裂体吸虫
-
1 课件
-
2 教学微视频
-
3 视频动画
-
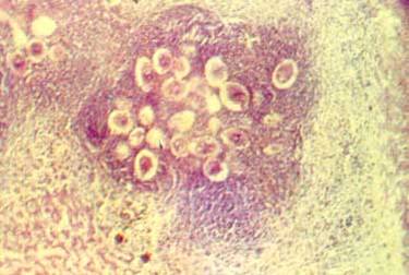
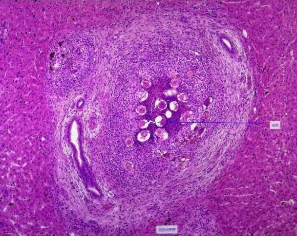
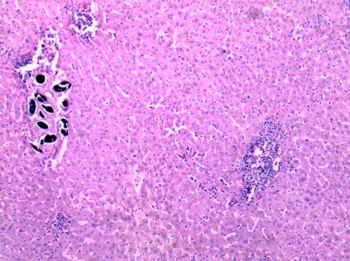
4 图片
-
5 案例讨论
-
6 课程思政
-
7 测试题
上一节
下一节













