第一节 肿瘤的基本概念

1. 肿瘤的概念
肿瘤是机体在各种致瘤因素作用下,局部组织的细胞基因调控失常,导致克隆性异常增生而形成的新生物。这种新生物常形成局部肿块。根据肿瘤生物学特性及其对机体的危害不同,一般将肿瘤分为良性和恶性两大类。
2. 肿瘤性增殖和非肿瘤性增殖
(1) 肿瘤性增生
正常细胞转变为肿瘤细胞后,其增生一般是单克隆性的。
瘤细胞具有异常的形态、代谢和功能,不同程度丧失分化成熟能力,持续性生长并有相对自主性,即使致瘤因素已不存在时,仍能持续生长。
肿瘤性增生不仅与整个机体不协调,而且有害无益。
(2)非肿瘤性增生
见于正常新陈代谢的细胞更新、损伤的防御反应、修复。是机体生存所需。
增生的细胞、组织能分化成熟,并在一定程度上能恢复原来正常组织的结构和功能。 增生有一定限度,增生的原因一旦消除后就不再继续增生。而肿瘤性增生与此不同,二者有着本质上的区别。
总结如下:
第二节 肿瘤的形态与结构

一、肿瘤的肉眼观形态 (大体形态)
1. 肿瘤的数目和大小
肿瘤通常为一个(单发),有时为多个(多发)(如下图)。大小不一,小者极小甚至在显微镜下才能发现,如原位癌;大者直径可达数十厘米,可重达数千克乃至数十千克。据说,1968年河北一家医院为一老年女性病人切除了重达90斤的肿瘤。一般说,肿瘤的大小与肿瘤的良、恶性,生长时间和发生部位有一定关系。生长于体表或大的体腔(如腹腔)内的肿瘤有时可长得很大;生长于狭小腔道(如颅腔、椎管)内的肿瘤则一般较小。大的肿瘤通常生长缓慢,生长时间较长,且多为良性。恶性肿瘤一般生长迅速,短期内即可转移和致死,故一般长得不大。
2.肿瘤形状
肿瘤的形状多种多样,有息肉状、乳头状、绒毛状、结节状、分叶状、囊状、菜花状、蕈状、浸润性包块状、弥漫性肥厚状和溃疡状等(如下图)。 肿瘤形状上的差异一般与其发生部位、组织来源、生长方式和肿瘤的良恶性密切相关。


3.肿瘤的颜色
良性肿瘤的颜色一般接近其来源的正常组织,如血管瘤多呈红色或暗红色,脂肪瘤呈黄色。恶性肿瘤的切面多呈灰白或灰红色,但可因其含血量的多少,有无变性、坏死、出血,以及是否含有色素等而呈现各种不同的色彩。有时可从肿瘤的色泽大致推测其为何种肿瘤,如血管瘤多呈红色或暗红色,脂肪瘤呈黄色,黑色素瘤多呈黑色,绿色瘤呈绿色等。
4.肿瘤的硬度
肿瘤的硬度一般较周围正常组织硬,而且与肿瘤的种类、瘤细胞与间质的比例以及有无变性坏死等有关。如骨瘤很硬,脂肪瘤质软。瘤细胞多而间质少的肿瘤一般较软,瘤细胞少而间质多者则较硬;瘤组织发生坏死时变软,有钙盐沉着(钙化)或骨质形成(骨化)时则变硬。
二、肿瘤的组织结构
肿瘤的组织结构多种多样,但除绒毛膜癌和白血病以外(无间质),任何一个肿瘤组织的成分都可分为实质和间质两部分。
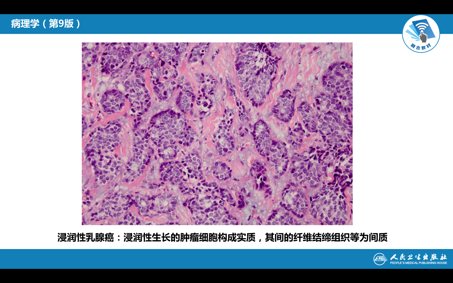
1. 肿瘤的实质(parenchyma)
是肿瘤细胞的总称,是肿瘤的主要成分。肿瘤的生物学性质以及每种肿瘤的特殊性主要是由肿瘤的实质决定的。不同的肿瘤具有不同的实质。肿瘤的实质通常只有一种成分,但少数肿瘤可以含有两种甚至多种实质成分。
2.肿瘤的间质(mesenchyma,stroma)
一般由结缔组织和血管组成,可有淋巴管。间质成分不具特异性,对肿瘤实质起支持和营养作用。通常生长缓慢的肿瘤,其间质血管较少;而生长迅速的肿瘤,其间质血管较丰富。



三、肿瘤的分化与异性型(重点)
(一)分化和异型性的概念
1. 定义
肿瘤组织无论在细胞形态和组织结构上,都与其来源的正常组织有不同程度的差异,这种差异称为异型性(atypia)。肿瘤异型性的大小反映了肿瘤组织的成熟程度(分化程度)。分化(differentiation)在胚胎学中指幼稚或原始细胞发育成为成熟细胞的过程,在肿瘤学中则是指肿瘤细胞和组织与其来源的细胞和组织的相似程度。
2.异型性与分化程度关系
异型性小者,说明肿瘤与其来源的正常细胞和组织相似,肿瘤组织(细胞)分化程度高;异型性大者,表示肿瘤组织(细胞)分化程度低。
3. 意义
识别异型性大小是区别肿瘤性增生和非肿瘤性增生、诊断良恶性肿瘤以及判断恶性肿瘤的恶性程度高低的主要组织学依据。恶性肿瘤常具有明显的异型性。

(二)肿瘤异型性
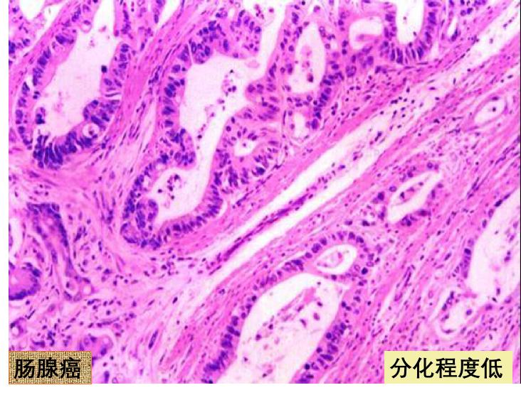
1. 肿瘤组织的结构异型性
肿瘤的组织结构异型性是指肿瘤组织在空间排列方式上(包括细胞的极向、排列的结构及其与间质的关系等方面)与其来源的正常组织的差异。由于良性肿瘤的细胞异型性不明显,一般与其来源的正常细胞相似,因此诊断良性肿瘤的主要依据是其组织结构的异型性。例如纤维瘤的瘤细胞和正常纤维细胞很相似,只是其排列与正常纤维组织不同,呈编织状而且致密。恶性肿瘤组织结构异型性明显,瘤细胞排列更为紊乱,失去正常的排列结构、层次或极向。例如从纤维组织发生的恶性肿瘤—纤维肉瘤,瘤细胞很多,且大小不等,胶原纤维很少,排列更紊乱,与正常纤维组织的结构相差较远;从腺上皮发生的恶性肿瘤—腺癌,其腺体的大小和形状十分不规则,排列也较乱,腺上皮细胞排列失去极向,紧密重叠或呈多层,并可有乳头状增生。

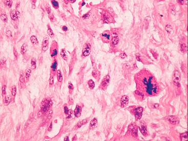
2. 肿瘤细胞的异型性
良性肿瘤细胞的异型性小,一般与其来源的正常细胞相似。恶性肿瘤细胞具有高度的异型性,表现为:
①细胞体积异常
②细胞大小和形态不一致(多形性,pleomorphism)
③细胞核体积增大,核质比增高
④核大小、形状和染色差别较大,核深染(hyperchromasia),染色质呈粗颗粒状
⑤核仁明显,体积大,数目增多
⑥核分裂象(mitotic figure)增多,出现异常核分裂象(病理性核分裂象)

有的恶性肿瘤主要由未分化细胞构成,称为间变性肿瘤(anaplastic tumor)。间变指的是恶性肿瘤细胞缺乏分化的状态,异型性显著。间变的肿瘤细胞具有明显的多形性(pleomorphism),即瘤细胞彼此大小和形状上有很大变异。