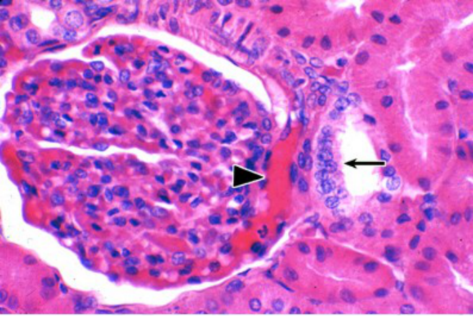
15.3.3 球旁复合体
-
1 内容
-
2 测验
上一节
下一节

● 球旁细胞→→肾素
(血管紧张素原→血管紧张素→血管紧张素Ⅱ)
血管平滑肌收缩、促进醛固酮的分泌→→血压升高

● 致密斑 macula densa
是一种离子感受器,能敏锐
地感受远端小管内钠离子浓度的变化

