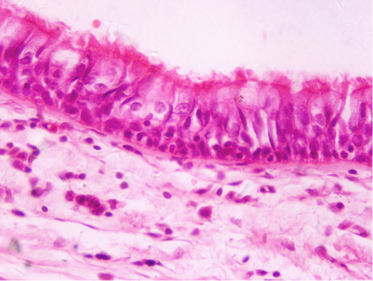
2.3.4 假复层纤毛柱状上皮
-
1 内容
-
2 测验
上一节
下一节
组成
● 柱状细胞:游离面有纤毛
● 锥形细胞:基细胞
● 杯状细胞:腺细胞
● 梭形细胞
气管壁(HE,10×40)
假复层纤毛柱状上皮模式图:

纤毛节律性定向摆动:

分布
呼吸道管壁。
功能
保护、分泌。

