4.3.4 嗜酸性粒细胞
-
1 内容
-
2 测验
上一节
下一节
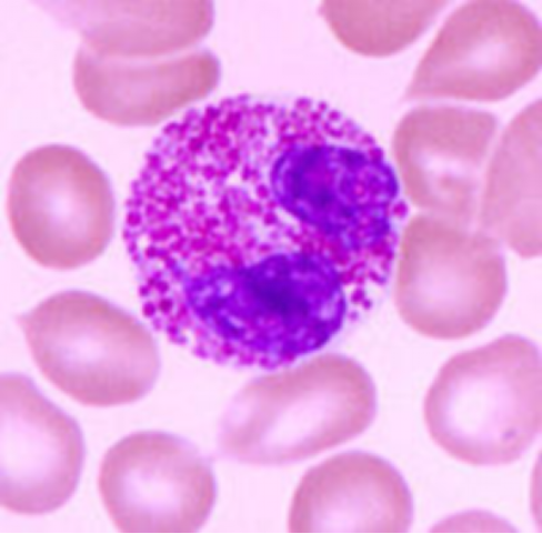
形态
● 细胞呈球形,直径 10-15μm。
● 核多为2叶。
● 胞质内充满粗大、均匀、略带折光性的嗜酸性颗粒,染成桔红色。
嗜酸性粒细胞光镜像(Wright-Giemsa,10×40):

嗜酸性粒细胞透射电镜像:

功能
嗜酸性颗粒(即溶酶体)中含有溶酶体酶、组胺酶、芳基硫酸酯酶、阳离子蛋白。
溶酶体酶具有杀菌作用;组胺酶和芳基硫酸酯酶能抑制过敏反应;阳离子蛋白对寄生虫具有很强的杀灭作用。

