9.3.1 胸腺
-
1 内容
-
2 测验
上一节
下一节

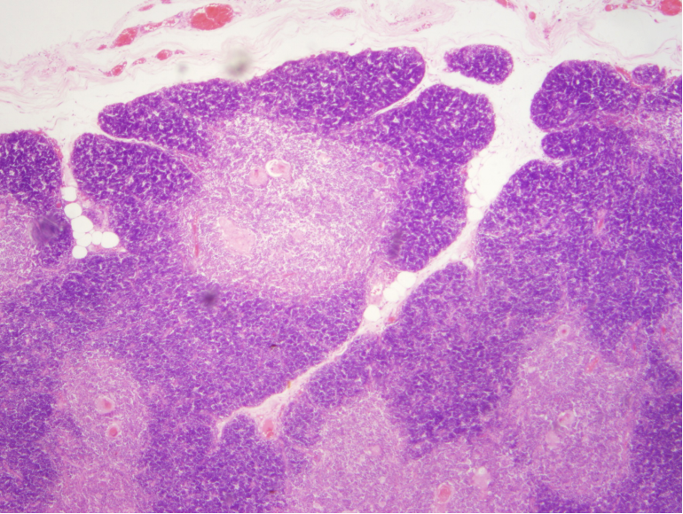
胸腺光镜像:

胸腺的年龄变化(左侧:青少年;右侧:老年):

胸腺内的细胞分布模式图:

胸腺皮质电镜像:

血-胸腺屏障:
1.定义:胸腺皮质部阻挡血液中的大分子物质进入胸腺的结构。
2.组成:①连续毛细血管内皮及内皮间的紧密连接;②内皮的基膜;③血管周隙,内含巨噬细胞;④上皮基膜;⑤一层连续的胸腺上皮细胞。
3.功能:血液内的一般抗原性物质和药物不易通过此屏障,对维持胸腺内环境的稳定、保证胸腺细胞的正常发育起着极其重要的作用。
血-胸腺屏障结构模式图: 胸腺小体光镜像: 

胸腺功能
是形成初始T细胞的场所。

