第二节 血栓的形成

在活体的心血管内,血液发生凝固或血液中某些有形成分析出、凝集形成固体质块的过程,称为血栓形成(thrombosis)。所形成的固体质块称为血栓(thrombus)。与血凝块不同的是,血栓是在血液流动的状态下形成的。
一、血栓形成的条件和机理
血栓形成是血液在流动状态中由于血小板的活化和凝血因子被激活而发生的异常凝固。血栓形成的条件目前公认是由Virchow提出的三个条件:

(一)血管内皮细胞损伤
心血管内皮的损伤,是血栓形成的最重要和最常见的原因。 内皮细胞的损伤,暴露了内皮下的胶原纤维,激活血小板和凝血因子Ⅻ,启动了内源性凝血系统。损伤的内皮细胞释放组织因子,激活凝血因子Ⅶ,启动外源性凝血系统。在触发凝血过程中重要作用的是血小板的活化。血小板在vWF的介导下粘附于内皮损伤处的胶原纤维;粘附后不久,血小板释放出ADP、血栓素A2(thromboxane,TXA2)、5-HT等,促进血小板粘集;血小板还可与纤维蛋白和纤维连接蛋白粘附,促使血小板彼此粘集成堆,称为血小板粘集堆。心血管内皮细胞的损伤引起血栓形成,多见于风湿性和细菌性心内膜炎病变的瓣膜上、心肌梗死区的心内膜以及严重动脉粥样硬化斑块溃疡、创伤性或炎症性的血管损伤部位。
(二)血流状态的改变
血流状态改变主要是血流减慢和血流产生漩涡等改变,有利于血栓形成。 正常血流中由于比重关系,红细胞和白细胞在血流的中轴流动构成轴流,其外是血小板,最外是一层血浆带构成边流。当血流减慢或产生漩涡时血小板可进入边流,增加了血小板与内膜的接触机会和粘附于内膜的可能性。由于血流减慢和产生漩涡时,被激活的凝血因子和凝血酶在局部易达到凝血所需的浓度,因此各种原因引起内皮细胞的损伤使内皮下的胶原被暴露于血流,均可激发内源性和外源性的凝血系统。静脉血栓比动脉发生血栓多4倍,而静脉血栓常发生于心力衰竭、久病卧床或静脉曲张患者的静脉内;静脉内有静脉瓣,其内血流不但缓慢,而且出现漩涡,因而静脉血栓形成常以瓣膜囊为起始点;静脉不似动脉那样随心搏动而舒张,其血流有时甚至可出现短暂的停滞;静脉壁较薄,容易受压;血流通过毛细血管到静脉后,血液的粘性也会有所增加等因素都有利于血栓形成。而心脏和动脉内的血流快,不易形成血栓,但在二尖瓣狭窄时的左心房、动脉瘤内或血管分支处血流缓慢及出现涡流时,则易并发血栓形成。
(三)血液凝固性增加
是指血液中血小板和凝血因子增多,或纤维蛋白溶解系统的活性降低,导致血液的高凝状态。此状态可见于遗传性和获得性疾病。在高凝血遗传性原因中,最常见为第V因子和凝血酶原的基因突变。在严重创伤、大面积烧伤、大手术后或产后导致大失血时血液浓缩,血中纤维蛋白原、凝血酶原及其它凝血因子(Ⅻ、Ⅶ)的含量增多,以及血中补充大量幼稚的血小板,其粘性增加,易于发生粘集形成血栓。
必须强调的是上述血栓形成的条件往往是同时存在的,并常以某一条件为主。如下图:
二、血栓形成的过程及血栓的形态
无论心脏或血管内的血栓,其形成过程都是以血小板粘附于内膜裸露的胶原开始,所以血小板粘集堆的形成是血栓形成的第一步,嗣后血栓形成的过程及血栓的组成、形态、大小都取决于血栓发生的部位和局部血流速度。

血栓类型可分为以下四种:
(一)白色血栓(pale thrombus)
部位:多发生于血流较速的心瓣膜、心腔内、动脉内或静脉性血栓的起始部,即形成延续性血栓的头部。肉眼观呈灰白色小结节,表面粗糙质实,与发生部位紧密粘着。镜下主要由血小板及少量纤维素构成,又称血小板血栓或析出性血栓。

(二)混合血栓(mixed thrombus)
部位:血栓在形成血栓头部后,致其下游引起血流减慢和血流漩涡,从而再形成一个血小板小梁的凝集堆,在血小板小梁之间,血液发生凝固,纤维素形成网状结构,其内充满大量的红细胞,此过程交替进行,致形成肉眼上灰白色与红褐色交替的层状结构,称为层状血栓,即混合血栓。肉眼:呈粗糙干燥的圆柱状,与血管壁粘连,构成延续性血栓的体部。动脉瘤、室壁瘤内的附壁血栓(mural thrombus)及扩张的左心房内的球状血栓亦属此类。镜下:主要由淡红色无结构的不规则珊瑚状的血小板小梁和小梁间由充满红细胞的纤维素网所构成,并见血小板小梁边缘有较多的中性白细胞粘附。
(三)红色血栓(red thrombus)
部位:主要见于静脉,随着混合血栓逐渐增大阻塞血管腔,使血流下游局部血流停止致血液凝固,常构成延续性血栓的尾部。红色血栓形成过程与血管外凝血过程相同。
肉眼:呈暗红色、湿润、有弹性、与血管壁无粘连,与死后血凝块相似。经过一段时间,红色血栓由于水分被吸收,变得干燥、无弹性、质脆易碎,可脱落形成栓塞。

(四)透明血栓(hyaline thrombus)
最常见于弥漫性血管内凝血(DIC),其发生于微循环的小血管内,只能在显微镜下才能见到,主要由嗜酸性同质性的纤维素构成,又称为微血栓(microthrombus)或纤维素性血栓(fibrinous thrombus)。

总结如下:

四、血栓的结局
(一) 溶解、吸收
新近形成的血栓,由于血栓内纤溶酶原的激活和白细胞崩解释放的溶蛋白酶,可使血栓溶解。 血栓溶解过程取决于血栓的大小及血栓的新旧程度。小的新鲜的血栓可被完全溶解吸收。
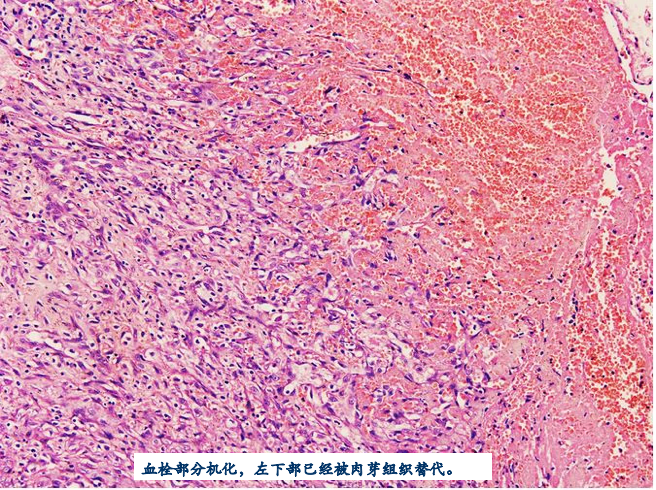
(二) 机化
若纤溶酶系统的活力不足,血栓存在较久时则发生机化。由血管壁向血栓内长入肉芽组织,逐渐取代血栓,这一过程称为血栓机化。在血栓机化过程中,由于水分被吸收,血栓干燥收缩或部分溶解而出现裂隙,被新生的内皮细胞被覆于表面而形成新的血管,并相互吻合沟通,使被阻塞的血管部分地重建血流的过程,称为再通(recanalization)。

(三) 钙化
血栓发生大量的钙盐沉着,称为血栓钙化。 依据受累血管不同又称为静脉石(phlebolith)或动脉石(arteriolith)。
五、血栓对机体的影响
血栓形成对破裂的血管起堵塞裂口和止血的作用。这是对机体有利的一面。如慢性消化性溃疡底部和肺结核性空洞壁的血管,在病变侵蚀前已形成血栓,避免了大出血的可能性。但多数情况下血栓形成对机体则造成不利的影响。
(一) 阻塞血管
血栓可阻塞血管,其后果取决于组织、器官内有无充分的侧支循环。动脉血管未完全阻塞管腔时,可引起局部器官或组织缺血导致实质细胞萎缩;若完全阻塞而又无有效的侧支循环时,可引起局部器官或组织的缺血性坏死(梗死)。如脑动脉血栓引起脑梗死;心冠状动脉血栓引起心肌梗死;血栓性闭塞性脉管炎时引起患肢的坏疽等。静脉血栓形成,若未能建立有效的侧支循环,则引起局部淤血、水肿、出血,甚至坏死。如肠系膜静脉血栓可引起肠的出血性梗死。肢体浅表静脉血栓,由于有丰富的侧支循环,通常只在血管阻塞的远端引起淤血水肿。
(二) 栓塞
血栓的整体或部分脱落成为栓子,随血流运行可引起栓塞。若栓子内含有细菌,可引起栓塞组织的败血性梗死或脓肿形成。
(三) 心瓣膜病
见于心内膜炎,心瓣膜上反复发作的血栓形成及机化,可使瓣膜瓣叶粘连增厚变硬,腱索增粗缩短,引起瓣口狭窄或关闭不全,导致心瓣膜病。
(四) 出血
见于DIC时,微循环内广泛性透明血栓形成,可引起全身广泛性出血和休克。