第一节 细胞与组织的适应
定义:当环境改变时,机体的细胞、组织或器官通过自身的代谢、功能和结构的相应改变以避免环境改变所引起的损伤,这个过程称为适应(adaptation)。常见的有肥大、增生、萎缩和化生。
是细胞、组织和器官对于内、外环境中的持续性刺激和各种有害因子而产生的非损伤性应答反应;是介于正常和损伤之间的一种状态,目的是使自身在新的环境中得以生存。适应有以下四种形态表现形式。

一、萎缩
定义
发育正常的细胞、组织或器官的体积缩小称为萎缩(atrophy)。萎缩和发育不全(hypoplasia)及未发育(aplasia)不同,后两者是分别指组织或器官未发育至正常大小,或处于根本未发育的状态。

附图如下:
肾压迫性萎缩 肾盂积水扩张,压迫周围肾组织,引起皮质、髓质萎缩变薄。 | 脑压迫性萎缩 脑积水,脑室扩张,脑实质萎缩变薄。 | 去神经性萎缩 脊髓前角运动神经元受损,右侧下肢肌肉、肌腱、脂肪骨骼萎缩,肢体变细变形 |

| 
| 
|
2. 萎缩的病理变化
萎缩的器官体积变小,重量减轻,颜色变深或褐色如心和肝的褐色萎缩(brown atrophy)。光镜下实质细胞体积缩小或数目减少,间质出现纤维组织增生或脂肪组织增生。附图如下:

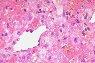
肝细胞萎缩 肝中央静脉的肝小叶中央区,由于缺氧细胞已萎缩或消失。萎缩 细胞胞质内可见棕黄色的脂色素颗粒堆积 | 
心肌纤维萎缩 心肌纤维变细,细胞核缩小深染,萎缩心肌细胞核两端可见褐色脂褐素颗粒沉积 |
3. 萎缩的结局
萎缩是有条件的可逆性过程。只要消除了引起萎缩的原因,萎缩的器官、组织和细胞便可逐渐恢复原状;若原因不能消除,萎缩的细胞通过凋亡,逐渐消失,导致器官体积变小
二、肥大
定义
细胞、组织或器官体积的增大称为肥大(hypertrophy)。本质是细胞体积增大。
分类
肥大可分为生理性肥大与病理性肥大两种。
(1)生理性肥大 妊娠期子宫的肥大,哺乳期乳腺的肥大均属于生理性肥大。在内分泌激素的作用下,不但肥大器官的细胞体积增大,而且细胞数目增加。
(2)病理性肥大 病理性肥大通常是由于器官的功能负荷加重所致。如高血压时,由于长时间外周循环阻力增大,心脏负荷加重,心肌发生肥大。一侧肾脏摘除后,另一侧肾脏发生代偿肥大。
按照肥大的原因也可以分为:代偿性肥大和内分泌性肥大。

附图如下:
正常心肌细胞,正常心脏 | 肥大心肌细胞,高血压心脏 | 相比较: |

| 
|

|
3. 肥大的意义

三、增生
1.定义
由于实质细胞数量增多而形成的组织器官的体积增大称为增生(hyperplasia)。
2. 分类
增生可分为生理性增生与病理性增生两类。
(1)生理性增生:可分为激素性增生和代偿性增生。青春期女性乳腺的发育、妊娠期子宫和乳腺的增生均属生理性增生,也是内分泌性增生。肝脏部分切除后,肝细胞增生以恢复正常肝脏的体积。
(2)病理性增生
1)内分泌性增生:常见于过多的激素刺激引起增生,如雌激素过高引起的子宫内膜增生、乳腺增生,均属病理性增生。 |
2)代偿性增生:缺碘引起的甲状腺增生 |
3)再生性增生:创伤缺损的再生性修复过程中出现的增生。 |
3. 病理变化
大体:组织、器官弥漫性增大或形成增生 性结节 镜下:细胞数量增加
| 
|
四、化生(*重点*)
1. 定义
一种分化成熟的细胞类型被另一种分化成熟的细胞类型所取代的过程。对于该定义,注意一下几点:

2. 分类
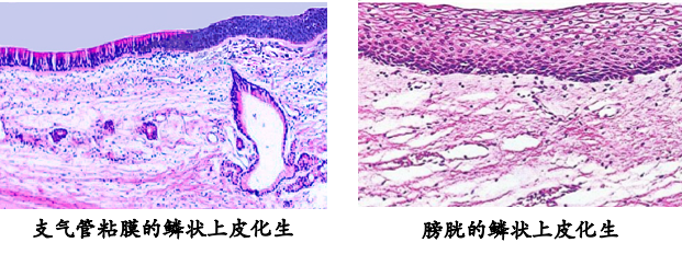
(1) 上皮组织化生
A 鳞状上皮化生 (squamous metaplasia)
定义: 被覆上皮组织的柱状上皮、立方上皮、移行上皮被鳞状上皮所取代的过程。 |
生物学意义: |
附图: 
|
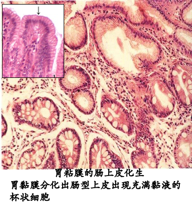
B 柱状上皮化生
定义: 被覆的腺上皮组织被柱状上皮所取代的过程。 |
肠上皮化生: a. 胃黏膜上皮转变为肠上皮组织; b. 食管下段的鳞状上皮转变为胃型或肠型上皮组织; c. 宫颈鳞状上皮转变为宫颈管黏膜柱状上皮; |
附图: 
|

脂褐素(lipofuscin)又称老年素。沉积于神经、心肌、肝脏等组织衰老细胞中的黄褐色不规则小体,内容物为密度不等的物质、脂滴、小泡等,是溶酶体作用后剩下不再能被消化的物质而形成的残余体。脂褐素的积累随年龄增长而增多,是衰老的重要指征之一。见于浅表皮肤者俗称“老年斑”。