磁共振图像重建
-
1 知识点学习
-
2 微课
-
3 测验与讨论
-
4 课后拓展知识
-
5 课程思政
上一节
下一节
人体内所有自旋质子具有相同的拉莫频率,
受射频脉冲激发后接收到的信号包含受检者整个身体的信息,
如何确定信号每个成分的特定起源点即空间位置信息?
一、梯度与梯度磁场

二、空间定位
1、层面选择

层厚选择:![]()

2、相位编码:
![]()

3、频率编码:
![]()

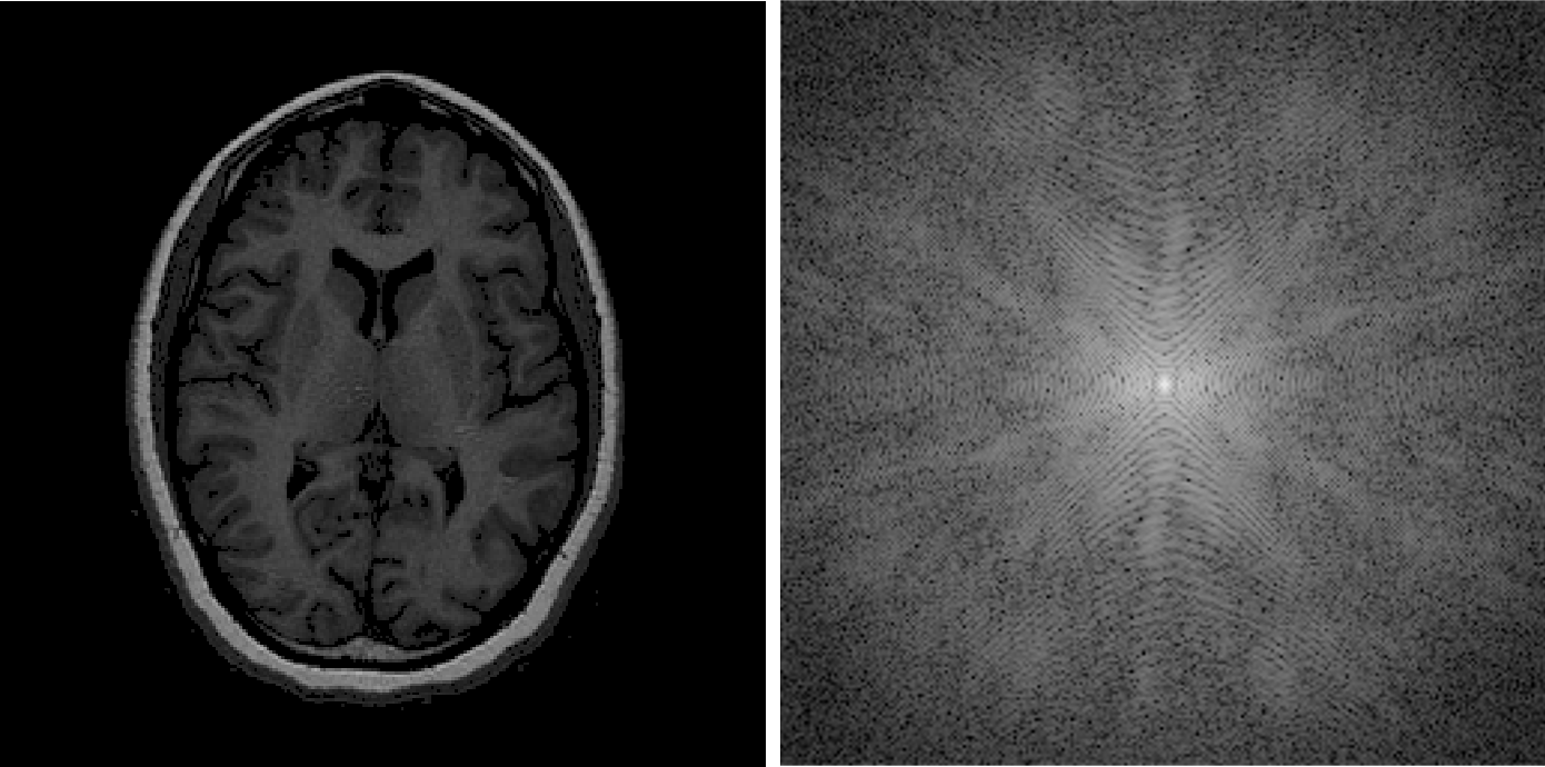
三、图像重建
接收的MR信号是断层所有体素共同产生的,整个断层所产生的MR信号为
![]()
整个断层所产生的MR信号可用空间频率表示为
![]()

K空间特点:
(1)填入k空间不同位置的数据大小不同,中心信号强,空间频率低;外围信号弱,频率高。
(2)储存在k空间不同位置的MR信号对图像的贡献不同
填充在k空间的中心区域的MR信号幅度大,主要决定图像的对比;填充在k空间周边区域的MR信号幅度小,主要决定图像的空间分辨力。

(3)k空间的对称性
具有空间共轭对称性,可用来实现快速成像。
k空间在相位编码方向上和频率编码方向上都是镜像对称的。
(4) k空间与成像物理空间
k空的每一个一个数据点都是断层上所有体素的贡献,虽然二维空间是由二维数据点构成,但并不与物理空间直接对应
成像时间:


