16.3.1 睾丸
-
1 内容
-
2 测验
上一节
下一节

人睾丸:

0
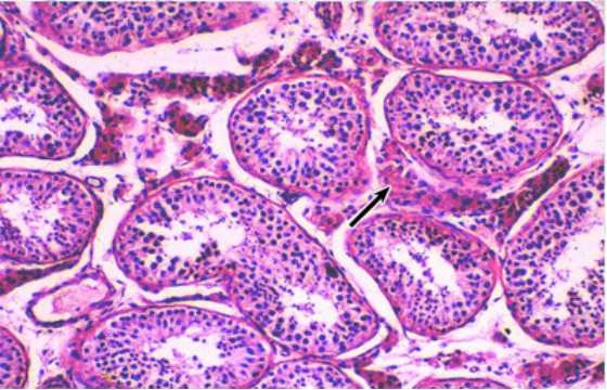
(一)生精小管

1. 生精细胞:
精原细胞、初级精母细胞、次级精母细胞、精子细胞和精子。



生精小管和睾丸间质模式图
生精小管扫描电镜图:


生精小管和睾丸间质光镜图: 精子(人精液涂片)





精子头部演变电镜图: 精子头、颈段和中段电镜图:



● 精子发生 spermatogenesis :从精原细胞到形成精子的过程。
● 精子形成 spermiogenesis :精子细胞不再分裂,经过复杂的变态,由圆形逐渐变为蝌蚪状的精子,这一过程称精子形成。
● 精子发生须在低于体温2-3℃的环境。
● 畸形精子:双头或双核、大头、小头、无尾、双尾、无顶体或小顶体、线粒体鞘异常;可占20%-40%;感染、创伤、辐射、激素失调可增加畸形精子数量。

2.支持细胞:
● LM:大,从生精小管基底直达腔面;
细胞轮廓不清,核三角或不规则形,
染色浅,核仁明显。
● EM:各种细胞器丰富,
有大量滑面内质网、溶酶体、糖原和脂滴;
基部侧面有紧密连接。
支持细胞的功能:
● 支持、营养生精细胞 ● 分泌雄激素结合蛋白和抑制素
● 产生睾丸液 ● 吞噬精子细胞的残余胞质
● 参与血-睾屏障构成
血-睾屏障(blood-testis barrier)
组成:
①血管内皮及基膜
②结缔组织
③生精上皮基膜
④支持细胞的紧密连接
功能:

①防止某些物质进入生精小管,维持精子发育微环境。
②防止精子抗原外逸,引发自身免疫。
(二)睾丸间质
睾丸间质细胞
雄激素
直精小管、睾丸网模式图


