磁共振信号与加权图像
-
1 知识点学习
-
2 微课
-
3 测验与讨论
-
4 课后拓展资料
-
5 课程思政
上一节
下一节
磁共振成像(Magnetic Resonance Imaging , MRI)是利用原子核在强磁场内发生核磁共振产生的信号经图像重建的成像技术。
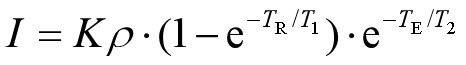
磁共振成像过程中,射频脉冲激发后所记录到的信号强度的大小主要与以下因素有关:
一是生物组织本身的因素,包括T1、T2和质子密度等;
二是脉冲序列的形式。



一、FID信号及其加权

幅度:![]()

二、SE序列及其加权


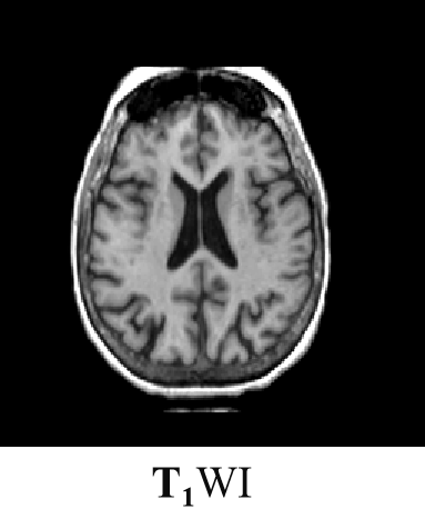
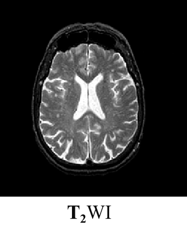
幅值:![]()
TI加权:![]()
T2加权:
PD加权:
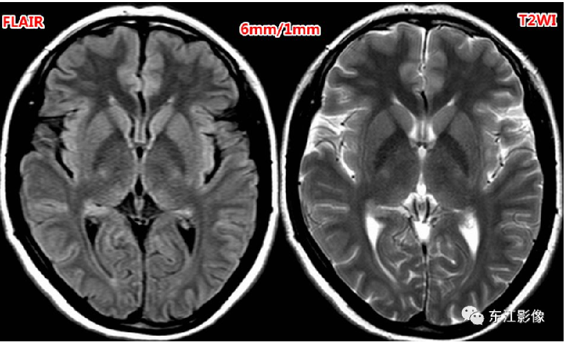
三、IR序列及其应用

拐点:![]()

1、重T1加权

2、压脂肪STIR

3、压水FLAIR



