-
1 章节要点
-
2 章节测验
第二节 口腔黏膜白色和红色病变
★1)白斑(leukoplakia)
①概念
口腔粘膜表面的白色斑块(图11.2-1),不能被擦掉且不能诊断为任何其它疾病者。

图11.2-1 白斑
②病因
局部长期刺激(烟草、槟榔等)
③临床表现(图11.2-2)
均质型(白色,平坦、起皱、细纹状)
非均质型(疣状、结节、溃疡、红斑)

图11.2-2 白斑类型
④病理变化
主要病变:上皮增生(图11.2-3)

图11.2-3 上皮过度角化
上皮单纯性增生:上皮过度正角化或不全小孩;颗粒层明显;棘层增厚;基底层清晰;上皮钉突伸长,肥厚。
上皮疣状增生:表面高低不平,表层过度角化,粒层明显;棘层增生。
白斑伴有上皮异常增生(图11.2-4)。

图11.2-4 上皮单纯性增生和上皮异常增生
重度异常增生实际上就是原位癌。
★2)红斑(erythroplakia)
①概念
口腔黏膜上出现的鲜红色、天鹅绒样斑块,在临床上不能诊断为其他疾病者。
②临床表现
41-50男性;
部位:舌缘、龈、龈颊沟、口底及舌腹;
特点:边界清楚,范围固定;
分型:均质型、间杂型和颗粒型。

图11.2-5 红斑类型
③病理变化
恶性者所占比例高
均质型:上皮萎缩/异常增生或原位癌
颗粒型:多数原位癌或早期浸润癌
表面上皮不全角化;钉突之间上皮萎缩变薄;结缔组织中血管增生、充血。

图11.2-6 红斑(光镜下)
3)口腔黏膜下纤维性变(oral submucous fibrosis )
①病因
不明(食辣椒、嚼槟榔有关);
②临床表现
年龄:20-40岁,无性别差异。
部位(图11.2-7):颊、软腭、唇、舌、口底、咽。
症状:早期烧灼感,由疱变溃疡;后期开口困难。口腔黏膜变白,发硬,可发现纤维条索。

图11.2-7 口腔黏膜下纤维性变(软腭和唇)
③病理变化
主要为结缔组织发生纤维变性(图11.2-8)。
最早期:出现一些细小的胶原纤维,并有明显水肿;
早期:上皮下有一条胶原纤维玻璃样变带,下方胶原纤维间水肿;
中期:胶原纤维重度玻变,轻度水肿;
晚期:全部玻变,血管狭窄或闭塞。

图11.2-8 口腔黏膜下纤维性变(光镜下)
4)白色水肿(leukoedema)
①概念
发生于颊粘膜,为白色边界不清的斑块。
②病因
不明(吸烟、嚼槟榔有关)
③病理变化
上皮增厚;上皮细胞内水肿,胞核固缩或消失,出现空泡性变(图11.2-9)。

图11.2-9 白色水肿
★5)扁平苔藓(lichen planus)
①概念
皮肤粘膜慢性炎症性疾病。
②病因
不明(多因素作用)。
③临床表现
40-49女性,患病率0.5%;
部位(图11.2-10):颊、舌、唇及牙龈黏膜;

图11.2-10 扁平苔藓(颊和舌)
典型病损:白色条纹,其间黏膜发红;
分型:网状型和糜烂型(图11.2-11),网状型多见;

图11.2-11 扁平苔藓类型
皮肤表现:圆形丘疹,中心有凹陷,红色到褐色。
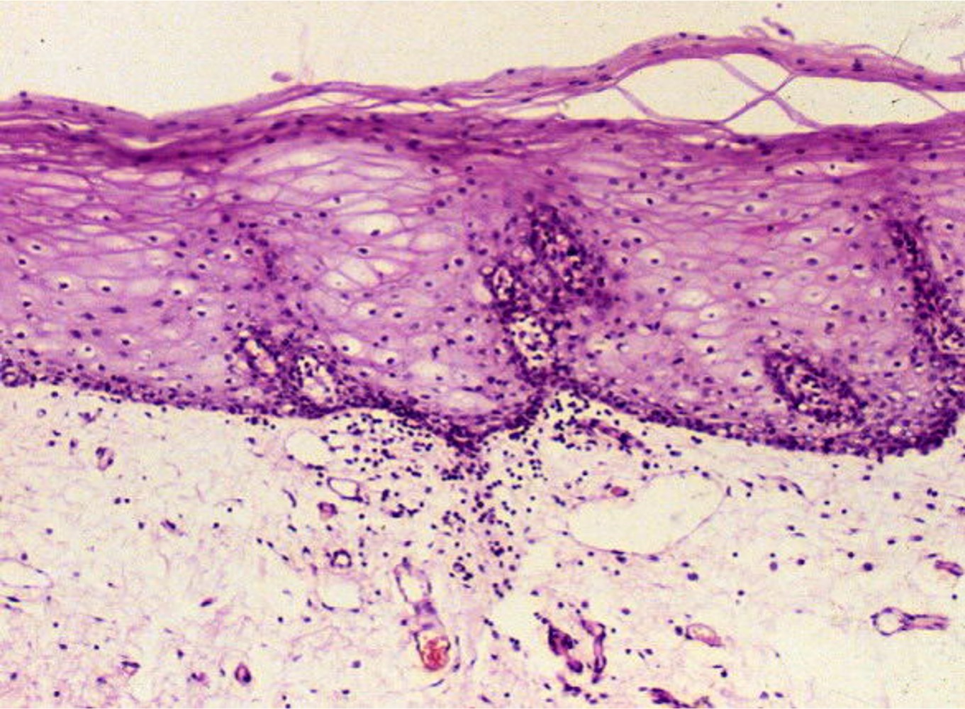
④病理变化(图11.2-12)
上皮不全角化,黏膜发红处无角化;棘层多增生,钉突显示不规则延长;基底细胞液化、变性,基底膜界限不清;黏膜固有层T淋巴细胞浸润带;上皮下圆形或卵圆形胶样小体,均质性嗜酸性;有时可见异常增生。

图11.2-12 扁平苔藓(光镜下)
6)慢性盘状红斑狼疮(chronic discoid lupus erythematosus)
①概念
为皮肤粘膜自身免疫性疾病。
②临床表现
女性多见,好发于青壮年。
好发部位:口颊部的皮肤与粘膜。
皮肤:呈蝴蝶斑。
口腔唇颊粘膜:呈红斑样病损。
特征性表现:红色病变呈萎缩或浅表糜烂的不规则红斑,其边缘可见放射状排列的白色纤细条纹(图11.2-13)。

图11.2-13 慢性盘状红斑狼疮
③病理变化(图11.2-14)
上皮过度角化,粒层明显,角质栓塞;棘层变薄,可见上皮钉突增生、伸长;基底细胞液化变性,基底膜不清晰;固有层淋巴细胞为主的炎症细胞浸润;毛细血管扩张,血管内玻璃样血栓,周围类纤维蛋白沉积。

图11.2-14 慢性盘状红斑狼疮(光镜下)
狼疮带(免疫病理)。
7)黏膜良性淋巴组织增生病(benign lymphoadnosis of mucosa)
①临床特点
21-40岁男性多见;
好发:唇、颊、腭、舌及龈沟等处黏膜;
临床表现:反复发作,唇肿胀、发红、干裂、出血、糜烂、脱皮、结痂等,自觉发痒;
部分病例可出现单发或多发的结节。
②病变特点(图11.2-15)
本病特征:黏膜固有层或黏膜下层有淋巴滤泡形成,滤泡周围是淋巴细胞,中心为组织细胞,淋巴滤泡间大量淋巴细胞和浆细胞,血管扩张、充血。

图11.2-15 黏膜良性淋巴组织增生病
部分病例存在上皮异常增生。
8)口腔念珠菌病(oral candida albicans)
①病因
白色念珠菌感染。
②临床表现
儿童、老年人多见、AIDS;
分型:病程——急性和慢性;病变——假膜型、红斑型(萎缩型)和增生型。

图11.2-16 急性假膜性念珠菌病
③病理变化
角化层内有中性粒细胞浸润-形成微小脓肿。
棘层增生,上皮钉突圆形。
固有层充血,大量炎症细胞,浆细胞,中性粒细胞浸润(图11.2-17)。

图11.2-17 念珠菌病(光镜下)
菌丝位于上皮外1/3处,垂直或成角度,PAS(+)(图11.2-18)。

图11.2-18 念珠菌病(菌丝)

