第九节 癌前疾病(或病变)、异型增生、原位癌

正确认识癌前病变、非典型增生及原位癌是防止肿瘤发生发展、利于肿瘤早期诊断和治疗的重要环节。
一、癌前病变(precancerous lesion)
癌前病变是指某些具有癌变潜在可能性的良性病变,如长期存在即有可能转变为癌。

早期发现与及时治愈癌前病变,对肿瘤的预防具有重要的实际意义。临床上常见的癌前病变或疾病有以下几种:
1. 粘膜白斑(leukoplakia)伴上皮非典型增生; |
2. 子宫颈糜烂(cervical erosion)伴上皮非典型增生; |
3. 乳腺增生性纤维囊性变(proliferative fibrocystic change)伴导管上皮异型增生; |
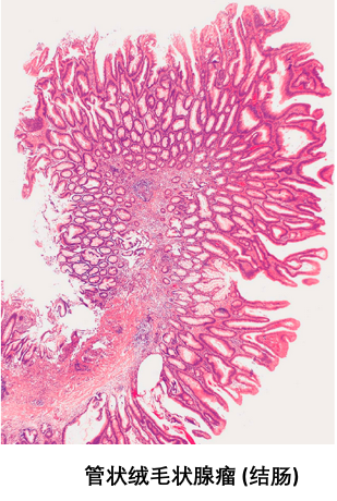
4. 结肠、直肠的息肉状腺瘤; |
5. 慢性萎缩性胃炎及胃溃疡(chronic atrophic gastritis and gastric ulcer)伴肠上皮化生及非典型增生; |
6. 慢性溃疡性结肠炎(chronic ulcerative colitis); |
7. 皮肤慢性溃疡(chronic skin ulcer)伴上皮非典型增生; |
|

(二)异型增生,或非典型性增生 、原位癌
1. 定义
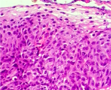
癌前疾病的形态学改变是组织内的细胞出现异型增生。 异型增生(dysplasia)是描述与肿瘤形成相关的非典型增生。异型增生上皮具有细胞和结构异型性,但并非总是进展为癌。异型增生好发于凝妆上皮,也可以发生于腺上皮。

非典型性增生表现为增生的细胞大小不一,核大深染,核浆比例增大,核分裂像增多,但一般不见病理性核分裂;细胞层次增多、排列较乱,极性消失。如下图:

2. 原位癌(carcinoma in situ)
原位癌是指异型增生的细胞在形态和生物学特性上与癌细胞相同,常累及上皮的全层,但没有突破基底膜向下浸润。
例如子宫颈,食管及皮肤的原位癌。鳞状上皮原位癌有时可累及粘膜腺体,尚未侵破腺体基底膜,仍是原位癌,称为原位癌累及腺体。此外,当乳腺小叶腺泡发生癌变而尚未侵破基底膜者,可称为小叶原位癌。

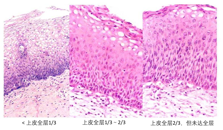
3.分度
鳞状上皮的非典型性增生, 根据其异型性程度和或累及范围可分为轻、中、重度三级。轻、中度非典型性增生(分别累及上皮层下部的1/3和2/3),在病因消除后可恢复正常。而重度非典型性增生(累及上皮层下部超过2/3尚未达全层)则很难逆转,常转变为癌。
| 轻度:<上皮全层1/3 | 中度:上皮全层1/3~2/3 | 重度:>上皮全层2/3,但未达全层 |

上皮内瘤变(intraepithelial neoplasia): 描述上皮的异型增生、原位癌,将轻、中、重度非典型性增生分别称为上皮内瘤变Ⅰ、Ⅱ、Ⅲ级,并将原位癌也列入上皮内瘤变Ⅲ级。目前上皮内瘤变多采用两级分类法。如胃肠道黏膜的低级别上皮内瘤变(轻度异型增生和中度异型增生)、高级别上皮内瘤变(重度异型增生和原位癌)。
