-
1 章节要点
-
2 章节测验
第一节 牙龈病
一、牙菌斑性牙龈病
★1)慢性龈炎
①病因
主要是细菌及其毒性产物
②临床表现
炎症水肿型(图10.1-1):龈缘红肿、光亮、松软,易出血。

图10.1-1 慢性龈炎(炎症水肿型)
纤维增生型(图10.1-2):龈缘肿胀、坚实,呈炎症性增生。

图10.1-2 慢性龈炎(纤维增生型)
③病理改变
炎症局限于沟内上皮下方,牙周膜、牙槽骨均未见明显变化。
炎症水肿型:组织水肿,毛细血管增生,大量中性粒细胞及淋巴细胞浸润。
纤维增生型:纤维组织增生成束,伴慢性炎细胞浸润。
★2)龈增生( gingivalhyperplasia)
①病 因
主要由全身性因素引起。
②临床表现
多与青春期、女性经期、妊娠或药物使用等过程密切相关,可逐渐恢复、消退或逆转。
常表现为龈乳头增大(图10.1-3)。

图10.1-3 龈增生
③病理改变(图10.1-4)
主要为纤维结缔组织增生,增大的胶原纤维似瘢痕组织。一般炎症不明显。合并菌斑感染时,则与慢性龈炎并存,出现炎症改变。

图10.1-4 龈增生(光镜下)
3)维生素C缺乏性龈炎( vitamin C deficient gingivitis)
①病 因
维生素C缺乏引起。
②临床表现
牙龈极易出血,色紫红,质松软,肿胀,增生。
③病理改变
牙龈组织水肿、出血为主要表现。结缔组织中陈旧出血灶周围大量含铁血黄素颗粒,并有淋巴细胞、浆细胞浸润。胶原纤维减少,水肿,毛细血管增生、扩张、充血及出血明显。
4)伴白血病性龈炎( gingivitis withleukemia)
①病 因
白血病引起。
②临床表现
各型白血病在口腔的表征。牙龈增大最为明显。
③病理改变
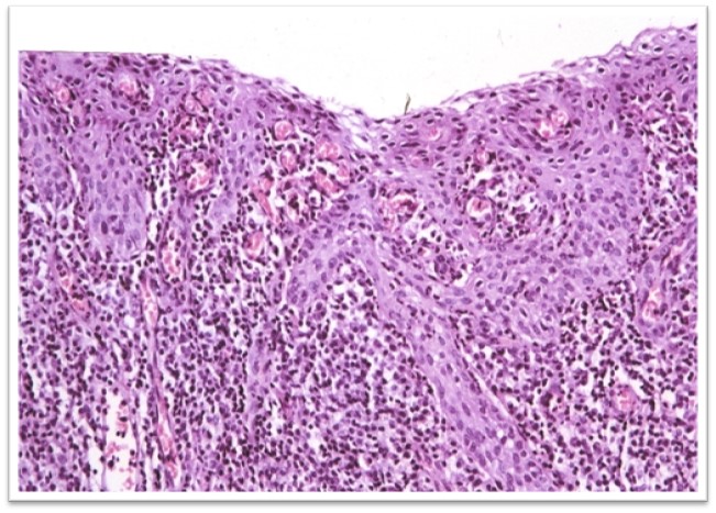
黏膜下层有大量不成熟的幼稚白细胞密集浸润(图10.1-5)。

图10.1-5 伴白血病性龈炎
二、非菌斑性牙龈病损
★1)急性坏死性溃疡性龈炎(acute necrotizingulcerative gingivitis)
①病 因
主要是梭形杆菌和奋森螺旋体
②临床表现
本病特征:龈缘及龈乳头坏死,呈蚕蚀状缺失(图10.1-6),覆盖灰白色假膜。腐败性口臭,极易出血,常突然发病,易复发,并发口炎,表现黏膜的假膜性溃疡。

图10.1-6 急性坏死性溃疡性龈炎
③病理变化
非特异性炎症变化。
病变最表层为细菌螺旋体;病变表面有假膜;结缔组织纤维水肿,内有大量中性粒细胞浸润。
2)遗传性牙龈纤维瘤病( hereditarygingival fibromatosis)
①病 因
常染色体显性遗传。
②临床表现
牙龈呈弥漫性增生(图10.1-7)。

图10.1-7 遗传性牙龈纤维瘤病
③病理变化
上皮下牙龈纤维过度增生,大部分胶原纤维由成熟、致密的胶原组成,细胞成分少见,似瘢痕组织;炎细胞少见或缺如;上皮一部分增厚,可见上皮钉突延长或形成上皮网(图10.1-8)。

图10.1-8 遗传性牙龈纤维瘤病(光镜下)
3)浆细胞龈炎( plasma cellgingivitis)
①病 因
过敏反应性疾患。
②临床表现
见于年轻女性。
病变部位红肿、光亮(图10.1-9),也可呈现小结节或颗粒肉芽肿状。

图10.1-9 浆细胞龈炎
③病理变化
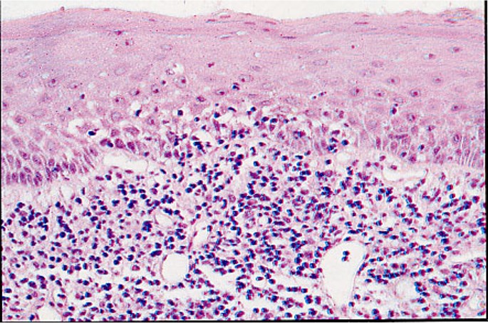
以浆细胞密集浸润为本病特征(图10.1-10)。
伴有少量淋巴细胞,可用以区别发生于牙龈的浆细胞肉芽肿。

图10.1-10 浆细胞龈炎(光镜下)
4)剥脱性龈病损( desquamative lesion of gingiva)
①病 因
多为其他疾患在牙龈的表征。
②临床表现
多为女性。
牙龈鲜红、光亮及上皮表层剥脱,未脱落形成灰白色假膜(图10.1-11)。创面对刺激敏感,自觉烧灼感、疼痛,病程长,可自行缓解。

图10.1-11 剥脱性龈病损
③病理变化
疱 型(图10.1-12):上皮与结缔组织间形成基底下疱,或在上皮内形成上皮内疱,结缔组织内有大量炎细胞浸润。

图10.1-12 剥脱性龈病损(疱型)
苔藓型(图10.1-13):上皮萎缩,棘层变薄,基底细胞水肿、液化,常见胶样小体,固有层内密集淋巴细胞浸润。

图10.1-13 剥脱性龈病损(上皮型)

