-
1 临床诊治的最优化准则
-
2 药物治疗伦理
-
3 一台手术背后的故事
-
4 手术治疗伦理
-
5 1000多个疯狂的瘤...
一台手术背后的故事(无删节完整版)
原创 谭先杰 谭先杰医生 2017-06-26
一
小昭很年轻,娃娃脸,笑眯眯地和妈妈一起进入诊室。
刚进诊室,我的助手就说:“这儿不是产科,您是不是走错啦?”。
“没错!”小昭妈妈很干脆地说。
等小昭把衣服撩起来,连我都惊呆了——腹部膨隆,整个就像一个即将分娩的孕妇,而且是双胎孕妇!
更让人崩溃的是,检查起来肿物周围一点缝隙都没有,丝毫推不动!
小昭说她29岁,两年来一直在减肥,但效果不好,最近一个月,走路越来越沉重,晚上不能平躺,连呼吸都困难。
小昭先看的外科,但CT报告说这个肿瘤有30厘米直径,可能来源于妇科,于是她从网上抢到我的号。
凭直觉,我认为应该是良性的。但无论什么性质,手术风险都不会小——突然从腹腔中搬出这么大个东西,血压会维持不住,搞不好就呼吸心跳停止!
果然,小昭说她去过好几家医院,都建议她到协和看看。
我告诉小昭,我最近要出国开会,近期不能安排手术。我建议她去找其他医生看看,如果需要,我可以帮她推荐医生。
这个时候,小昭妈妈才说她和我中学同学的妈妈是亲戚,在网上查了我很多资料,就信任我,还说同学曾经给我发过微信。
我翻看微信,发现旅居美国的同学前段时间的确给我发过微信,只是我默认已经阅读回复了。
我有些内疚,但隐隐有些犹豫。行医这行当,似乎有一个攻不破的魔咒:越是熟人,越容易出问题,而且都是大问题!
虽然如此,我很难让她去看其他大夫了,我无法拒绝小昭妈妈那信任的眼神。
二
我让小昭去查大便常规和潜血。如果大便潜血阳性,就有可能是胃肠道的肿瘤。我还让小昭到麻醉科会诊,做术前评估——后来证明,这一步是最明智的一步。
大便潜血回报阴性,很大程度上排除了胃肠道肿瘤的可能。按惯例和规则,我将小昭的病情提交妇科肿瘤专业组讨论,请老教授和同事们共同拿主意。
我特意让小昭来到讨论现场,因为我有一个小小的心思。
近年人们对医学的期望值越来越高,一旦出现问题,有时难以接受。大大小小的医患纠纷越来越多,医生们的胆子越来越小。在某些医院,高风险的手术能不做就不做,这大概是那几家医院不接收小昭的部分原因吧。
所幸协和仍然坚守有一线希望,就付出百分百努力的信念!但我感觉,大家的勇气似乎也有些打折扣。
因此我担心,如果不让小昭到现场,只根据影像学片子判断,讨论结果有可能是不做手术。但是如果大家看到一个活生生的年轻人,就可能改变主意。
事实证明我完全多虑了!
小昭进来之前,讨论就达成了共识:手术一定要做,否则病人没有活路!
三
我告诉小昭,床位紧张,需要等很一段时间,如果情况加重,只能去急诊。小昭说,她家经济条件还可以,希望住国际医疗部。
这倒是解了我的围,但我并不希望她住国际医疗部。一是肿物的良恶性都不清,如果是恶性,在国际医疗部花费很大;二是手术难度可能很大,一旦发生意外,花费更难以估算。第三,一旦结果不好,或者医疗过程有瑕疵,追究起来,后果更严重——诉求通常是和付出成正比的。
然而,小昭丈夫执意要住国际医疗部。
两天后,麻醉科主任黄宇光教授在走廊遇到我,说:“小昭的麻醉风险非常高,但不做手术太可惜,到时候麻醉科会全力配合!”
这让我吃了一颗定心丸。
四
3月29日,清明小长假前的周三,小昭住进了医院。
由于CT报告肿瘤压迫输尿管,所以计划30号上午放置输尿管支架管,防止术中损伤。然后再进行血管造影,阻断肿瘤的供血动脉,减少术中大出血的危险,3月31日,也就是周五手术。
然而周五的手术已经排了不少,小昭的手术可能要在下午晚些时候才能开台。一旦前面的手术不顺,小昭的手术就有被取消的危险。
正在四处协调时候,我接到了黄宇光教授打来的电话。他说小长假前做这样大的手术很危险,如果出现意外,搬救兵都困难,建议假期后再做。他说,如果需要,他亲自保障。
我感动得差点落泪,为我自己,也为病人。
于是,小昭暂时先出院了。
五
4月4日,周二,清明小长假的最后一天,小昭再次住进了医院。
4月5日,周三,上午如期放置了输尿管支架管。
按理说我的心可以放下了,但事情出现了一些变化。
前来会诊的外科医生警告我,肿瘤已经把下腔静脉完全压瘪,这种对静脉的长期压迫和对肠管的长期压迫,可能导致粘连和异生血管,搬动肿瘤过程中可能撕破大静脉,导致难以控制的致命性出血!
我当然害怕这种情况,病人死于台上,无论如何是难以交待的。
我的压力陡然增加。
不仅如此,由于小昭在国际医疗部手术,医务处接到病情汇报后,要求我们进行术前谈话公证,目的是让家属知道的病情的严重性和我们的严肃性。
程序是必须的,但时间来不及了。律师说要第二天11点半才能来医院,而小昭的手术10点左右就会开始。前一天输尿管支架管放置之后,小昭出现了血尿,而且很痛。下午小昭还要去做创伤更大的血管造影和栓塞,之后可能会发烧,所以手术不能后延!
于是我在出门诊的过程中,自己和律师沟通,公事私办,恳求他们第二天8点半做术前谈话公证。
六
4月5日,周三下午,血管造影如期进行,我同时得到了一个好消息和一个坏消息。好消息是肿瘤血供来源于髂内动脉,这基本肯定了老教授和我的判断—巨大子宫肌瘤;坏消息是从造影中无法判断肿瘤与下腔静脉和肠系膜血管有无交通,而且肿瘤和周围器官似乎有粘连。
我再次和小昭的丈夫和妈妈谈话。小昭妈妈对病情的严重性似乎很理解,只是显得非常焦急。小昭丈夫却似乎很淡定,不停安慰岳母,说医生总会有办法的。
这让我有些不安。我给美国同学发微信询问这家人对手术的期望,更直接地说,一旦手术失败甚至病人死于台上,他们能否真的接受。
同学回复说小昭丈夫的人很好,之所以“淡定”,是不想让一家人都陷入混乱状态。
七
忙完后回到家,已经晚上7点多,敲门无人应答。开门后我看见闹钟上别了一张小纸条,上面写着:饭在锅里,菜在微波炉里,自己热一下吃。烤箱里有一只虾,别忘吃!我俩出去遛弯了,一会儿回。

我突然心一酸!是啊,我不是扁鹊华佗,只是一个普通医生而已。病人需要活下去,我也需要工作,需要养活家人。
但是现在,医生已经几乎是一个完全不允许失手的行业,我如此冒险,值得吗?
四年前,同样是同学介绍,同样是浴血奋战,同样是出于好心,同样是在国际医疗部,因为规则问题,我得到了一次大大的教训。
病人输不起,我同样输不起!
于是,我在朋友圈发了这张图,并配了这样一段话:1.家人:这也是家常便饭!2.病人:开弓没有回头箭!您信任我,我便全力以赴。天佑病人,天佑我!共同搏一把!
理解的朋友很多,有安慰、有理解,有鼓励......
一知名电视栏目的编导再三希望实时报道,被我婉言谢绝。
我需要心无旁骛!
八
其实,我更需要的是有人帮我分担压力,或者更确切地说,是分担责任!太太不是医生,对我们这行的难言之隐完全不懂!这个时候,我想起了老师——郎景和院士。
我给郎大夫打电话,不通。前几天他去了英国,也许没回来。我只好试着给他发短信,问周四上午他是否在医院,有事求助。他回复:“好的,上午在呀。”
随后我给他发一条比较长的信息,简单叙述了病情和我的担心。郎大夫很快回复:“到时候叫我。”
九
忙完这些后,我对正在收拾书包的小同学说:“爸爸明天有一台很困难的手术,咱们早上可不可以麻利些,这样爸爸送你到学校后,就能到医院好好吃顿早餐!”
小同学爽快地答应了。
我一直认为自己心理素质不错,尽管考试前会紧张,但一上考场就没有问题。我很长一段时间都是一上床就睡着,但那晚上我脑海中却一遍遍预手术,想象可能发生的危险和对策,前半夜居然睡不着了。
我起来从冰箱里拿了一听啤酒,喝完后很快睡着了。睡眠时间不算长,但质量颇高,起来神清气爽。
小同学没有忘记前一天晚上的承诺,穿衣刷牙洗脸一气呵成,我们提前到了学校。在校门口,小同学歪着头对我说:“爸爸,你好好手术吧!今天我很乖,是吧?!”
我摸了摸他的头,骑着前一天刚买的电动自行车,前往医院。
不到两年,我丢了两辆电动自行车。心疼之余,我安慰自己:破财免灾!是啊,对于外科医生,手术意外就是灾难。果真如此,自行车丢得也值啊!
十
4月6日,听起来很吉利的日子,至少比清明让人感觉舒服。连续霾了几天的北京,居然清朗了不少。
7点半,我到郎大夫办公室,向他详细汇报了病情,郎大夫让我手术开始后通知他。他说上午有讲演,但可以随时电话,手术优先!
临走郎大夫告诫:“第一,切口不要贪小,否则一旦出血,止血很困难;第二,如果能把瘤子完整分离出来,就基本成功了;第三,任何情况下,都不要慌乱,有我在呢!”
从郎大夫办公室出来之后,我走路都轻快了很多。
8点整,查房。我问病人睡得如何,她说后半夜睡不着,还问我是不是也没有睡好。
我肯定地回答说我睡得很好!因为我要让她相信,我是精神百倍地给她手术。
精神百倍一点不假,因为一种称为儿茶酚胺的物质已经在起作用,它让人投入战斗!
十一
8点半,律师到达病房。小昭妈妈对公证的繁琐程序有些不高兴,认为这些程序“污辱”了她对我们的绝对信任。
万事俱备,只等开台!
十二
9点半,第一台手术结束。患者是一名4个月大的女婴,生殖道恶性肿瘤。这就是医生眼中的“人生”:有不幸的,还有更不幸的!
10点整,小昭被接进手术室,黄宇光主任和病人打了招呼后,回头重重地拍了拍我的肩。
他亲自给小昭输液,开局很顺利。
然而小昭很快说头晕,她问是不是低血糖。其实,应该是仰卧位低血压综合征。病人的腹部像小山一样隆起,比足月妊娠更壮观。这样大的包块压迫到下腔静脉,血液不能回流,血压自然就低了。
所幸小昭很快被麻倒。
由于担心手术中大出血危及生命,麻醉后需要进行深静脉穿刺,以便于快速补液,还要进行动脉穿刺监测动脉压力。
静脉穿刺比较顺利,但动脉穿刺遇到了困难。小昭的血管都瘪了,黄主任亲自上手,也遭遇到了麻烦。
“不要再等,消毒开台!”黄主任手一挥。
十三
10点35分,再次核对病人和病情之后,宣布手术开始,巡回护士通知了郎大夫。
一刀下去之后,我此前所有的紧张和不安都消失了!关于可能出现的医疗纠纷的担心,也不知道去了哪儿。我的全部精神,刹那间集中了!
这个情景我并不陌生,作为曾经的学霸,每次考试一打开试卷,我就不会再紧张了。
瘤子的确是太大了,血管非常丰富,和周围真有粘连!我们细心地一处处将粘连分解后,瘤子被完整地从腹腔中搬了出来!

我们将情况简要汇报给郎大夫,告诉他可以继续讲演。
我和助手一层层剥离瘤子表面的包膜,一根根结扎血管,居然一滴血都没有出,瘤子被完整剥了下来,子宫留下了!
黄主任和我一起端着这个比两个足球还大的瘤子到家属等候区,小昭妈妈双手合十,当场就哭了……
十四
病人离开手术室后,我和主管大夫抱着瘤子拍了一张“庆功照”,笑容灿烂,皱纹都出来了。

然而,进入医生休息室,我一下瘫坐在沙发上。
是啊,我并不是一个优秀的医生。因为,我不够单纯,想得太多!
但我似乎又是一名合格医生,因为,我敬畏生命,尽心尽力!
既然答应给小昭手术,只能想办法,创条件,精心准备,寻求帮助…….
就像一支已经满弓的箭!
我拿起一张废弃的麻醉记录单,写下了这样几句话,作为对这段协和医事的记忆:开弓没有回头箭,千方百计总向前。幸有良师左右扶,一箭中的终延年!

补记
之一

补记
之二
我将文章的初稿打印出来,呈给导师郎景和院士指正。郎大夫在南下长沙讲课的飞机上,写下了如下点评,让我感动不已。
谭先杰大夫为我们细腻地描述了一个有惊无险的病例,如同一幅朴素的工笔画,几个人物,栩栩如生,跃然纸上。
有情理、有磁力;有情景、有思想。
这也是爱的图解,对病人,对职业;医患间,同事间。
就从医而论,也体现了“不打无把握之仗”“有备无患”的基本原则和策略——最后的具体手术,似乎并不那么复杂惊险了,这正是之前充分准备的结果,否则一定会荆棘丛生,危机四伏!
这里,也还印证了我常说的另外一句话:外科手术,决策占75%,技巧占25%。
决策、设计、计划是决胜的关键。
(郎景和 2017年6月9日 于南下途中)

https://mp.weixin.qq.com/s/Hx8xNqgbO7TrMhUmnDghUg


“帮帮我妹妹吧,为了看病,她把房子卖了,卖了98万3000块钱……我们也是土家族,将来会以土家族的方式感谢您!”
这是一个患者的姐姐在门诊对我说的话。患者本人,说话很少、很慢,很多时候都是以淡然的,确切地说是惨然的一笑,作为回答。
这是一位让我心生感激的患者。
一
小曼是一名工人,40岁,来自鄂西的一个小县城,与我的老家相距不足100公里。当小曼拖着沉重的脚步,在姐姐的搀扶下走进诊室的时候,我就知道,这次可能又遇上“硬茬”了。
果然,小曼的姐姐进来就递给我一沓厚厚的病历,还有一捆卷起来的CT片子。然而小曼的病史听起来非常简单。7年之前,她因为子宫肌瘤做了手术,后来肌瘤复发了,瘤子越来越大,最近三个月长得很快。
子宫肌瘤是发生在女性子宫上的良性肿瘤,子宫肌瘤剔除术后复发是再常见不过的事儿,尤其是3个以上的多发性子宫肌瘤,复发几率在60%以上。
然而,当小曼撩起衣服,露出她那被瘤子撑得像即将分娩的孕妇肚子时,我还是倒吸了一口凉气——这里面得有多少瘤子,才会把肚子撑成这个样子!而且,小曼的肚子并不像正常孕妇那样球形膨隆,而是肚脐两侧增宽的“蛙状腹”,表明小曼的腹腔内有腹水。这不是好兆头!
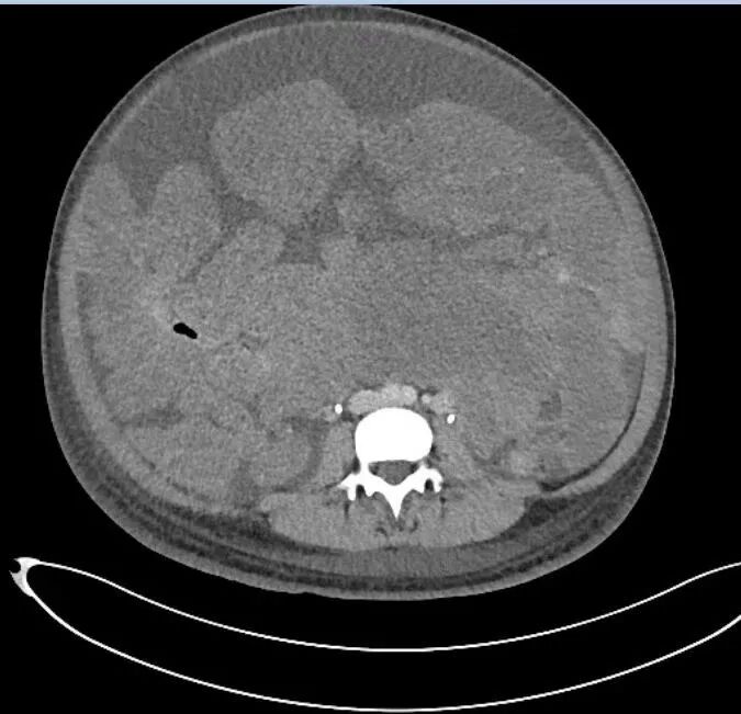
当小曼的CT片子一张一张被贴在阅片灯箱上之后,我沉默了。报告上写道:盆腹腔巨大融合性分叶状包块,下端达盆底,上端达剑突,肠管表面及肠系膜间多发低回声结节,无法计数……
小曼看过当地多家医院,还去了省城的大医院,但都被告知已经无法手术,他们让小曼到北京的协和医院看看还有没有办法。
自豪的同时,我心底涌起一丝苦笑。这是大家对北京协和医院的认可,院领导也“敲打”我们,既然患者把协和当作生命相托的最后一站,我们就要不负重托。具体到小曼身上,就转化为:我没有理由推她到其他地方看看了。
二
没等我把这丝苦笑咽下去,小曼的姐姐接着说,他们看到过我切除过一颗18斤肿瘤的报道。我心中更加苦涩,在那期央视《面对面》节目中,我请求编导不要把我塑造成高大上的形象,而是希望他们表现一个普通医生在面对不可预知的手术结局时的担心、纠结、紧张、求助的真实历程。作为权威媒体,他们做到了。那期节目受到了公众的好评,这相对容易,好莱坞大结局的医患故事,符合公众胃口。难得的是,节目也受到了同行的认可。要知道,有些时候好评如潮的医疗报道,会让故事的主角很长时间在业内羞于见人。
即便如此,小曼还是从节目中看到了积极的信息,这点我倒是能够理解。我自己在一年多之前突然遭遇感应神经性耳鸣,在希望、失望、绝望的交替挣扎中,体会到了对于病人而言,任何一条信息,都可能是救命稻草。
面对小曼尤其是她姐姐企盼和信任的目光,我无力推拒。
但是,手术怎么做?虽然以前病理报告是子宫肌瘤,但根据瘤子现在的生长方式,性质可能已经变了。肿瘤与肠管和血管之间的关系如何?肠管会不会像乱麻一样包裹在肿瘤上?还有,切除这么多肿瘤,小曼得付出多大代价?肠管、膀胱、输尿管、血管会不会损伤?术中会出多少血,数千还是上万毫升?会在重症监护室(ICU)住多久?......所有这些问题中,还有一个隐藏的、无法回避的问题——这,得花多少钱?
小曼的姐姐看出了我的疑虑,于是,就有了本文开头卖房子看病的话。
三
坦白地说,我对卖房子、卖家产、卖农村流转土地后看病的患者,有着本能的担忧。因为,与倾家荡产行为相伴的,是患者和家属对治疗结局的过高期望。一旦结果是“人财两空”,就可能引发强烈的失望情绪,甚至不理智的行为。
小曼和她姐姐对不理想的治疗效果,真有足够思想准备吗?
在我犹豫的时候,小曼再次用一个淡然的浅笑作为回答。我能读出这淡然一笑背后的心酸和无奈,更读出了小曼的决绝和坦然。我毫不怀疑自己的直觉,从医多年,一个人良善与否,几句简单交谈之后,我是能够判断的。
于是,我决定像6年前和小昭一样(参见《一台手术背后的故事》),和小曼一起,再搏一把!我准备提请妇科肿瘤专业组讨论,如果讨论认为有必要手术,再提请全院会诊,共同制定治疗方案。
四
接下来的周三上午,妇科肿瘤专业组的讨论如期进行。在小曼之前讨论的两个病例,讨论认为患者年龄大,肿瘤多次复发,对化疗耐药,再次手术患者获益不大。轮到讨论小曼时,我甚至有些紧张——讨论结果会不会同前两个病例一样?
幸运的是,讨论一致认为,小曼与前两个患者不同,还很年轻,肿瘤生长虽然广泛,但也有可能还是良性,如果不手术,小曼的生命就到尽头了。
接下来,就是全院会诊。这项在协和实施了100多年的惯常制度,现在被称为多学科诊疗模式(Multi disciplinary team, MDT)。MDT是由某一科室发起,多个科室专家组成的工作组,针对某一疾病,通过集体会诊形式,提出适合患者的最佳治疗方案,继而由相关学科或多学科联合执行该治疗方案。MDT并不能保证治疗结局百分之百圆满,但它会将这种可能性提高到极致,同时将诊疗行为的风险降到最低。
(小曼的腹部CT片,灰度稍高的不规则团块均为肿瘤)
在围绕小曼的MDT中,来自兄弟科室泌尿外科、基本外科、血管外科和平台科室麻醉科、手术室、输血科、放射科、重症监护室(ICU)的专家,一起分析讨论了小曼的病情。讨论结论归纳为四点:第一,患者病情复杂,手术是唯一可取之策;第二,手术需要多学科协作,以妇科为主;第三,手术风险大,不可预知的因素多;最后,如果手术,各科室会全力配合。
那天,我第一次与小曼和她姐姐正式谈话,我借用老师郎景和院士的名言,对她们郑重承诺:“我们不能保证治好每一个病人,但我们保证好好地治疗每一个病人。”
接下来,就是为小曼争取手术资源,也就是排上手术。
五
小曼的手术复杂,一整天都未必能做下来。如果安排了她的手术,那个手术间当天就不可能再供其他病人使用了,这对于手术资源极其匮乏的我而言,是一个客观的困难。幸运的是,前不久医院设立了特殊或疑难重症专用手术间。如果患者的病情符合标准,就可以通过特别流程申请使用。
我们成功为小曼申请到这一资源,将手术排在接下来的周三。
准备工作有条不紊地进行,但还是出现了小的波折。鉴于小曼的肿瘤与雌激素关系密切,有教授建议先用药物将瘤子缩小,或者减少腹水之后再做手术。药物叫促性腺激素释放激素激动剂,每28天注射一针,用药之后患者的卵巢功能会受到抑制,一些与雌激素相关的疾病,如子宫肌瘤、子宫内膜异位症等,会在用药后缓解。
我和小曼的姐姐讨论了用药问题,她说小曼以前用过这种药物,但效果不明显。她说小曼这段时间腹胀严重,晚上只能坐着迷糊一会儿。她们在当地医院放过腹水,但很快又长起来。小曼的姐姐直言不讳地告诉了她的担心:如果回去用三个月药,小曼可能就没有机会再来北京了。
小曼姐姐的担心是有道理的。小曼的血氧饱和度曾低到60%(正常人血氧饱和度一般在95%以上,低于90%就有危险),随时可能呼吸心跳骤停。
于是,我没有再坚持让小曼用药3个月。
六
二月份的最后一个周末,小曼住进了医院。
周一,小曼到泌尿外科放置了输尿管支架管。这种被称为双J管(Double J)的管子两头都有像大写的英文字母 J 的勾。放置双J管的目的,主要是帮助术者辨识输尿管,因为输尿管本身很柔软,而放置双J管后会有硬芯,能让术者在看不见它的情况下用手摸出来其走行方向,以减少或避免损伤输尿管损伤。而且,如果手术中损伤了输尿管,有双J管支撑,损伤可以在3个月自己修复,而不至于发生尿瘘。缺点也是有的,有的患者置管后会出现腰痛和血尿。小曼就出现了,但她淡然接受了。
周二,小曼到放射科做了血管造影。这一操作的目的是了解肿瘤的血供情况,如果能找到给肿瘤供血的主要血管,就可以在其中放入海绵等特殊物质,堵住血管,也就是栓塞,以减少术中出血。遗憾的是,小曼的肿瘤很特殊,血供大多来源于周围的肠管,没有主要供血血管,无法栓塞。尽管如此,考虑到手术中要切除子宫和双侧卵巢,我们请放射科医生对供应子宫的血管进行了栓塞。栓塞之后小曼出现腹痛,但她说能忍受。
这些带有痛苦的准备工作,都是为了给接下来的手术增加安全性。
七
除了身体上的准备之外,还有一项重要的工作要做,那就是患者和家属思想上的准备,也就是术前谈话,现在称为病人知情同意。在这项谈话中,医生会向患者详细告知拟行手术的必要性和风险、替代治疗方案等。在一般的手术中,多是由主治医生谈。小曼的病情特殊,需要我亲自谈,而且整个过程有两名律师见证。
这是我再次正式和小曼及其亲属谈话。等所有流程结束之后,我做了两点补充。第一,经过如此多的术前准备和如此正式的谈话,说明小曼的病情很重,我们很重视,会竭尽全力。第二,谈话只是知情同意的必要程序,不是免责声明。如果治疗结果不如所愿,我支持你们走法律程序,但有两个词请不要出现在起诉书中:一个是草菅人命,另一个是不负责任。可以起诉我技术不到位,或者医术不高。
说最后这段话的时候,我有一种莫名的悲壮感。
小曼和家属显然被我的严肃或者悲壮感染了。为了缓和气氛,我最后说:“虽然手术风险的确很高,但是我这人运气不错,相信小曼运气也不错,一起努力!”
八
一切准备就绪之后,我离开医院回到家里。拿出手术解剖图谱复习了一遍腹腔内脏器和血管的解剖后,很早就睡觉了。与6年前给小昭手术之前我前半夜失眠不同,这一次,我很快就入睡了。
是的,这一次我很坦然。我已经做了所有我该做的准备,我甚至都没有像上次那样想象术中出现的意外场景。也许随着年龄的增长,我更有些相信,谋事在人,成事在天,尽力而为!
这一次,我甚至没有向我的导师郎景和院士求助,因为老先生出差去了。但我还是向前辈吴鸣教授做了汇报,他说如果需要,随时上台。我还向妇科肿瘤中心主任向阳教授汇报了情况,他说他在手术室,有事可以叫他。
实际上,我还给年资比我低,但手术技术很好的钟森大夫打了招呼,如果我和主治医生配合不顺手,得请他上台。他慨然应允。
九
我毫无杂念地进入手术室。我拍了拍小曼的肩膀,告诉她不用紧张,我们的麻醉团队和手术团队都很强大,做好了一切准备。
这并非客套话。负责麻醉的张砡大夫和裴丽坚主任及高海燕护士长的确做好了各项准备,他们专门讨论过小曼的病情,制定了应急预案。
一切,似乎都很完美。
然而,还是出现了麻烦。手术前一天,按照主管病房的李雷教授的建议,主管医生给小曼放了4000ml腹水,缓解了呼吸困难,让她平卧睡了一晚上,同时也减少了手术中快速放腹水引发循环不稳的风险。但是,可能由于紧张等因素,小曼进入手术室后,竟然不能在手术台上平躺。不仅她感觉呼吸困难,而且客观指标——血氧饱和度也迅速下降。所幸,张砡医生很有经验,给小曼背后垫上大棉垫,在半坐位下进行了麻醉诱导,成功完成了气管插管。
为了应对大血管损伤抢救的需要,小曼接受了颈内静脉穿刺置管。颈内静脉比手臂上的血管粗很多,离心脏近,一旦需要快速输血输液,就能发挥很大作用。另外,由于小曼的肿瘤体量太大,术中搬动或切除大块肿瘤后,血容量会骤然变化,小曼还接受了桡动脉穿刺置管,通过它监测动脉压,维持循环稳定。
此外,小曼还接受了“特殊的“自体输血。麻醉成功后,在严密监测患者的生命体征的情况下,从静脉中放出了800ml血,并输入等量液体。如此一来,手术操作中出的血就是稀释的血,等肿瘤切除完毕,不再有活跃出血后,再将抽出来的血液回输。常规的自体输血是患者在术前一周或数周将血液留出,手术中使用,但对小曼而言,时间上来不及。至于在手术中将操作所引起的出血收集起来过滤后的“Cell-Saver”自体输血,不能用在小曼身上,因为如果肿瘤是恶性,就可能造成血行播散。
十
8时42分,手术开始。
我的第一助手是计鸣良大夫。当天是他轮转到我们病房的第一天,我们之前没有同台做过手术,这也是我和钟森大夫打招呼,请他备着上台的原因。然而手术开始后,仅仅几个动作的配合,我就知道计大夫没有问题,不仅能指到哪里打到哪里,而且能主动配合与提醒。于是,作为“B角”的钟森大夫,就忙自己的事情去了。
切到腹膜进入腹腔之前,我们用一根粗的穿刺针穿透腹膜,缓慢吸出腹水,以免快速大量抽走腹水引起腹腔压力变化,导致回心血量骤然减少,从而威胁循环稳定。小曼前一天已经放了腹水,但她的腹水形成很快,术中前后又放了3800ml 腹水。
随后,我们切开腹膜进入腹腔,谜底随即揭开,令在场的所有人都惊呆了。非常抱歉我不能展示图片,因为它会引起公众不适,让我用文字来描述吧:
“腹腔内布满了大小不等、形状各异的肿瘤团块,恰如古罗马战士身上的盔甲,又似法国南部地中海城市尼斯那没有沙子只有鹅卵石的海滩,还像一面用不规则的石块砌出来的厚墙........
“原本应该是小肠和大肠充填的腹腔内,竟然见不到一小段肠管,它们都被肿瘤挤压到下面去了。除了面目狰狞的肿瘤之外,腹腔内唯一可见的正常器官是胃的下部(胃大弯)。与胃相连的大网膜上,是一根根怒张的血管,直径是正常大网膜血管的3倍以上。血管的两边,缀满了大大小小、如葡萄、如蚕豆、如黄豆的肿瘤结节.
"手术中必须要切除的器官——子宫和双侧输卵管卵巢,完全不可见,它们被肿瘤和前两次手术后形成的粘连,死死地封闭在盆腔深处。肿瘤与肠管及血管的关系,不得而知。”
十一
鏖战,正式开始!
虽然肿瘤被比喻为石块,但它们的颜色和质地与肠管几乎一模一样,这给手术造成了很大麻烦,一不小心就会损伤肠管。而且,切除部分肿瘤后发现,肠管表面以及给肠管供血的肠系膜表面,布满了密密麻麻、黄豆到蚕豆大小的肿瘤结节。回收肠管血液的主要血管——肠系膜下静脉,直径是正常人4倍以上,几乎和正常人的下腔静脉一样粗大。道理可以理解,布满盆腹腔的肿瘤,攫取的是相应部位肠管的动脉血液,这些血液营养肿瘤后形成的静脉血,与肠管本身的静脉血一起汇入肠系膜下静脉,导致了它的怒张。
幸运的是,虽然这根惹不起的血管粗得惊人,但它没有被肿瘤侵犯。更幸运的是,妇科肿瘤医生最惹不起的、管壁如纸一样薄、一旦破裂出血就是上千毫升的下腔静脉,也没有被肿瘤侵犯。
感谢众病之王,给患者和医生留出了一条华容道。
十二
手术最重要的一步是切除子宫和双侧卵巢。根据术前判断,患者可能是播散性子宫平滑肌瘤病、子宫内膜间质肉瘤、血管周平滑肌瘤或者子宫内膜异位症。几种疾病都与雌激素有关,小曼的腹围在月经周期中有变化的历史也佐证这一点。我们制定的方案是,如果手术中发现肿瘤不能切除干净,甚至大部分无法切除,底线也是切除双侧卵巢,去除支配肿瘤生长的激素,这样,肿瘤就不会疯狂生长。
部分肿瘤切除后的快速病理回报:考虑为腹腔播散性子宫平滑肌瘤病。这促使我们,必须切除子宫和双侧卵巢,尤其是卵巢!
然而,这一操作极其艰难,甚至是整个手术中最艰难的一段。在一层层、一块块和肠管几乎无法区分的肿瘤和肠管的粘连包裹下,子宫和双侧卵巢根本见不到,甚至用手也扪不到。同样糟糕的是,膀胱表面布满了肿瘤,与子宫之间分界不清。在这一步操作中,最大的问题不是致命性大出血,而是膀胱或者肠管损伤。膀胱损伤问题不大,留置导尿管,2周后基本都能愈合;但肠管损伤后发生肠瘘,麻烦就大了,重则发生致命性腹膜炎、感染性休克,轻则6个月内患者的大便要从腹部的某处排出,而且无法进食,只能从静脉输入营养物质。
可以说,作为从医30年的妇产科医生和从事妇科肿瘤专业16年的妇科肿瘤医生,是经验而不全是技巧帮助了这一步手术的向前推进。我和助手先切开侧壁腹膜,进入腹膜后间隙,确认了输尿管的走行方向,将它们从腹膜上分离下来,推向侧方,这样就可以避免它在接下来的“卷地毯式”、连同被肿瘤侵犯的腹膜一起“整体切除”中受到损伤。接下来,我们确认了营养下肢的髂外动脉和静脉,确保它们不被损伤。20多年前,我曾接诊过一个因产后出血在当地医院进行“髂内动脉”结扎的患者,不幸的是当地医疗水平有限,把髂外动脉当成髂内动脉结扎了,结果做了截肢。另外,时不时会听到同行中有损伤髂外动脉的事故发生。所以,确认这些血管非常必要。
接下来的一步,是把布满肿瘤的膀胱腹膜与膀胱本身分离,称为“反推膀胱”。对于新手而言,这步操作基本相当于盘山公路,有相当难度。但对于妇科肿瘤医生而言,这是必须会的基本操作。在学术讲课中,我将操作要点归纳为“保持张力、找到间隙、精细操作”,而其中,有一个隐藏的字——“慢”,贯穿在这一步,甚至妇科肿瘤手术的很多步骤中。
十三
在武侠世界中,有一句话:天下武功,唯快不破。然而,在妇科肿瘤手术中,尤其是在可伤及血管、输尿管、膀胱损伤的步骤中,慢,才是王道。慢的同时,还要心静。
我和计大夫正是采取了“慢”字诀,像蚂蚁啃骨头一样,不忙不忙,一毫米一毫米推进,终于将小曼的子宫和双侧输卵管卵巢切了下来,取得了阶段性“重大胜利”。此后只要麻醉医生说病人情况不好,手术随时停止。
幸运的是,虽然麻醉科张砡医生几次说患者血压下降,血红蛋白降低,提醒我们适可而止,但我们还是达成了一致:手术操作引起的出血并不多,但每切除一块肿瘤,瘤子中存在的血也一并被带走了,所以患者的血红蛋白降低明显。张医生说她会想办法维持循环。
手术继续!
我们“逐一将腹盆腔各处的肿瘤与周围的肠管进行分离,结扎切断与肿瘤相连的血管,将所有直径大于0.5cm的肿瘤切除下来,修补薄弱的膀胱壁和3处有破损的肠管......"
十四
手术记录中关于肿瘤切除过程的描述不足100字,实际上手术可以用“惨烈”来形容,切除的瘤子可以用“壮观”来描述。
麻醉记录显示,小曼上午7时55分进入手术室,麻醉和术前准备后,8时42分手术正式开始,18时22分手术结束,18时35分小曼被转送到ICU。手术操作本身,历时9小时40分钟。
切除的肿瘤,冒尖儿地装满了4个口径22cm、容积1000ml的手术大盆和1个手术弯盘。令团队成员始料不及的是,我将肿瘤一一铺开,摆满了100cmX100cm的手术大单,并进行计数。
结果如下:手术切除直径0.5cm以上的肿瘤1150余枚,最大肿瘤18X15X8cm,最小者如黄豆大小。不含被送去做冰冻病理的一大块肿瘤,剩余的肿瘤共9kg——与5年前小昭被切除的肿瘤一样重,只不过小昭只有一个肿瘤,小曼是1000多个肿瘤。
实际上,切除的肿瘤应该更重。因为,小曼入院时体重74kg,术后第5天体重51kg,除去7800ml腹水,小曼被切除的肿瘤应该在15kg以上!
郎景和院士讲过,美国 《读者文摘》 杂志在成千上万读者中进行问卷调查后发现,世界上3种人最快乐:一是千辛万苦把肿瘤切除的外科医生;二是完成了作品,叼着烟斗自我欣赏的画家;三是正在给婴儿洗澡的母亲。
2023年3月初的那个黄昏,我成为世界上最快乐的人!
十五
小曼被送进ICU。2年多前,进入知天命之年的我,按照科里照顾老弱病残孕的传统,光荣地退出了值班队伍。从那个时候开始,睡觉前我就会将手机关闭。
但那一晚,我没有关机。
我希望小曼安然度过术后的几个关口。术后第一个24小时内要度过的关口就是出血。小曼的肿瘤太多,每切除一个肿瘤就留下一个血管断端,就有出血的风险。虽然术中我们确认没有活跃出血,但那时小曼的血压被麻醉医生控制得较低,如果术后血压升高,断端的血凝块就可能被冲开出血。
谢天谢地,那天晚上,手机铃声没有响起!
第二天早上,我和主管医生一起去ICU查房。小曼已经清醒,但还没有拔除气管插管,只能对我的呼唤做目光回应。小曼的腹腔引流不少,是淡血性,多半是腹水。
这让我放心不少,可以安心出门诊了。
十六
不幸的是,门诊即将结束的时候,我接到电话,说小曼的血红蛋白从进入ICU时的115g/L降到了78g/L,超声显示腹腔内有较多液体。ICU医生问患者有没有腹腔内出血的可能,需不需要积极干预,也就是再次开腹止血。
再次开腹或开胸圈内俗称“二进宫”,正规的叫法是“非计划再次手术”。这是对手术者的考验,因为决策需要由术者做出。通常而言,非计划再次手术会被评估甄别,甚至被追责,因为毕竟给病人带来了额外伤害。
我和助手一起仔细回想了手术中的情况,认为我们止血相当确切,手术结束冲洗盆腹腔时,冲洗液可以用清澈见底来形容。我们判断,小曼血红蛋白下降的原因可能是术中循环血量不足,术后补液多,血液稀释的结果。腹腔内的积液应该是再次产生的腹水,因为手术中小曼的腹水生成很块,可以用汹涌来形容。
于是,我请ICU医生继续申请输血,动态观察血红蛋白变化。
门诊结束已经是晚上7点半,我和主管医生再次前往ICU查房。小曼的气管插管已经拔掉,但很虚弱,我要将耳朵贴近她才能听见她说话。小曼的第一句话是:谢谢谭医生!虽然很轻,很慢,仍然让我的疲惫一扫而光。
我们查看了小曼的血压、脉搏等生命体征以及引流液和伤口情况,心中有底了——腹腔内没有活跃出血,不考虑“二进宫”。
我骑着小电动,在农历二月的春风中,回到家里。儿子在写作业,妈妈在紧急处理学校甲型流感的事,我将饭菜用微波炉热了一下,吃得很香。
但是那一晚上,我的手机仍然保持开机状态。
第二天早上,ICU医生报告小曼的血红蛋白已经回升。下午,小曼转回到妇科肿瘤病房。
术后第一关,出血关,小曼闯过去了,有惊无险!
十七
接下来,小曼要面临第二关——感染关。小曼是传统的开大刀,切口从耻骨一直延续到剑突,足有40cm。在近10小时的手术中,虽然有诸多保护,小曼的腹腔脏器还是暴露在空气中。
在一般人的想象中,手术室应该是绝对无菌的,其实不然。手术铺单、手术器械、手套的确是高压消毒灭菌的,但是空气做不到完全无菌。患者和医护人员呼出的气体中都可能含有细菌,即使戴了口罩,即使有层流设备,也不可能做到空气中完全无菌,只是在技术上将空气中的尘粒数降到最低,借此避免病原微生物通过尘粒传播而已。
小曼术后第一天高热39.5℃。对小曼的发热我们是有思想准备的,用上新一代抗生素,让它们去帮助小曼与病菌做斗争。
欣喜的是,小曼转回妇科肿瘤病房后的第二天,体温就降到了正常。
一切,都在向好的方向发展。
然而,我们一直在等待的一个重大事件,却迟迟没有发生。这个重大事件,只有一个字——屁。
十八
不雅的字的背后,就是小曼要面临的第三关——并发症关。
手术中我们切除了小曼肠道表面及肠系膜上的1100多个大小不等肿瘤,对肠系膜的血管破坏较多,术中还对肠管进行了修补。所以,对小曼肠道功能恢复慢,我们也是有思想准备的。在小曼手术后的前3天,我没有过问小曼是否排气的问题。
术后第4天,我轻描淡写地问了小曼一句:“放屁了吗?”。小曼摇了摇头,仍然是淡淡一笑,但此时的笑,已经少了惨然的成分,更多的是淡定。
小曼很相信我们。
我故作轻松地和小曼说,一定会恢复的,时间问题而已。
然而,这个时间问题,却让我在接下来的几天提心吊胆。
如果小曼一直不排气,说明可能发生了肠梗阻。如果梗阻不能解除,肠管不断扩张,就可能将修补的地方撑破,肠液外溢到腹腔,形成肠瘘,导致腹膜炎,甚至感染性休克。然后,前功尽弃。
术后第8天,我让主管医生给小曼申请一个腹部X光片。如果有肠梗阻,平卧位X光片就会显示扩张的肠管形状,称为肠型。站立位X光片则会显示不同节段肠管中下面为液体、上面为气体的“梯田状气液平面”。这是判断有无肠梗阻的经典检查,经济实用。但当天查房的教授比我更谨慎,直接让小曼做了胸腹盆CT检查。
我有点替小曼心疼,毕竟CT检查比X光摄片检查贵不少。我以前也会关注病人的治疗费用,但没有这次在意。原因在于,从得知小曼卖了房子看病开始,我内心深处就有一个强烈的“小心思”。
这个小心思就是:不仅要帮小曼治病,还要让小曼用剩下的钱,去赎回房子或者购置一套面积小点的房子。小曼的姐姐说,小曼得了“怪病”后,老公已经和她离婚了。
当然,萌生这个“小心思”还有另外一个原因。小曼是鄂西土家族,我是渝东土家族。小曼的姐姐给我发信息说:“等回去后,小曼要给您送头猪”。这种感谢医生的古老方式和我老家极其相似,只不过老家不是送一整头猪,而是送一条又肥又大的猪蹄膀。医生会像锦旗一样,把它们挂起来。
十九
虽然我替小曼心痛费用,但CT检查还是物有所值的,它比X光片清楚,还能判断梗阻部位。检查显示小曼肠道的扩张主要在横结肠(大肠中位于上腹部的一段),而不是被修补过多处的回肠(位置靠下靠右)。如果肠内容物或气体继续向前推进,就到了左侧的降结肠,然后是乙状结肠和直肠,最后,就会出现我们期待的那个字。
我用听诊器听了小曼的腹部,听到了堪比天籁之音的声音——肠鸣,一种代表肠道有蠕动功能的声音。
我让小曼做一个动作:由仰卧位改为左侧卧位。我希望通过这样一个动作,能让位于上腹部中间位置的肠内容物借地心引力,进入到位于左侧腹部的降结肠,然后倾泻而下。虽然这没有任何循证医学根据,但从解剖生理学上,似乎“未来可期”。
我让小曼做几个这样的动作,静候”佳音“。
然而,两天过去了,小曼仍然没有任何动静。还好,她体温和血常规都正常,也没有腹痛和腹胀。
二十
术后第10天,小曼报告,她“放屁”了,而且是两个。
大功基本告成!
实际上,在此之前的两天,小曼的妈妈和姐姐已经把锦旗送到了我的门诊。合影的时候,我虽然笑得头发都飞起来了,心里却很忐忑。毕竟小曼还没有排气,警报并没有解除,结局尚不确定.......我说锦旗送得有些早了,出院后再送也来得及!
但是,小曼的妈妈用我完全能听懂的土家族方言说:“不管是死是活,我们都谢谢您了!“
这句话,比送锦旗、比送一口猪,更让我感动!
二十一
术后第11天,小曼的病理报告出来了:低级别子宫内膜间质肉瘤。
这可以说是一个坏消息中的好消息。子宫肉瘤是子宫上罕见的恶性肿瘤,包括子宫平滑肌肉瘤、子宫癌肉瘤和子宫内膜间质肉瘤。前两种恶性程度高,后一种恶性程度低,尤其是低级别的类型。小曼术后不需要辅助放疗和化疗,可以用抑制雌激素的药物,如大剂量孕激素,或者抑制将皮下脂肪转化为雌激素的酶,即芳香化酶抑制剂,就能延缓甚至阻止肿瘤的发展。
我第一时间将这个“坏中带好”的消息告诉了小曼和她姐姐。
术后第18天,小曼出院了。
我对小曼说,回去买好房子后,一定要告诉我一声,我借此回趟老家。我会去给她乔迁新居道贺,通俗的说法是“温居“,土家族人称为“断水酒”。因为老家修建房子时,上梁盖瓦是最后一道工序,需要集全村之力,良辰吉日,短时间内,赶在可能的下雨之前完工,将雨水阻断在房屋之外,然后喝酒庆贺。
我不会把小曼送给我的那口猪带走,但是,我会在小曼家吃下一大碗土家族红烧肉,喝上几碗“土家甩碗酒”,那一定很香,很醉……
尾声
这真的是一次让我充满感激的诊疗。
首先,感谢小曼和她的家人。感谢他们信任协和,让我能帮助小曼在与肿瘤的斗争中首战告捷;第二,感谢妇科肿瘤中心。在中国现代妇产科学开拓者林巧稚大夫的倡导下,妇产科各专业组每周都有雷打不动的专业组查房。专业组的查房意见,给了我与小曼一起拼搏的底气;第三,感谢历经百年的协和全院会诊即MDT制度,没有基本外科、泌尿外科、血管外科兄弟科室的指导,没有他们随时上台的承诺,小曼是没有机会被推进手术室的;第四,感谢麻醉科、放射科、ICU等平台科室的精心配合,没有全面的麻醉评估和术中保障,小曼是不可能安全被推出手术室的;第五,感谢医院设立疑难重症专用手术间,让小曼及时做上了手术;第六,感谢前辈们几十年如一日的言传身教,让我能完成这台艰难的手术。感谢病房兄弟姐妹们的悉心照护,让小曼顺利恢复。最后,感谢自己的执着。
执着之中,我可能创造了一项新的“吉尼斯”世界纪录——切除肿瘤数最多的医生。80多年前,英国妇科手术大师维克多.邦尼(Victor Bonney)创造了在女性的子宫上剔除258个肌瘤的记录。10多年前,我的同事创造了在子宫上剔除419个肌瘤的纪录。这次我不是从子宫上剔瘤子,而是从肠管上剔瘤子,应该说危险性和难度更大。当然,有人切除的肿瘤肯定比这还多,但是他们不屑、或者没有耐心去数,多半用“不计其数”一笔带过,唯有我,才会如此顽固、如此执着。
实际上,纪录毫无意义。诚如被誉为开创“现代妇科手术典范”的法国医生丹尼尔·达尔让(Daniel Dargent)所言:“外科医生的职责并不是创造吉尼斯世界纪录,而是让患者信任自己,并为患者提供最适合的治疗手段。”老师郎景和院士也教导我们:“外科手术从来不是技术和器械的炫耀,手术室里最重要的是台上的病人。”
坦白地说,我不希望在未来的从医生涯中,再次遇到像小曼这样的病人。但是,如果再次遇到,只要还在北京协和医院,只要还有这些团队支持,我或者我的晚辈,极大概率会和下一个“小曼”一起,如履薄冰,如临深渊,尽力而为!
— 完 —

