7.3.1 神经元
-
1 内容
-
2 测验
上一节
下一节

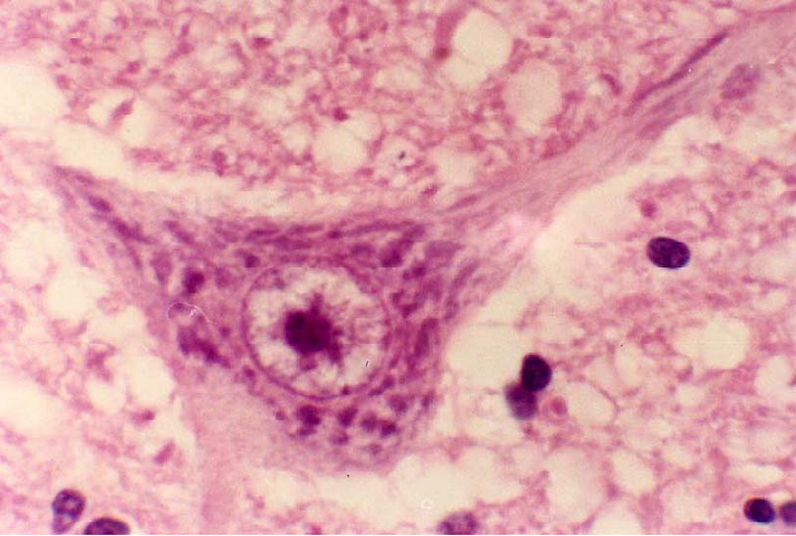
脊髓运动神经元光镜像:

尼氏体
● 光镜结构:强嗜碱性,粗块状或小颗粒状。
● 超微结构:RER和游离核糖体。
● 功能:合成复制细胞器所需的结构蛋白、合成神经递质所需的酶类、神经调质。
尼氏体透射电镜像:

神经原纤维
● 光镜结构:在镀银染色切片中,呈棕黑色细丝,交错排列成网,并伸入树突和轴突。
● 超微结构:由神经丝、微管和微丝构成。
● 功能:构成神经元的细胞骨架,微管还参与物质运输。
神经原纤维光镜像:

树突横切面电镜像:

神经元光镜像:

神经元结构模式图:

运动神经元结构模式图:


