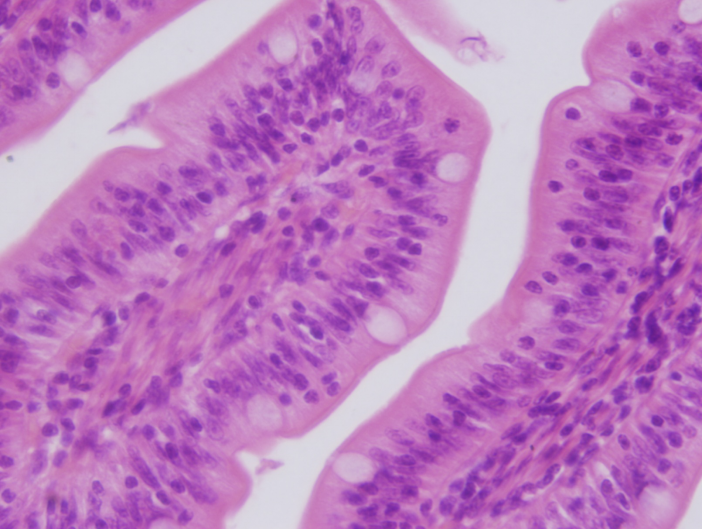
2.3.3 单层柱状上皮
-
1 内容
-
2 测验
上一节
下一节
形态
●表面观:细胞呈六角形
●垂直观:细胞呈柱状,核长圆形,靠近基底部。

单层柱状上皮模式图

小肠绒毛(HE,10×40)
分布
胃、肠、子宫等。
功能
吸收、分泌。

