临床表现
上一节
下一节

★临床表现★(重点)
1. 临床分期: 分四期

2. 临床表现以骨骼病变为主,不同年龄骨骼病变不同。

3. 典型血生化改变
血清25-(OH)D显著下降
PTH显著升高
血钙稍低
血磷显著降低
碱性磷酸酶显著升高
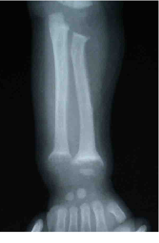
4. 典型腕关节X片检查
长骨钙化带消失;干骺端呈毛刷样、杯口状改变;骨骺软骨盘增宽(>2mm);骨质稀疏,骨皮质变薄。


