微生物学检验

李忠琴

目录

  • 1 第一章 微生物学及微生物学检验
    • 1.1 第一章 微生物及微生物学检验
    • 1.2 教学课件
    • 1.3 教学设计
    • 1.4 微课视频
    • 1.5 本章小结
    • 1.6 章节测验
    • 1.7 互动讨论
    • 1.8 实训项目一  微生物实验室操作要求与规范
      • 1.8.1 讨论及思考
    • 1.9 实训项目二 微生物实验室常用设备及使用
      • 1.9.1 工作准备
      • 1.9.2 讨论与思考
    • 1.10 实训项目三 微生物检验前期准备
      • 1.10.1 讨论与思考
  • 2 第二章 微生物感染与免疫
    • 2.1 第二章 微生物感染与免疫
    • 2.2 教学课件
    • 2.3 教学设计
    • 2.4 微课视频
    • 2.5 本章小结
    • 2.6 章节测验
    • 2.7 互动讨论
    • 2.8 实训项目四 微生物控制技术-物理法及化学法 细菌的分布和消毒灭菌
      • 2.8.1 工作准备
  • 3 第三章 实验室生物安全
    • 3.1 第三章 实验室生物安全
    • 3.2 教学课件
    • 3.3 教学设计
    • 3.4 微课视频
    • 3.5 本章小结
    • 3.6 章节测验
    • 3.7 互动讨论
  • 4 第四章 细菌的基本性状
    • 4.1 第四章 细菌的基本性状
    • 4.2 教学课件
    • 4.3 教学设计
    • 4.4 微课视频
    • 4.5 本章小结
    • 4.6 章节测验
    • 4.7 互动讨论
    • 4.8 实训项目
    • 4.9 实训项目五 细菌的形态学检查
      • 4.9.1 工作准备
      • 4.9.2 讨论与思考
  • 5 第五章 细菌基本检验技术
    • 5.1 第五章 细菌基本检验技术
      • 5.1.1 细菌的分离培养与接种技术
        • 5.1.1.1 细菌分区划线(图片)
      • 5.1.2 克氏双糖铁培养基试验(KIA试验)
      • 5.1.3 细菌生化鉴定编码
    • 5.2 教学课件
    • 5.3 教学设计
    • 5.4 微课视频
    • 5.5 本章小结
    • 5.6 章节测验
    • 5.7 互动讨论
    • 5.8 实训项目六 培养基制备技术-细菌基础培养基的制备
      • 5.8.1 工作准备
      • 5.8.2 讨论与思考
    • 5.9 实训项目七 细菌接种与培养技术-细菌的分离培养
      • 5.9.1 工作准备
      • 5.9.2 细菌分区划线(实验图片)
      • 5.9.3 讨论与思考
  • 6 第六章 细菌对抗菌药物敏感性与耐药性
    • 6.1 第六章 细菌对抗菌药物敏感性与耐药性
    • 6.2 教学课件
    • 6.3 教学设计
    • 6.4 微课视频
    • 6.5 本章小结
    • 6.6 章节测验
    • 6.7 互动讨论
    • 6.8 实训项目八 细菌的抗菌药物敏感试验
      • 6.8.1 工作准备
      • 6.8.2 讨论与思考
    • 6.9 实训项目八(拓展)细菌的药敏试验-试管稀释法
      • 6.9.1 工作准备
    • 6.10 实训项目八(拓展)超广谱β-内酰胺酶(ESBLs)表型初筛
      • 6.10.1 工作准备
    • 6.11 实训项目八(拓展)超广谱β-内酰胺酶(ESBLs)表型确证试验
      • 6.11.1 工作准备
  • 7 第七章 需氧和兼性厌氧性球菌鉴定
    • 7.1 第七章 需氧和兼性性球厌氧细菌鉴定
    • 7.2 教学课件
    • 7.3 教学设计
    • 7.4 微课视频
      • 7.4.1 葡萄球菌的微生物学检验微课
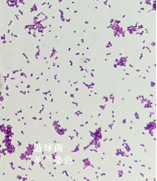
      • 7.4.2 链球菌的微生物学检验微课
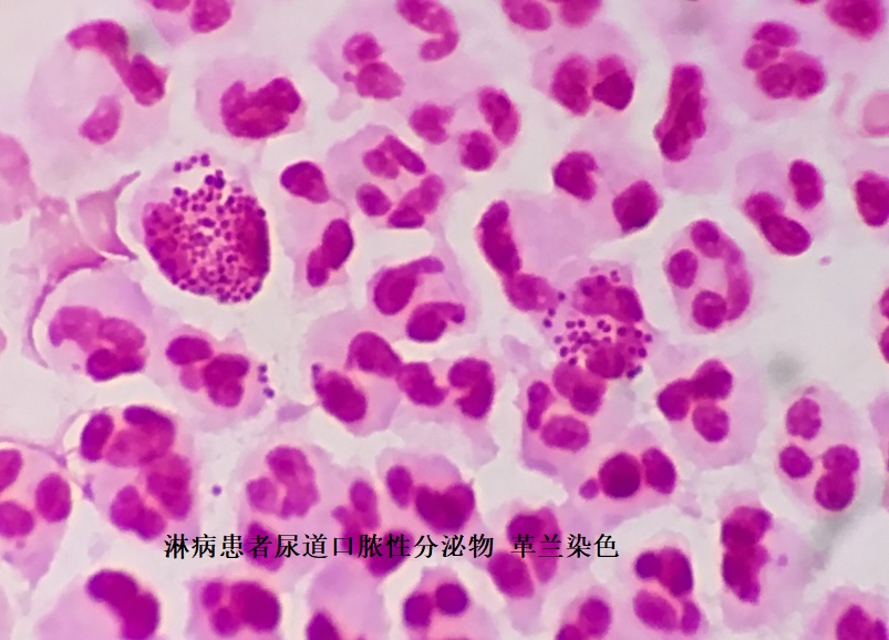
      • 7.4.3 奈瑟菌的微生物学检验微课
    • 7.5 本章小结
    • 7.6 章节测验
    • 7.7 互动讨论
    • 7.8 实训项目九 葡萄球菌的检验
      • 7.8.1 工作准备
    • 7.9 实训项目十 链球菌的检验
      • 7.9.1 工作准备
  • 8 第八章 革兰阴性需氧和兼性厌氧杆菌鉴定
    • 8.1 第八章 革兰阴性需氧和兼性厌氧杆菌鉴定
    • 8.2 教学课件
    • 8.3 教学设计
    • 8.4 微课视频
      • 8.4.1 埃希菌属的检验微课
      • 8.4.2 志贺菌属的检验微课
      • 8.4.3 沙门菌属的检验微课
      • 8.4.4 弧菌属的检验微课
      • 8.4.5 非发酵菌的检验微课
      • 8.4.6 苛养菌微课
    • 8.5 本章小结
    • 8.6 章节测验
    • 8.7 互动讨论
    • 8.8 实训项目十一 大肠埃希菌的检验
      • 8.8.1 工作准备
      • 8.8.2 实验报告
      • 8.8.3 讨论与思考
    • 8.9 实训项目十二 志贺菌的检验
      • 8.9.1 工作准备
    • 8.10 实训项目十三 沙门菌的检验
      • 8.10.1 工作准备
    • 8.11 实训项目十四 普通变形杆菌的检验
      • 8.11.1 工作准备
    • 8.12 实训项目十五 非发酵革兰阴性杆菌的检验
      • 8.12.1 工作准备
  • 9 第九章 革兰阳性需氧和兼性厌氧杆菌鉴定
    • 9.1 第九章 革兰阳性需氧和兼性厌氧杆菌鉴定
    • 9.2 教学课件
    • 9.3 教学设计
    • 9.4 本章小结
    • 9.5 章节测验
    • 9.6 互动讨论
  • 10 第十章 分枝杆菌属、诺卡菌属、放线菌属鉴定
    • 10.1 第十章 分枝杆菌属、诺卡菌属、放线菌属鉴定
    • 10.2 教学课件
    • 10.3 教学设计
    • 10.4 微课视频
    • 10.5 本章小结
    • 10.6 章节测验
    • 10.7 互动讨论
    • 10.8 实训项目十六 结核分枝杆菌的检验-细菌的抗酸染色
      • 10.8.1 工作准备
  • 11 第十一章 厌氧菌鉴定
    • 11.1 第十一章 厌氧菌鉴定
    • 11.2 教学课件
    • 11.3 教学设计
    • 11.4 微课视频
    • 11.5 本章小结
    • 11.6 章节测验
    • 11.7 互动讨论
  • 12 第十二章 螺旋体、支原体、衣原体、立克次体鉴定
    • 12.1 第十二章 螺旋体、支原体、衣原体、立克次体鉴定
    • 12.2 教学课件
    • 12.3 教学设计
    • 12.4 微课视频
    • 12.5 本章小结
    • 12.6 章节测验
    • 12.7 互动讨论
  • 13 第十三章 真菌概述
    • 13.1 第十三章 真菌概述
    • 13.2 教学课件
    • 13.3 教学设计
    • 13.4 微课视频
    • 13.5 本章小结
    • 13.6 章节测验
    • 13.7 互动讨论
    • 13.8 实训项目
  • 14 第十四章 真菌检验技术
    • 14.1 第十四章 真菌检验技术
    • 14.2 教学课件
    • 14.3 教学设计
    • 14.4 本章小结
    • 14.5 章节测验
    • 14.6 互动讨论
    • 14.7 实训项目
  • 15 第十五章 常见病原性真菌鉴定
    • 15.1 第十五章 常见病原性真菌鉴定
    • 15.2 教学课件
    • 15.3 教学设计
    • 15.4 微课视频
    • 15.5 本章小结
    • 15.6 章节测验
    • 15.7 互动讨论
    • 15.8 实训项目十八 白假丝酵母菌的检验
      • 15.8.1 工作准备
  • 16 第十六章 病毒的基本性状
    • 16.1 第十六章 病毒的基本性状
    • 16.2 教学课件
    • 16.3 教学设计
    • 16.4 本章小结
    • 16.5 章节测验
    • 16.6 互动讨论
  • 17 第十七章 病毒检验技术
    • 17.1 第十七章 病毒检验技术
    • 17.2 教学课件
    • 17.3 教学设计
    • 17.4 微课视频
      • 17.4.1 呼吸道病毒检验微课
      • 17.4.2 肝炎病毒检验微课
      • 17.4.3 逆转录病毒检验微课
    • 17.5 本章小结
    • 17.6 章节测验
    • 17.7 互动讨论
    • 17.8 实训项目十九 虚拟仿真平台:新型冠状病毒核酸检测
  • 18 第十八章 常见病毒鉴定
    • 18.1 第十八章 常见病毒鉴定
    • 18.2 教学课件
    • 18.3 教学设计
    • 18.4 微课视频
    • 18.5 本章小结
    • 18.6 章节测验
    • 18.7 互动讨论
  • 19 第十九章 临床常见标本的细菌学检验
    • 19.1 第十九章 临床常见标本的细菌学检验
    • 19.2 教学课件
    • 19.3 教学设计
    • 19.4 微课视频
    • 19.5 本章小结
    • 19.6 章节测验
    • 19.7 互动讨论
    • 19.8 实训项目二十 粪便标本的正常菌群检验
      • 19.8.1 工作准备
  • 20 第二十章 微生物检验的质量控制
    • 20.1 第二十章 微生物检验的质量控制
    • 20.2 教学课件
    • 20.3 教学设计
    • 20.4 本章小结
    • 20.5 章节测验
    • 20.6 互动讨论
    • 20.7 实训项目
第七章 需氧和兼性性球厌氧细菌鉴定
  • 1 教学PPT
  • 2 本章复习PPT
  • 3 教学图片
  • 4 教学案例
  • 5 本章小结
  • 6 自测试题