13.3.1 大唾液腺
-
1 内容
-
2 测验
上一节
下一节



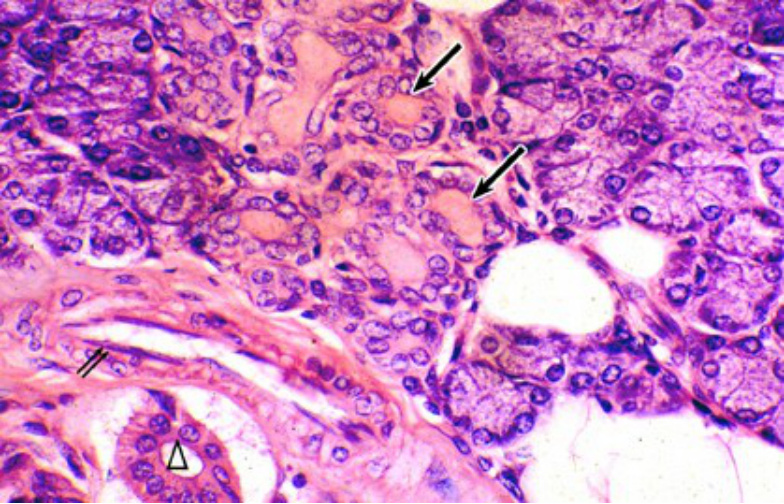
闰管和纹状管(人下颌下腺):


腮腺(人): 下颌下腺(人):


舌下腺(人):

目录



闰管和纹状管(人下颌下腺):


腮腺(人): 下颌下腺(人):


舌下腺(人):
