13.3.3 肝
-
1 内容
-
2 测验
上一节
下一节



肝(左猪肝、右人肝)



肝小叶
中央静脉:
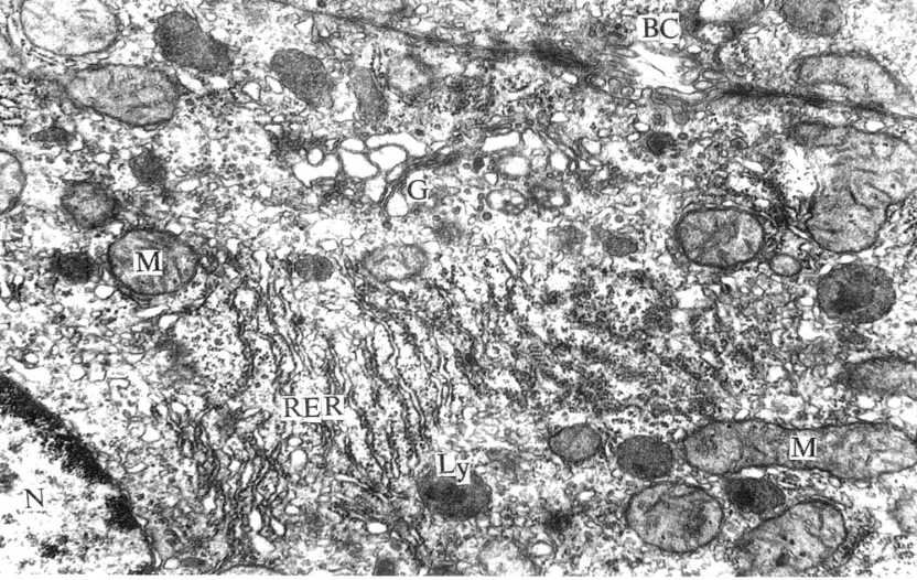
肝索 hepatic cord


● LM:多面体形;核大而圆,居中,常染色质丰富,部分有双核或多倍体核;
胞质嗜酸性,含弥散分布的嗜碱性团块。
●细胞器发达
1.粗面内质网:
合成白蛋白、纤维蛋白原、凝血酶原、脂蛋白和补体等血浆蛋白。
2.滑面内质网:
参与生物转化和代谢,如胆汁合成、脂类代谢、糖代谢、激素代谢和有机异物的转化。
3.高尔基复合体:参与蛋白质加工和胆汁排泌。
4.线粒体、溶酶体和过氧化物酶体丰富。
5.含糖原、脂滴、色素等内涵物。
6.肝细胞的功能面:血窦面、胆小管面、肝细胞连接面


肝血窦 hepatic sinusoid
肝巨噬细胞 hepatic macrophage(库普弗细胞 Kupffer cell):




肝血管(兔肝 门静脉墨汁灌注):

窦周隙(perisinusoidal space)
贮脂细胞(fat-storing cell):



胆小管(bile canaliculi)


门管区 portal area


肝血液通路(从肝小叶周边流向中央):
门静脉→→小叶间静脉
肝动脉→→小叶间动脉
↓ ↓
中央静脉←肝血窦
↓
肝静脉←小叶下静脉
肝内胆汁排出途径(从肝小叶中央流向周边):
胆小管→赫令管→小叶间胆管→左、右肝管→肝总管、
胆囊管→胆囊贮存→胆囊管、胆总管→十二指肠

