-
1 理论知识
-
2 微课视频
-
3 PPT
-
4 思维导图
第二节 胃炎

胃炎(gastritis) 指胃粘膜的炎性病变。依病程分急性和慢性。依部位分局限性和弥漫性。随着胃镜技术的广泛采用,使我们对胃炎的认识和诊断水平不断提高。
一、急性胃炎(acute gastritis)
(一)病因及发病机制
病因诸多,大多较明确。可为胃粘膜原发病变如药物(如阿斯匹林等)、乙醇、重度吸烟、腐蚀性液体等所致;也可为伴发性病变如肿瘤化疗、尿毒症、全身感染、中毒、应激(如烧伤、创伤及手术等)等。不论原发或伴发,均导致粘膜上皮变性、坏死和粘液分泌成少,胃粘膜屏障破坏。
(二)病理变化和类型
取决于损伤程度和持续时间。包括胃粘膜充血、水肿、嗜中性粒细胞浸润,不同程度的出血、糜烂,严重者广泛坏死乃至穿孔。依其主要特征分为①急性刺激性胃炎(acute irritated gastritis);②急性出血性胃炎(acute hemorrhagic gastritis);③急性腐蚀性胃炎(acute corrosive gastritis);④急性感染性胃炎(acute infective gastritis)等。
二、慢性胃炎(chronic gastritis)
(一)病因及发病机制
尚未完全阐明。外源性如物理性、化学性、生物性的损伤刺激长期反复作用,内源性如遗传性(遗传易感性)、免疫性、心理性作用等均可引起慢性胃炎。近年来比较关注的几个致病因素包括:
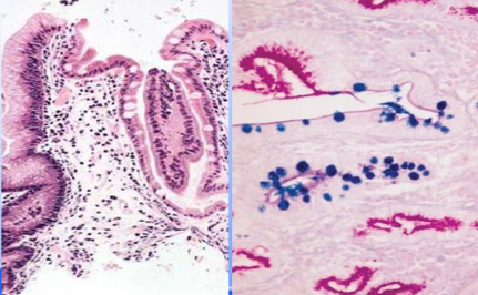
①幽门螺杆菌(helicobacter pylori,HP)感染:HP是革兰氏染色阴性、生存于胃粘膜上皮和胃腺体粘液屏障之间,通过分泌的酶(尿素酶、蛋白溶解酶、磷脂酶A等)、代谢产物及毒素(氨、细胞空泡毒素等)和炎症介质(白细胞三烯、趋化因子等)而导致胃粘膜上皮细胞和血管内皮细胞损伤引起慢性胃炎,且与消化性溃疡、胃恶性肿瘤如腺癌、淋巴瘤的发生有关。

②自身免疫损伤:常累及胃体,血清中可检测到抗壁细胞、抗内因子抗体,不同程度胃酸缺乏,恶性贫血等
③十二指肠液返流:碱性肠液和胆汁返流引起胃粘膜损伤,多因胃肠动力学异常或胃手术后正常生理通道的改变所致。
④急性胃炎未愈,长期不良饮食或生活习惯如喜食辛辣刺激食物、过度饮酒、吸烟等。
(二)分型
萎缩性胃炎分为A、B三型。A型:我国少见,又称自身免疫性胃炎,常伴恶性贫血,多见于胃体。B型:我国多见,好发于胃窦,与HP感染关系密切。

(三)病理类型和病变
慢性胃炎分类方法繁多,至今难以统一,按病变特征常分为下列各型。
1.慢性浅表性胃炎(chronic superficial gastritis) 最常见。多见于胃窦部,灶性或弥漫性。胃镜见粘膜充血、水肿,可见散在糜烂和小灶性出血。镜下以胃小凹之间的固有膜内淋巴细胞、浆细胞浸润为特征,伴固有膜水肿、充血,偶见出血。腺体无破坏或减少。急性期见嗜中性粒细胞浸润。按炎细胞浸润深度分三级:轻度只累及粘膜的上1/3,中度为1/3~2/3,超过2/3为重度。

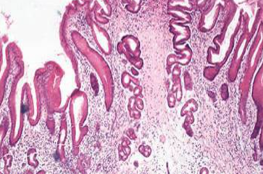
2.慢性萎缩性胃炎(chronic atrophic gastritis) 呈逐年增多趋势,与胃粘膜活检增多相关。胃窦部最常见。
(1)胃镜下见:①粘膜变薄,皱壁变平或消失,表面细颗粒状;②正常桔红色消失、变浅,呈灰白或灰黄;③粘膜下血管清晰可见,伴渗出、糜烂。
(2)镜下呈:
① 粘膜全层淋巴细胞、浆细胞浸润,可伴淋巴滤泡形成;

② 胃小凹变浅,粘膜固有层腺体萎缩、稀疏,腺体变小并见散在腺体小囊状扩张;
③ 肠上皮化生(肠化)和假幽门腺化生。胃粘膜上皮被肠粘膜上皮取代称肠化,可再分为小肠性化生(完全性化生)和结肠性化生(不完全性化生)。小肠性化生见吸收细胞及纹状缘、杯状细胞和Paneth细胞,分泌唾液酸粘液,组织化学示奥辛蓝(Alcian blue)染色阳性。结肠性化生无Paneth细胞和纹状缘,分泌硫酸粘液,高铁二胺染色阳性。通常认为结肠性化生与胃癌关系密切。假幽门腺化生指胃底和胃体部的壁细胞和主细胞消失,由分泌粘液的细胞取代后似幽门腺而称之;

④急性活动期可见多量嗜中性粒细胞浸润和糜烂。
(3)慢性萎缩性胃炎分级
依据腺体萎缩的程度将萎缩性胃炎分三级:轻度指胃粘膜厚度无明显变薄,仅个别或灶性腺体萎缩、减少,不超过原有腺体数量的1/3,重度指胃粘膜厚度明显变薄,腺体萎缩、减少的数量超过2/3,介于二者之间的为中度。

3.肥厚性胃炎(hypertrophic gastritis) 又称Menetrier病。以胃粘膜皱襞显著肥厚如脑回状为特征,好发于胃底和胃体,局灶性或弥漫性。常伴原因未明的低蛋白血症。镜下见胃小凹高度增生、下延甚可达粘膜肌层。
4.其它慢性胃炎 如疣状胃炎(gastritis verrucosa)以粘膜表面呈现痘疹样隆起为特征;嗜酸性胃炎(eosinophilic gastritis)以大量嗜酸性白细胞浸润为特征;肉芽肿性胃炎(granulomatous gastritis)以上皮样肉芽肿形成为特征。










