第二节 可逆性损伤
定义:
当细胞或细胞间质受损伤后,由于代谢障碍,使细胞内或细胞间质内出现异常物质或正常物质异常蓄积的现象,称为可逆性损伤(reversible injury),也称为变性(degerneration),通常伴有细胞功能低下。分类如下:

一、细胞水肿
1. 发生机制
线粒体受损,ATP生成减少,细胞膜Na+-K+泵功能障碍,导致细胞内钠离子积聚,吸引大量水分子进入细胞。心肌细胞、肝细胞、肾小管上皮细胞常易发生细胞水肿。

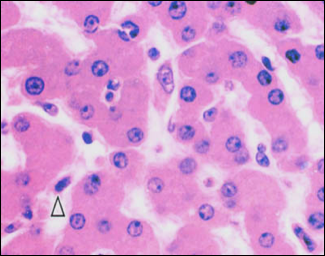
2. 病理变化
大体: | 器官体积增大,边缘圆钝,包膜紧张,切面外翻,颜色变淡。 |
镜下: | 初期,细胞体积增大,胞质疏松、淡染(红染细颗粒状物),称为胞质疏松化。严重者胞质透明呈空泡状,似气球,细胞核也可肿胀,称为气球样变,多见于病毒性肝炎。 |
附图:
二、脂肪变性
1. 定义
甘油三酯蓄积于非脂肪细胞的细胞质中。好发部位:肝细胞、心肌细胞、肾小管上皮细胞、骨骼肌细胞等 。其中,肝是脂肪代谢的重要场所,所以肝脂肪变最为常见。
心肌脂肪变性多见于左心室心内膜下乳头肌,脂肪变心肌呈黄色,与正常心肌的暗红色相间,形成黄红色斑纹,称“虎班心”
2. 机制

3. 病理变化
大体 | 器官体积增大,淡黄色,边缘圆钝,油腻感。 |
镜下 | 胞质内有多个小空泡,严重者可见大泡,核被挤至细胞一侧。 |
附图:

虎班心 | 
|

严重的心肌脂肪变可呈弥漫性,心肌全部呈灰黄色。 图为锇 酸染色,脂滴呈黑色颗粒 状( ↑)
|
三、玻璃样变性
1.定义
细胞内或间质中出现均质、半透明状的蛋白质蓄集。在HE染色中呈均质性红染,称玻璃样变或透明变。
2. 分类
(1)细胞内玻璃样变 变常表现为均质红染的圆形小体或团块,位于细胞质内。 | 
肾小球肾炎时,肾近曲小管上皮细胞吞饮滤出的血浆蛋白胞质内出现 粉染玻璃样小体。 | 
病毒性肝炎、酒精性肝病时,因细胞内角蛋白堆积,肝细胞中出现红染的马洛里小体。
|
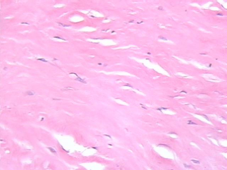
(2)纤维结缔组织玻璃样变 见于生理性或病理性结缔组织增生,是纤维组织老化的表现。
| 
胶原蛋白交联、变性、融合,增生的胶原纤维增粗,其间少有血管和纤维细胞 | 胶原蛋白交联、变性、融合,增生的胶原纤维增粗,其间少有血管和纤维细胞
|
(3)细小动脉壁玻璃样变 |
高血压和糖尿病的肾、脑、脾等细小动脉。因血浆蛋白渗入和基底膜样物质沉积于血管壁,使动脉壁增厚、变硬, 管腔狭窄。动脉壁内见有均质、红染无结构的玻璃样物质。 
|
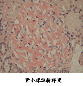
四、淀粉样变性
1.定义:细胞间质出现淀粉样蛋白质-粘多糖复合物沉淀。
2.病变:镜下细胞外间质呈淡红色的均质状。因与淀粉遇碘反应相似故得名(刚果红染色为桔红色,遇碘则为棕褐色,再加稀硫酸便呈蓝色)。
3.常见部位:细胞间、小细管基底膜、网状纤维支架、血管壁。
五、黏液样变
定义:细胞间质内粘多糖(葡萄糖胺聚糖、透明质酸等)和蛋白质的蓄集 。
病变:镜下间质疏松,多突起的星芒纤维细胞散在于灰兰色的粘液样基质中;
常见部位:胶原病,如风湿病等,动脉粥样硬化及间叶组织肿瘤基质中等。
六、病理性色素沉着
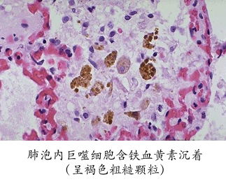
1. 含铁血黄素沉着
• 巨噬细胞吞噬、降解红细胞血红蛋白产生的铁蛋白微粒聚集体(Fe3+与蛋白质结合)
• 呈金黄色或褐色颗粒,可被普鲁士兰染成蓝色
• 提示有陈旧性出血和溶血性疾病

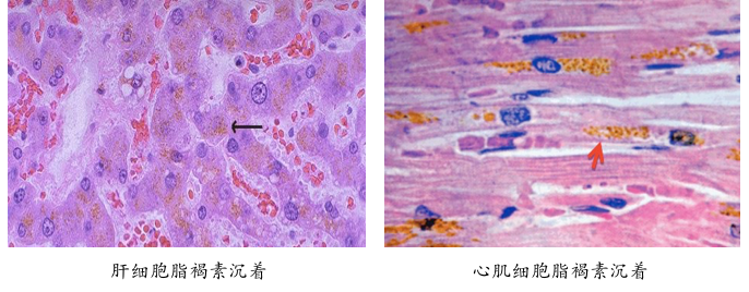
2. 脂褐素沉着
• 细胞自噬溶酶体内末被消化的细胞器碎片残体
• 呈黄褐色微细颗粒状(磷脂和蛋白质的混合物)
• 慢性消耗疾病、老年人的肝、心细胞胞浆中(消耗性色素)

3. 黑色素沉着
• 正常状态下:黑色素是由黑色素细胞产生的深褐色颗粒状色素,见于皮肤、毛发、虹膜及脉络膜
• 增多:色素痣、恶性黑色素瘤(局部性);Addison病(全身性)

4. 胆红素沉着
• 正常情况下:存在胆管中,为红细胞衰老后的产物(来源于血红蛋白,但不含铁)
• 增多:血液中胆红素增高,患者出现皮肤黏膜黄染

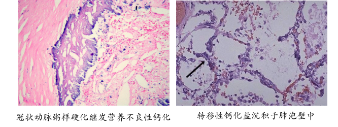
七、病理性钙化
• 定义:骨、牙之外的组织中固态钙盐沉积
• 营养不良性钙化 : 继发于局部坏死或其他异物,钙磷代谢正常
• 转移性钙化: 全身钙磷代谢障碍,血钙和血磷增高引起的某些组织异常钙盐沉积。见于甲状旁腺功能障碍、骨肿瘤等
