第八节 常见肿瘤举例

一、上皮性肿瘤
上皮组织包括覆盖上皮、腺上皮和导管上皮,由此发生的肿瘤最为常见。人体的恶性肿瘤大部分来源于上皮组织,故癌对人体的危害最大。
(一)良性上皮性肿瘤

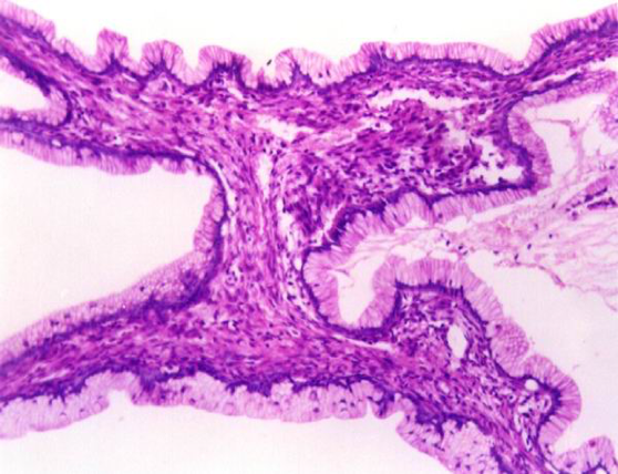
1.乳头状瘤(papilloma)
(1)大体:由复层的覆盖上皮,如鳞状上皮或移行上皮发生的良性肿瘤。肿瘤向表面呈外生性生长,形成许多手指样或乳头状突起,并可呈菜花状或绒毛状外观。肿瘤根部常有细蒂与正常组织相连。

(2)镜下:每一乳头表面覆盖增生的鳞状上皮或者移行上皮,乳头轴心由具有血管的分支状结缔组织间质构成。
鳞状上皮乳头状瘤临床常见于外阴、鼻腔、喉等处。其发生可能与人类乳头状瘤病毒的感染有关。外耳道、阴茎等处的鳞状上皮乳头状瘤较易发生恶变而形成鳞状细胞癌。移行上皮乳头状瘤可见于膀胱、输尿管和肾盂。膀胱的移行上皮乳头状瘤更容易恶变。
2. 腺瘤(adenoma)
由腺体、导管或分泌上皮发生的良性肿瘤,多见于甲状腺、卵巢、乳腺、涎腺和肠等处。粘膜腺的腺瘤多呈息肉状。腺器官内的腺瘤则多呈结节状,且常有包膜,与周围正常组织分界清楚。腺瘤的腺体与其起源的腺体不仅在形态上相似,而且常具有一定的分泌功能,但排列结构不同。 根据腺瘤的组成成分或形态特点,又可将其分为囊腺瘤、纤维腺瘤、多形性腺瘤和管状腺瘤等类型。
(1)囊腺瘤
由于腺瘤中的腺体分泌物淤积,腺腔逐渐扩大并互相融合,肉眼上可见到大小不等的囊腔。囊腺瘤常发生于卵巢,偶见于甲状腺及胰腺。卵巢囊腺瘤主要有两种类型:一种为腺上皮向囊腔内呈乳头状生长,并分泌浆液,故称为浆液性乳头状囊腺瘤(serous papillary cystadenoma);另一种分泌粘液,常为多房性,囊壁光滑,少有乳头状增生,称为粘液性囊腺瘤(mucinous cystadenoma)。其中浆液性乳头状囊腺瘤较易发生恶变,转化为浆液性囊腺癌(serous cystadenocarcinoma)。
(2) 纤维腺瘤(fibroadenoma)
常发生于女性乳腺,是乳腺常见的良性肿瘤。肿瘤有完整包膜,切面分叶状、有裂隙。镜下,见乳腺导管扩张,上皮增生;纤维间质增生明显并有粘液样变,常挤压导管。以前认为纤维腺瘤的腺体和间质共同构成肿瘤的实质,近来证明,增生的间质才是肿瘤的实质。
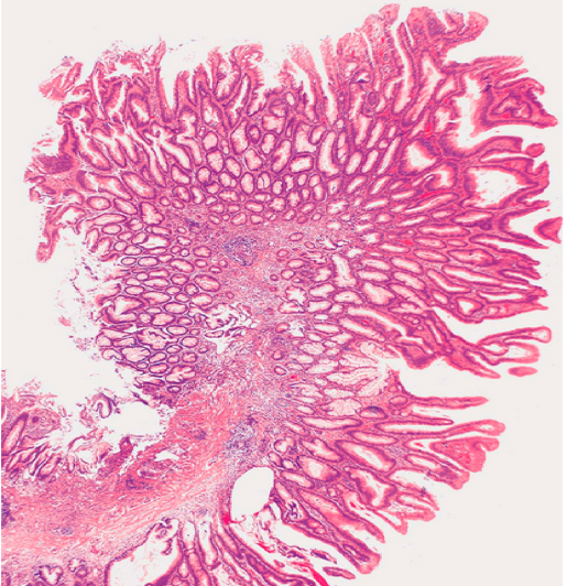
(3)管状腺瘤(绒毛状腺瘤)
呈息肉状,可有蒂,常见于结肠、直肠粘膜管状绒毛状腺瘤:肿瘤性腺上皮形成分化好的小管和绒毛状结构并存,癌变率高。
(二)恶性上皮性肿瘤
癌多见于40岁以上的人群,是人类最常见的一类恶性肿瘤。
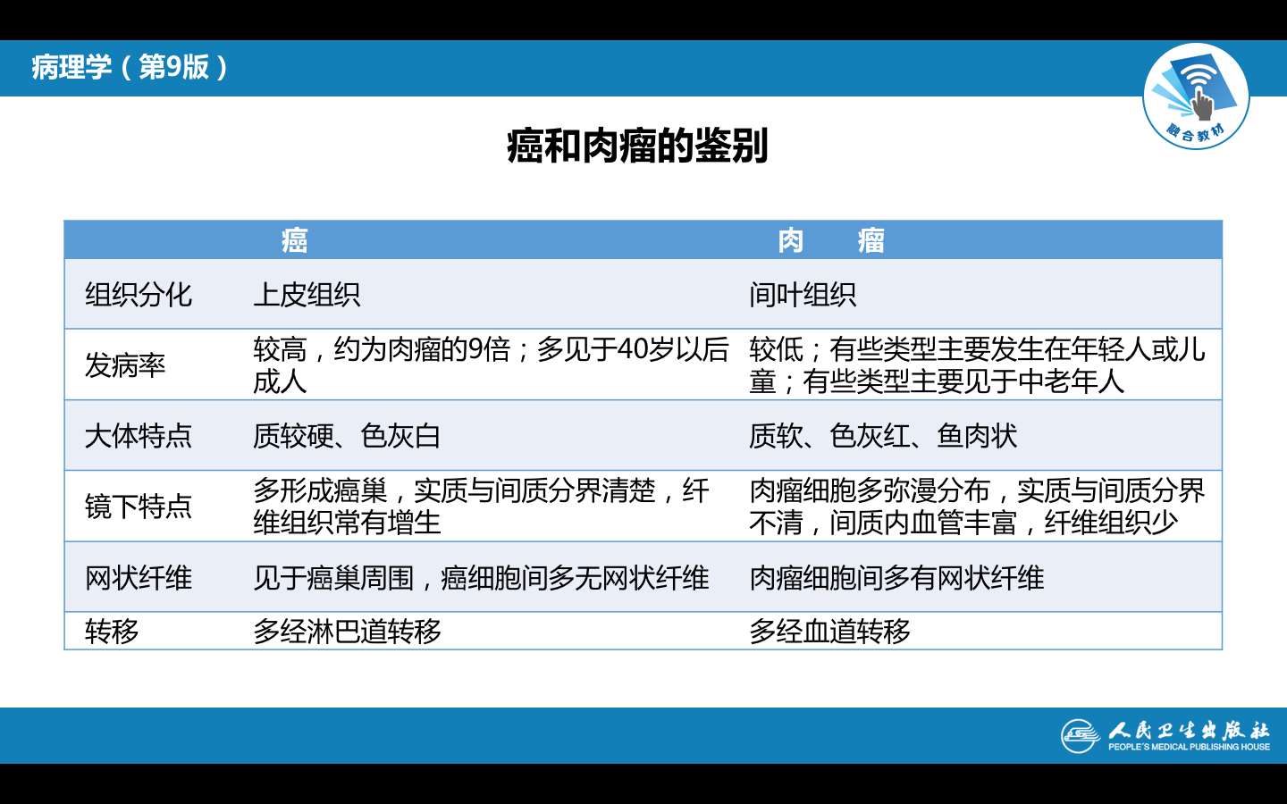
肉眼:癌常以浸润性生长为主,故与周围组织分界不清。发生在皮肤、粘膜表面者外观上常呈息肉状、蕈伞状或菜花状,表面常有坏死及溃疡形成;发生在器官内的常为不规则的结节状并呈树根状或蟹足状向周围组织浸润。切面常为灰白色,质地较硬,较干燥。
镜下:癌细胞可呈腺状、巢状或条索状排列,与间质分界清楚。低分化或未分化癌的癌细胞在间质内呈弥漫浸润性生长,与间质分界不清。
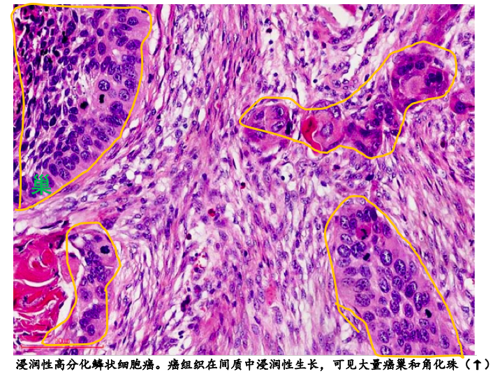
1. 鳞状细胞癌(squamous cell carcinoma)
简称鳞癌,常发生在身体原有鳞状上皮覆盖的部位,如皮肤、口腔、唇、子宫颈、阴道、食管、喉、阴茎等处,也可发生在有鳞状上皮化生的其它非鳞状上皮覆盖部位,如支气管、胆囊、肾盂等处。
(1)肉眼:常呈菜花状,也可因坏死脱落而形成溃疡状,癌组织同时向深层浸润性生长。
支气管鳞癌: 
| 皮肤鳞癌: 
|
(2)镜下,癌细胞呈巢状分布,与间质界限清楚。分化好的鳞癌癌巢,细胞间可见到细胞间桥,在癌巢的中央可出现层状的角化物,称为角化珠(keratin pearl)或癌珠。分化较差的鳞癌无角化珠形成,甚至也无细胞间桥,细胞异型性明显并见较多的核分裂像。


2. 基底细胞癌(basal cell carcinoma)
由表皮原始上皮芽或基底细胞发生,多见于老年人面部如眼睑、颊及鼻翼等处。癌巢主要由浓染的基底细胞样癌细胞构成(如下图)。此癌生长缓慢,表面常形成溃疡,并可浸润破坏深层组织。但几乎不发生转移,对放射治疗很敏感,临床上呈低度恶性经过。


3. 移行细胞癌(transitional cell carcinoma)
来自膀胱或肾盂等处的移行上皮,临床上常有无痛性血尿。肿瘤常为多发,呈乳头状或菜花状,可溃破形成溃疡或广泛浸润深层组织。镜下,癌细胞似移行上皮,呈多层排列,有异型性。一般按细胞异型性和浸润情况分I、II、III级。


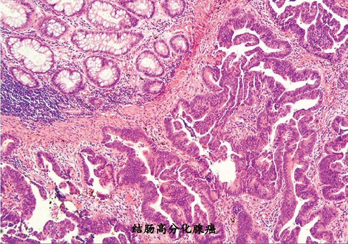
4.腺癌(adenocarcinoma)
是从腺体、导管或分泌上皮发生的恶性肿瘤。根据其形态结构和分化程度,可分为管状或乳头状腺癌、实性癌和粘液癌。
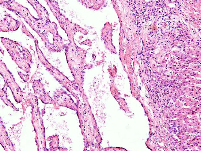
(1) 管状或乳头状腺癌(tubular or papillary adenocarcinoma)
较多见于胃、肠、甲状腺、胆囊、子宫体和卵巢等处。癌细胞形成大小不等、形状不一、排列不规则的腺样结构,即癌巢。细胞常排列成多层,核大小不一,核分裂像多见。当腺癌伴有大量乳头状结构时称为乳头状癌;腺腔高度扩张呈囊状的腺癌称为囊腺癌;伴乳头状生长的囊腺癌称为乳头状囊腺癌。


(2) 实性癌(solid carcinoma)
属低分化的腺癌,恶性程度较高。多发生于乳腺,少数可发生于胃及甲状腺。癌巢为实体性,无腺样结构,癌细胞异型性明显,核分裂像多见。有的癌巢小而少,间质结缔组织多,质地硬,称为硬癌(scirrhous carcinoma);有的则癌巢较大而多,间质结缔组织相对较少,并可伴有较丰富的淋巴细胞浸润,质软如脑髓,称为髓样癌(medullary carcinoma)。

(3) 粘液癌(mucoid carcinoma)
常见于胃和大肠。肉眼观,癌组织呈灰白色半透明如胶冻样,又称为胶样癌(colloid carcinoma)。镜下一种为粘液可堆积在腺腔内,并可由于腺体的崩解而形成粘液湖,当癌组织中粘液成分超过50%,则称其为粘液腺癌;另一种为粘液聚积在癌细胞内,将核挤向一侧,使该细胞呈印戒状,以这种细胞为主要成分则称为印戒细胞癌(signet-ring cell carcinoma)。印戒细胞癌早期则可有广泛的浸润和转移,预后不佳。

二、间叶组织肿瘤
(一)良性间叶组织肿瘤
良性间叶组织肿瘤分化程度高,其组织结构、细胞形态、质地和颜色等均与其来源的正常组织相似。肿瘤多呈膨胀性生长,生长缓慢有包膜。其中常见类型有:
1. 纤维瘤(fibroma)
(1)大体 外观呈结节状,有包膜,切面灰白色,可见编织状的条纹,质地韧硬,常见于四肢及躯干的皮下。 
|
(2)镜下 瘤细胞由分化良好的纤维细胞构成,呈编织状排列,瘤细胞间有丰富的胶原纤维。此瘤生长缓慢,手术切除后不再复发。 
|
2.脂肪瘤(lipoma)
(1)大体 外观为扁圆形或分叶状,有包膜、质地柔软,切面色淡黄,有油腻感。肿瘤大小不一,常为单发性,亦可为多发性(脂肪瘤病,lipomatosis)。常见于背、肩、颈及四肢近端的皮下组织。 
|
(2)镜下 与正常脂肪组织的主要区别在于有包膜和纤维间隔。脂肪瘤一般无症状,极少恶变,手术易切除。 
|
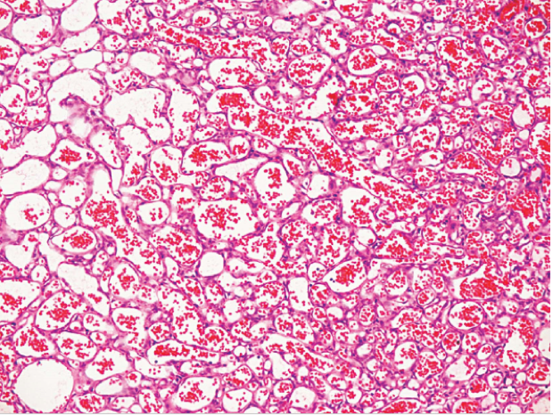
3.血管瘤(hemangioma)
多为先天性,常见于儿童的头面部皮肤。内脏血管瘤以肝脏最多见。病理学将血管瘤分为毛细血管瘤(由增生的毛细血管构成)、海绵状血管瘤(由扩张的血窦构成)及混合型血管瘤(即两种改变并存)三种。上无包膜,呈浸润性生长,在皮肤或粘膜可呈突起的鲜红斑块,或呈暗红、紫红色斑,内脏血管瘤多呈结节状。血管瘤一般随身体发育而长大,成年后即停止发展,较小者可自然消退。
毛细血管瘤 
| 海绵状血管瘤 
|
|
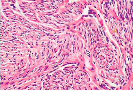
4.平滑肌瘤(leimyoma)
最多见于子宫,其次为胃肠道。瘤组织由形态比较一致的梭形平滑肌细胞构成。瘤细胞互相编织呈束状或呈栅状排列,核呈长杆状,两端纯圆,核分裂像少见。


(1)大体 单发或多发,边界清楚,无包膜,切面灰白,质韧,编织状 |

(2)镜下 瘤细胞似正常平滑肌细胞,束状、旋涡状排列,无异型性。
|
5.骨瘤(osteoma)
好发于头面骨和颌骨,也可累及四肢骨,表现为局部隆起。镜下见肿瘤由成熟骨质组成,但失去正常骨质的结构和排列方向。
6.软骨瘤(chondroma)
自骨膜发生并向外突起者,称外生性软骨瘤。发生于手足短骨和四肢长骨等骨干的骨髓腔内者,称为内生性软骨瘤。肉眼切面呈淡蓝色或银白色,半透明,可有钙化或囊性变。镜下见瘤组织由成熟透明软骨组成,呈不规则分叶状。位于盆骨、胸骨、肋骨、四肢长骨或椎骨的软骨瘤易恶变;发生在指(趾)骨的软骨瘤极少恶变。

(二)恶性间叶组织肿瘤
(1)肉瘤比癌少见,多发于青少年。
(2)肉眼呈结节状或分叶状。由于其生长较快,除浸润性生长外,也可挤压周围组织形成假包膜。
(3)肉瘤大体特点:体积常较大,质软,切面多呈灰红色或灰白色,质地细腻,湿润,呈鱼肉状,故称肉瘤。肉瘤易发生出血、坏死、囊性变等继发改变。
(4)肉瘤镜下特点:肉瘤细胞大多弥漫分布,不形成细胞巢,与间质分界不清,肉瘤细胞间有纤细的网状纤维。肿瘤间质结缔组织少,但血管丰富,故肉瘤先易发生血道转移。

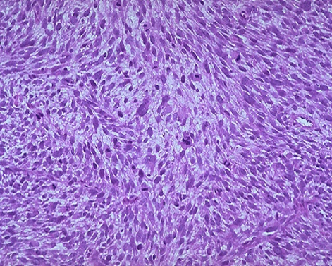
1. 纤维肉瘤(fibrosarcoma)
(1)定义 来自纤维结缔组织的肉瘤,其发生部位与纤维瘤相似,以四肢皮下组织为多见。 |
(2)特点 |

2. 脂肪肉瘤(liposarcoma)
(1)定义 是肉瘤中较常见的一种。多见于40岁以上的成年人,常发生在大腿及腹膜后等深部软组织。
(2)病理变化: |
1)肉眼观 | 大多数肿瘤呈结节状或分叶状,表面常有一层假包膜,黄红色有油腻感,有时可呈鱼肉状或粘液样外观。 |
2)镜下观 | 肿瘤细胞大小形态各异,可见分化差的星形、梭形、小圆形或呈明显异型性和多样性的脂肪母细胞,胞浆内含有大小不等脂肪空泡,也可见成熟的脂肪细胞。 |
3)特殊分类: 以分化成熟的脂肪细胞为主时,称为高分化脂肪肉瘤; 间质有明显粘液变性和大量血管网形成者,称为粘液样型脂肪肉瘤; 当以分化差的小圆形脂肪母细胞为主时,称为圆型细胞型脂肪肉瘤;恶性程度高,易有复发和转移。 以多形性脂肪母细胞为主时,称为多形性脂肪肉瘤。-恶性程度高,易有复发和转移。
|

3. 横纹肌肉瘤(rhabdomyosarcoma)
是儿童中除白血病以外最常见的恶性肿瘤。主要见于10岁以下婴幼儿和儿童,少见于青少年和成年人。儿童好发于鼻腔、眼眶、泌尿生殖道等腔道器官,成年人见于头颈部及腹膜后,偶可见于四肢。肿瘤由不同分化阶段的横纹肌母细胞组成。免疫组化显示结蛋白(desmin)和肌红蛋白(myoglobin)阳性。分化较高者胞浆内可见纵纹和横纹。根据瘤细胞的分化程度、排列结构和大体特点可分为三种类型:①胚胎性,瘤细胞较小,分化很低;②腺泡状,瘤细胞排列呈腺泡状;③多形性横纹肌肉瘤,瘤细胞形态多种多样。横纹肌肉瘤恶性程度均很高,生长迅速,易早期发生血道转移,如不及时治疗,预后极差,约90%以上五年内死亡。

4.平滑肌肉瘤(leiomyosarcoma)
|
肉瘤细胞多呈梭形,呈轻重不等的异型性。核分裂像的多少对判定其恶性程度有重要意义。超过10个核分裂像/50个高倍视野者通常表明恶性,其他特点还有肿瘤大小(超过5cm)、坏死、浸润邻近组织和器官、高核浆比。恶性程度高者手术后易复发,可经血道转移至肺、肝及其他器官。 |

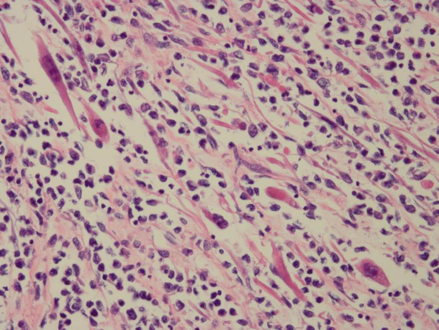
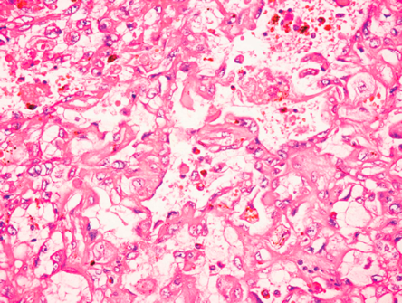
5.血管肉瘤(hemangiosarcoma)
血管肉瘤起源于血管内皮细胞,有时又称恶性血管内皮瘤,可发生在各器官和软组织。发生于软组织者多见于皮肤,尤以头面部为多见。
血管肉瘤一般恶性程度较高,常在局部淋巴结、肝、肺和骨等处形成转。
(1)大体观
肿瘤多隆起于皮肤,呈结节状或丘疹状,暗红或灰白色。肿瘤极易坏死出血。
(2)镜下观
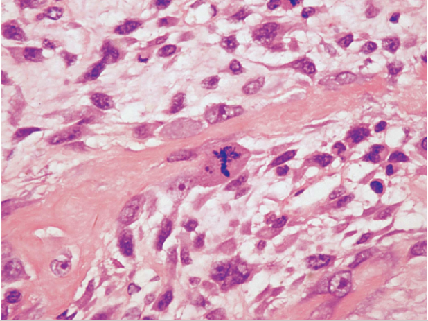
分化好者瘤组织形成大小不一,形状不规则管腔,肿瘤性血管内皮细胞有不同程度异型性,可见核分裂像;分化差者瘤细胞常呈团片状增生,血管腔可不明显,瘤细胞异型性明显,核分裂像多见。免疫组化显示第八因子和CD34阳性。


血管肉瘤:瘤细胞异性型非常显著,可以看见血管腔。
6.骨巨细胞瘤(bone giant-cell tumor)
是一种由较肥硕的梭形或椭圆形单核基质细胞和大量破骨细胞样多核巨细胞构成的侵袭性肿瘤,又称破骨细胞瘤(osteclastoma)。骨巨细胞瘤发病率较高,在我国仅次于骨软骨瘤和骨肉瘤而居骨肿瘤的第三位。绝大多数骨巨细胞瘤患者在20-40岁之间,15岁以下罕见,10岁以下极罕见。骨巨细胞瘤最常发生在长骨的骨端,常见于股骨下端、胫骨上端与橈骨下端,呈溶骨性。
肉眼观,瘤组织呈灰红色,质软而脆,常伴有出血、坏死、囊性变而呈多彩性,瘤体周围常有菲薄的骨壳。X线表现为肥皂泡样阴影。根据X线特点可将巨细胞瘤分为三类(Ⅰ级:安静型;Ⅱ级:活跃型;Ⅲ级:侵袭型)。安静型一般预后要好些。骨巨细胞瘤病灶内切除(刮除)后,约20-50%复发,5-10%发生恶性变,转变为纤维肉瘤和骨肉瘤。
7.骨肉瘤(osteosarcoma)
特点:起源于骨母细胞,是最常见的骨恶性肿瘤。常见于青少年。好发于四肢长骨,尤其是股骨下端和胫骨上端。
(1)肉眼观:肿瘤位于长骨干骺端,呈梭形膨大,切面灰白色鱼肉状,常见出血坏死,侵犯破坏骨皮质,并可侵犯周围组织。肿瘤表面的骨外膜常被瘤组织掀起,上下两端可见骨皮质和掀起的骨外膜之间形成三角形隆起,在X线上称为Codman三角。此外,在被掀起的骨外膜和骨皮质之间可形成与骨表面垂直的放射状反应性新生骨小梁,在X线上表现为日光放射状阴影,这种现象与Codman三角对骨肉瘤的诊断具有特异性。
(2)镜下观:见瘤细胞由明显异型性的梭形或多边形肉瘤细胞组成,瘤细胞可直接形成肿瘤性骨样组织或骨组织是病理诊断骨肉瘤的最重要组织学依据。骨肉瘤内还可见软骨肉瘤和纤维肉瘤样成分。骨肉瘤呈高度恶性,生长迅速,常在发现时已经有血行转移至肺。


三、神经外胚叶源性肿瘤及多种组织构成的肿瘤
一、神经外胚叶源性肿瘤
包括中枢神经系统肿瘤、周围神经系统肿瘤、能分泌多肽激素及胺的APUD系统来源的肿瘤,视网膜母细胞瘤、色素痣和黑色素瘤等。
1.视网膜母细胞瘤(retinoblastoma)

是来源于视网膜胚基的恶性肿瘤。绝大多数发生在3岁以内的婴幼儿,6岁以上罕见。7%在出生时即已存在。大约40%的病人具有家族性,是一种常染色体的显性遗传性疾病。另60%的病人是散发的。多为单侧,双侧者占26~30%。肉眼观肿瘤为灰白色或黄*色的结节状物,切面有明显的出血及坏死,并可见钙化。肿瘤最初在视网膜上生长,以后向周围浸润性生长。镜下见肿瘤由小圆形细胞构成,核圆形、深染,核分裂像多见,有的瘤细胞围绕一空腔作放射状排列,形成菊形团。转移一般不常见,如发生转移时多经血道转移至骨、肝、肺、肾等处。淋巴道转移只在眼眶软组织被累及时才发生,多转移到耳前及颈淋巴结。预后不良,多在发病后一年半左右死亡。偶见自发性消退。
2.色素痣与黑色素瘤
(1)皮肤色素痣(pigmented nevus)
来源于表皮基底层的黑色素细胞(痣细胞),为良性错构性增生性病变,但有的可恶变成为黑色素瘤。根据其在皮肤组织内发生的部位不同,可分为交界痣(即痣细胞在表皮和真皮的交界处生长,形成痣细胞巢,此型较易恶变),皮内痣(是最常见的一种,痣细胞在真皮内呈巢状或条索状排列)和混合痣(即交界痣和皮内痣兼而有之)三种。如色素痣的色素加深,体积增大,生长加快或破溃,发炎或出血等可能是恶变的象征。

(2)黑色素瘤(melanoma)
又称恶性黑色素瘤,是一种能产生黑色素的高度恶性肿瘤。大多见于30岁以上成年人,发生于皮肤者以足底、外阴及肛门周围多见。可以一开始即为恶性,但通常由交界痣恶变而来。此瘤也可发生于粘膜和内脏器官。肉眼观肿瘤突出或稍突出于皮肤表面,多呈黑色,与周围组织界限不清。镜下黑色素瘤的组织结构呈多样性,瘤细胞可呈巢状、条索状或腺泡样排列。瘤细胞可呈多边形或梭形,核大,常有粗大的嗜酸性核仁。胞浆内可有黑色素颗粒。无黑色素的黑色素瘤,免疫组织化学染色黑色素瘤(melanoma)和S-100蛋白阳性有助于诊断。电镜下,瘤细胞胞浆内含有少数典型的黑色素小体 (melanosome)或前黑色素小体(premelanosome)。黑色素瘤的预后多数较差,晚期可有淋巴道及血道转移。因此,早期诊断和及时治疗十分重要。黑色素瘤患者有的采用瘤苗治疗效果较好。

二、多种组织构成的肿瘤
由两种或两种以上不同类型的组织构成的肿瘤,称为混合瘤。最复杂的混合瘤是畸胎瘤,由来源于多个胚层的各种类型组织混杂在一起构成,有如一个畸形的胎儿。此外,肾母细胞瘤和癌肉瘤因成分多样也属于混合瘤。
1. 畸胎瘤(teratoma)

畸胎瘤是来源于性腺或胚胎剩件中的全能细胞,多含有两个以上胚层的多种多样组织成分,排列结构错乱。
根据外观又可分为囊性和实性两种;根据其组织分化成熟程度不同,又分为皮样囊肿(dermoid cyst)、(也称成熟畸胎瘤或良性畸胎瘤)和不成熟畸胎瘤(恶性畸胎瘤)。畸胎瘤常发生于卵巢和睾丸,偶尔可见于纵隔、骶尾部、腹膜、松果体等部位。实性者多为恶性。
2. 癌肉瘤(carcinosarcoma)
同一肿瘤中既有癌又有肉瘤成分者称为癌肉瘤。


四、淋巴造血系统肿瘤










