性渗出物,若继发腐败菌感染可带恶臭,支气管粘膜可因萎缩而变平滑,或因增生肥厚而呈颗粒状。

图3-2

图3-3
支气管壁呈慢性炎症改变伴不同程度组织破坏。粘膜上皮可萎缩、脱落或增生、鳞状上皮化生,亦可有糜烂或溃疡形成,支气管壁平滑肌、弹力纤维及软骨萎缩变性,甚至完全消失,管壁被炎性肉芽组织所取代,并可见淋巴细胞、浆细胞、嗜中性粒细胞浸润。扩张支气管周围纤维组织增生,逐渐发生纤维化(图3-4)。

4. 并发症
支气管扩张症常因并发化脓菌感染而引起肺炎、肺脓肿、肺坏疽、脓胸、脓气胸。当肺组织发生广泛性纤维化,肺毛细血管床遭到严重破坏时,可导致肺动脉循环阻力增加,肺动脉高压,引起慢性肺源性心脏病。
5. 临床病理联系
临床上典型症状为慢性咳嗽伴大量脓痰和反复咯血,痰量与体位改变有关。咳嗽、咳脓痰主要是由慢性炎性渗出和粘液分泌增多并继发感染所致。反复咯血是由于血管壁遭受炎症破坏及咳嗽所致。反复继发感染可引起发热、盗汗、乏力、食欲不振、消瘦、贫血等全身中毒症状。病变严重者可发生胸闷、呼吸困难、发绀,部分患者可有杵状指或趾。临床可借助支气管造影或高分辨率CT确诊。
四、支气管哮喘
支气管哮喘(bronchial asthma)简称哮喘,系由于各种内、外因素作用引发呼吸道过敏反应而导致的以支气管可逆性痉挛为特征的支气管慢性炎性疾病。临床上表现为反复发作性喘息,带有哮鸣音的呼气性呼吸困难、胸闷、咳嗽等症状,也可视为慢性阻塞性支气管炎的一种特殊类型。
1. 病因及发病机制
支气管哮喘的病因大多认为与多基因遗传有关,并与环境因素相互作用。环境因素中主要为某些激发因素,包括各种吸入物(尘螨、花粉、真菌、二氧化硫等)、多种病原体所致的感染、食物、药物、气候变化、妊娠等。多数学者认为哮喘主要与变态反应、气道炎症、气道高反应性及神经因素等相互作用有关。
过敏原经呼吸道或其他途径进入机体后,可激活T淋巴细胞并使其分化为Th1、Th2,同时释放多种白细胞介素(interleukin,IL),Th2可释放IL-4、IL-5。IL-4可促进B细胞增殖、分化,形成浆细胞产生IgE,IgE与肥大细胞、嗜碱性粒细胞表面的高亲和性的IgE受体结合。IL-5可选择性促进嗜酸性粒细胞分化,并使其激活,参与过敏反应。当过敏原再次进入体内,可与肥大细胞、嗜碱性粒细胞表面结合的IgE结合,并使该细胞合成释放多种炎症介质导致平滑肌收缩,粘液分泌增加,血管通透性增强。气道炎症被认为是哮喘的本质。多种因素相互作用构成复杂的网络,使气道反应性增高,受轻微刺激即可发生明显收缩。气道高反应性常有家族倾向,受遗传因素影响。神经因素也被视为支气管哮喘发病的主要环节,哮喘患者β肾上腺素受体常呈遗传性封闭或敏感性降低,迷走神经张力亢进均可导致支气管强烈收缩。一般根据在过敏原激发后哮喘发作时间不同,可分为速发性反应和迟发性反应。速发性反应是在过敏原激发后15~20分钟,哮喘发作达高峰,一般与肥大细胞和T细胞有关;迟发性反应是在6小时左右发作,持续时间较长,其发生与嗜酸性粒细胞及嗜碱性粒细胞有关。
2. 病理变化
肉眼观,肺组织膨胀,柔软、疏松而有弹性,支气管腔内有粘稠的痰液及粘液栓,支气管壁增厚,黏膜肿胀充血,黏液栓阻塞处局部见灶状肺不张。镜下,支气管粘膜上皮杯状细胞增多,粘液腺增生及平滑肌肥大,基底膜增厚并发生玻璃样变,黏膜水肿,粘膜固有层、粘膜下层及肌层见嗜酸性粒细胞、单核细胞、淋巴细胞及浆细胞浸润。黏液栓中可见尖棱状Charcot-Leyden结晶(嗜酸性粒细胞的崩解产物)及 Curschmann螺旋,此乃崩解的上皮细胞和黏液成分形成的螺旋状细丝。
3. 临床病理联系
支气管哮喘发作时,由于细支气管痉挛和粘液栓的阻塞,可导致呼气性呼吸困难,喘息,胸闷,伴有喘鸣音。上述症状可经治疗或自行缓解,反复发作或严重的哮喘可引起胸廓变形及肺气肿,偶可发生自发性气胸。