-
1 理论内容
-
2 视频拓展
第二节 肿瘤的分化与异性型

肿瘤组织无论在细胞形态和组织结构上,都与其来源的正常组织有不同程度的差异,这种差异称为异型性(atypia)。肿瘤异型性的大小反映了肿瘤组织的成熟程度(分化程度)。分化(differentiation)在胚胎学中指幼稚或原始细胞发育成为成熟细胞的过程,在肿瘤学中则是指肿瘤细胞和组织与其来源的细胞和组织的相似程度。
异型性与分化程度关系: 异型性小者,说明肿瘤与其来源的正常细胞和组织相似,肿瘤组织(细胞)分化程度高;异型性大者,表示肿瘤组织(细胞)分化程度低。
意义:识别异型性大小是区别肿瘤性增生和非肿瘤性增生、诊断良恶性肿瘤以及判断恶性肿瘤的恶性程度高低的主要组织学依据。恶性肿瘤常具有明显的异型性。

正常肠粘膜
| 高分化肠腺瘤
| 低分化肠腺癌
|
一、肿瘤组织结构的异型性
肿瘤的组织结构异型性是指肿瘤组织在空间排列方式上(包括细胞的极向、排列的结构及其与间质的关系等方面)与其来源的正常组织的差异。由于良性肿瘤的细胞异型性不明显,一般与其来源的正常细胞相似,因此诊断良性肿瘤的主要依据是其组织结构的异型性。例如纤维瘤的瘤细胞和正常纤维细胞很相似,只是其排列与正常纤维组织不同,呈编织状而且致密。恶性肿瘤组织结构异型性明显,瘤细胞排列更为紊乱,失去正常的排列结构、层次或极向。例如从纤维组织发生的恶性肿瘤—纤维肉瘤,瘤细胞很多,且大小不等,胶原纤维很少,排列更紊乱,与正常纤维组织的结构相差较远;从腺上皮发生的恶性肿瘤—腺癌,其腺体的大小和形状十分不规则,排列也较乱,腺上皮细胞排列失去极向,紧密重叠或呈多层,并可有乳头状增生。

二、肿瘤细胞的异型性
良性肿瘤细胞的异型性小,一般与其来源的正常细胞相似。恶性肿瘤细胞具有高度的异型性,表现为:
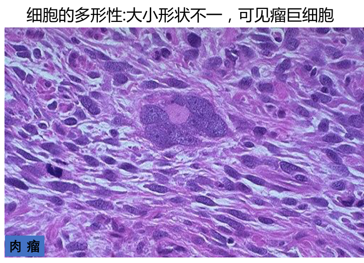
(一)肿瘤细胞的多形性
有的恶性肿瘤主要由未分化细胞构成,称为间变性肿瘤(anaplastic tumor)。间变指的是恶性肿瘤细胞缺乏分化的状态,异型性显著。间变的肿瘤细胞具有明显的多形性(pleomorphism),即瘤细胞彼此大小和形状上有很大变异。





