一只展翅欲飞的小蝴蝶
上一节
下一节
学术·灵感·艺术︱ (1)一只展翅欲飞的小蝴蝶
生活之美并非建构在空中楼阁、海市蜃楼之上,而是呈现在具体的日常生活之中。工作本是生活的一部分,在显微镜的世界中隐藏着不为人知的风景,病理人以美的视角去享受工作中的乐趣,就渐渐形成了病理艺术。

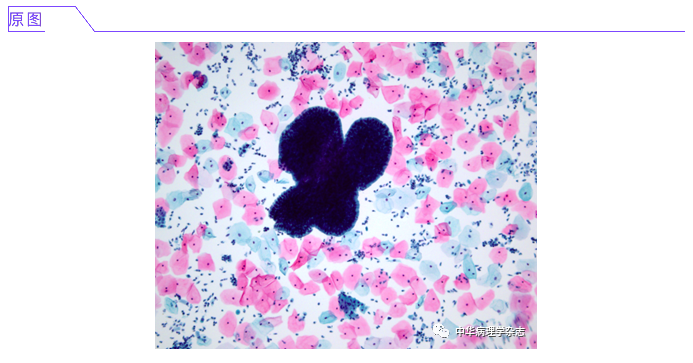
这是一张巴氏染色的沉降式液基薄层宫颈细胞学片(BD)
在鳞状上皮细胞的背景中
见到一团宫颈管腺上皮
周边环绕一层柱状上皮细胞
就像花丛中一只展翅欲飞
翩翩起舞的小蝴蝶


