12.3.3 小肠
-
1 内容
-
2 测验
上一节
下一节
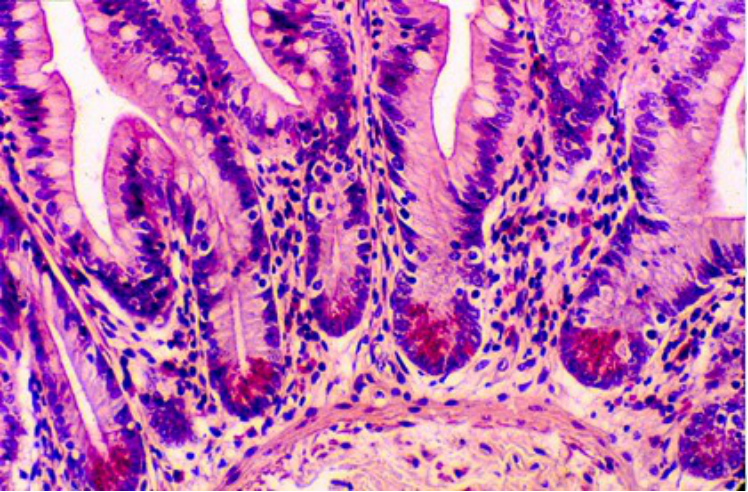
小肠
1.粘膜
1.上皮:单柱 吸收细胞
2.固有层:大量小肠腺
(small intestinal gland)
3.黏膜肌层
2.黏膜下层
十二指肠腺(分泌碱性黏液)
3.肌层
内环、外纵平滑肌
4.外膜
部分十二指肠-纤维膜其余-浆膜
小肠表面积的三级放大


小肠绒毛与肠腺模式图:

上 皮
(一)小肠上皮细胞组成
●吸收细胞
●杯状细胞
● 内分泌细胞
1.吸收细胞(absorptive cell)
LM:高柱状,游离面有纹状缘
EM:①游离面:微绒毛——使细胞游离面扩大30倍;细胞衣——含双糖酶、肽酶、胰蛋白
酶、胰淀粉酶等,是消化吸收的部位。
② 侧 面:紧密连接阻止肠腔内的物质由细胞间隙进入组织
③胞 质:丰富的滑面内质网和GC。


2.杯状细胞(goblet cell)
分泌黏液;从十二指肠至回肠,逐渐增加。
3.内分泌细胞
I 细胞:胆囊收缩素-促胰酶素
S 细胞:促胰液素
(二)小肠腺的细胞组成
● 杯 吸收细胞
● 杯 杯状细胞
● 杯内分泌细胞
● 杯潘氏细胞
● 杯干细胞
1.帕内特细胞(Paneth cell):
小肠腺特有,锥形,
含粗大的嗜酸性颗粒,
分泌防御素和溶菌酶。
2.干细胞
位于小肠腺下半部,小,柱状;增殖分化,更新上皮细胞。
固有层
● 小肠腺
● 中央乳糜管(central lacteal):腔大,内皮间隙宽,无基膜,通透性大,运输乳糜微粒。
● 有孔毛细血管:水溶性物质经此入血。
● 淋巴小结:十二指肠、空肠为孤立淋巴小结;回肠为集合淋巴小结。



十二指肠(人):


空肠(人):


回肠:


