第一节 充血和淤血
充血(hyperemia)指器官或局部组织血管内血液含量的增多。可分为动脉性充血和静脉性充血两类。

一、动脉性充血
定义:动脉性充血(arterial hyperemia)又称主动性充血(active hyperemia),简称充血。一般指器官或局部组织细动脉血输入量增多。
(一) 病因
血管舒张神经兴奋性增高或血管收缩神经兴奋性降低、舒血管活性物质释放增加等,引起细动脉扩张、血流加快,使动脉血输入微循环的灌注量增多。常见的有:
①生理性充血,如进食后的胃肠道粘膜、运动时的骨骼肌和妊娠时的子宫充血等; |
②炎症性充血,见于局部炎症反应的早期,由于致炎因子的作用引起的轴索反射使血管舒张神经兴奋,以及组织胺、缓激肽等血管活性物质作用,使细动脉扩张充血; |
③减压后充血,如局部器官或组织长期受压,见于绷带包扎的肢体或大量腹水压迫腹腔内器官后,组织内的血管张力降低,若突然解除压力,受压组织内的细动脉发生反射性扩张,导致局部充血。 |
(二)病变及后果
动脉性充血的器官和组织,由于微循环内血液灌注量增多,使体积轻度增大。充血若发生于体表时,由于局部微循环内氧合血红蛋白增多,局部组织颜色鲜红,因代谢增强局部温度增高可有搏动感,镜下见局部细动脉及毛细血管扩张充血。 | 
|
二、静脉性充血
静脉性充血 (venous hyperemia)又称被动性充血(passive hyperemia),简称淤血(congestion)。指器官或局部组织由于静脉回流受阻使血液淤积于小静脉和毛细血管内而发生的淤血。
(一)病因
①静脉受压使管腔发生狭窄或闭塞,如肿瘤压迫局部静脉;妊娠子宫压迫髂总静脉;嵌顿性肠疝、肠套叠和肠扭转时压迫肠系膜静脉。 |
②静脉腔阻塞,如静脉血栓形成,且未能建立有效的侧支循环时。 |
③心力衰竭,如二尖瓣狭窄和高血压病引起的左心衰竭,导致肺淤血;肺源性心脏病时发生的右心衰竭,导致体循环脏器淤血。 |
(二)病理变化
淤血的局部组织和器官肿胀。发生于体表时,由于微循环的灌注量减少,血液内氧合血红蛋白减少,局部皮肤紫绀、温度下降。镜下见局部细静脉及毛细血管扩张淤血,亦可伴有组织的水肿和出血。
(三)后果
静脉性充血比动脉性充血多见,具有重要的临床意义。淤血对机体的影响,取决于淤血的范围、部位、程度、发生速度及侧支循环建立的状况。较长期的淤血使局部组织缺氧、营养物质供应不足和中间代谢产物堆积,损害毛细血管壁使通透性增高以及淤血时细静脉和毛细血管流体静压升高(如下图),引起局部组织出现:①水肿和漏出性出血;②实质细胞萎缩、变性甚至坏死;③间质纤维组织增生甚至形成淤血性硬化。

★ 临床上常见重要器官的淤血有:
1.肺淤血
(1)原因:多由左心衰竭引起 |
(2)机制:左心衰竭→左心腔残留血液增多→左心腔内压力升高 → 肺静脉回流受阻 → 肺淤血 |
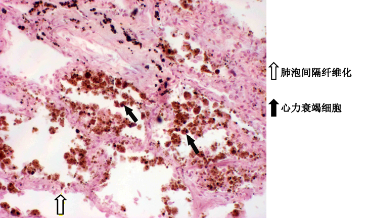
(3)病理变化: 急性肺淤血:肺体积增大、暗红色,切面流出泡沫状血性液体。 镜下:肺泡壁增厚、毛细血管高度扩张充血,部分的肺泡腔内可见水肿液及多少不等的红细胞、巨噬细胞。有些巨噬细胞吞噬了红细胞并将其分解,胞浆内形成含铁血黄素,称为“心力衰竭细胞”。 慢性肺淤血:随着肺淤血时间的延长,大部分肺泡腔内出现多量漏出液,造成肺水肿。长期慢性的肺淤血,可使肺泡壁增厚和纤维化,肺质地变硬,肉眼呈棕褐色,称为肺褐色硬化。
|
(4)临床病理联系:患者有明显的气促、缺氧、发绀、咳粉红色泡沫痰等症状。 |
(5)结局:肺褐色硬化。 |
2.肝淤血
(1)原因:常由右心衰竭引起。 |
(2)机制:右心衰竭→右心腔内压力升高 → (上下腔V回流受阻)肝静脉回流受阻 → 肝淤血 |
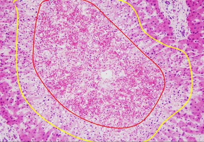
(3)病理变化: (1)急性肝淤血:肝脏体积增大,重量增加,包膜紧张,呈暗红色,质地较硬。 (2)慢性肝淤血:槟榔肝-切面呈红、黄相间的条纹,状似槟榔。 镜下:慢性肝淤血时,镜下见肝小叶中央静脉及其附近肝窦高度扩张淤血,肝细胞萎缩、坏死、崩解,小叶周边部肝细胞脂肪变性, |
(4)临床病理联系:患者有肝大、肝区疼、肝功能下降。 |
(5)结局:在长期严重的肝淤血,除小叶中央肝细胞萎缩消失外,间质纤维组织明显增生,可形成淤血性肝硬化(congestive liver cirrhosis)。 |