14.3.2 肺
-
1 内容
-
2 测验
上一节
下一节

● 从叶支气管至终末细支气管为肺的导气部。包括叶支气管、段支气管、小支气管、细支气管和终末细支气管。
● 呼吸性细支气管以下的分支称为肺的呼吸部。包括呼吸性细支气管、肺泡管、肺泡囊及肺泡。
肺小叶:每个细支气管连同它的分支和肺 泡,组成一个肺小叶。


(一)肺导气部

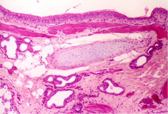
小支气管:可见软骨片

小支气管光镜像:


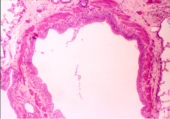
细支气管光镜像:


终末细支气管光镜像:


克拉拉细胞(Clara cell):柱状,有分泌颗粒,分泌糖蛋白,于管壁形成保护膜。

克拉拉细胞:

呼吸性细支气管:管壁是不连续的:


肺泡管(alveolar duct) :可见结节状膨大(隔膨大)
肺泡囊(alveolar sac) :无结节状膨大(隔膨大)
肺 泡(pulmonary alveoli)
1. 肺泡上皮 Ⅰ型肺泡细胞:参与气体交换Ⅱ型肺泡细胞:合成和分泌表面活性物质
2. 肺泡隔 结缔组织毛细血管、弹性纤维、肺泡巨噬细胞(尘细胞)
3. 肺泡孔
4. 气-血屏障 肺泡表面活性物质层;Ⅰ型肺泡细胞;融合了的肺泡上皮基膜和毛细血管内皮基膜;毛细血管内皮。

● 肺泡上皮
● 肺泡隔
● 肺泡孔
● 气-血屏障
肺泡光镜像:


1.肺泡上皮
●Ⅰ型肺泡细胞(type Ⅰalveolar cell)
●Ⅱ型肺泡细胞(type Ⅱalveolar cell)
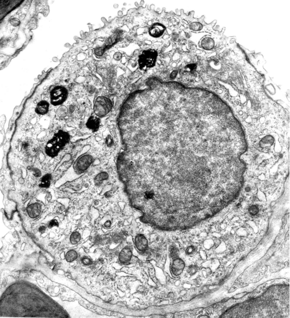
Ⅱ型肺泡细胞超微结构模式图:

Ⅱ型肺泡细胞和板层小体电镜图: 板层小体:


2.肺泡隔(alveolar septum)
毛细血管、弹性纤维、肺巨噬细胞(尘细胞)dust cell
肺内毛细血管光镜图 (卡红明胶注射) 肺内弹性纤维光镜图(龙胆紫与偶氮卡红染色)


肺巨噬细胞电镜图(左:不吸烟者 右:吸烟者)


