疟原虫是疟疾的病原体。寄生于人体疟原虫有4种:间日疟原虫(Plasmodium vivax)、恶性疟原虫(P.falciparum)、三日疟原虫(P.malariae)和卵形疟原虫(P.ovale)。在我国流行的主要为前二种疟原虫。
生活史图解:
临床表现:
(1)潜伏期:为疟原虫子孢子侵入人体后到出现疟疾发作前,这段时间称潜伏期,包括疟原虫的红细胞外期发育时间和红内期的几次裂体增殖所需时间。间日疟原虫因速发型和迟发型子孢子在肝细胞内发育时间不同,故有短潜伏期和长潜伏期。
(2)疟疾发作:典型的疟疾发作表现为周期性寒战、发热和出汗三个连续阶段。发作周期与疟原虫红内期裂体增殖周期一致。疟疾发作的先决条件取决于血液中疟原虫数量,当其达到了引起发作的最低密度时,即发热阈值时才引起发作。发作的原因是被寄生红细胞破裂,释放出的裂殖子及疟原虫代谢产物(疟色素除外)和变性的血红蛋白及红细胞碎片进入血液,通过激活巨噬细胞产生内源性致热原质,作用于下丘脑的体温调节中枢引起的。
(3)疟疾的再燃与复发:前者与患者血液内有少量残存的红内期疟原虫及其抗原变异有关;复发与疟原虫虫株的遗传特性有关,如间日疟原虫的迟发型子孢子在肝细胞内形成的休眠子,与复发有关。
(4)贫血:疟疾发作几次后,患者可出现贫血症状,贫血原因有:
①疟原虫直接破坏被寄生的红细胞。
②脾功能亢进,巨噬细胞增生,吞噬能力增强,吞噬受染和正常的红细胞。
③骨髓中红细胞生成障碍。
④免疫病理损害,或因疟原虫的抗原抗体复合物在补体参与下而破坏红细胞;或因受染红细胞隐蔽的抗原暴露,产生自身抗体而破坏红细胞。
(5)脾肿大:因脾充血以及单核吞噬细胞(巨噬细胞)吞噬疟原虫和疟色素而增生。
(6)凶险型疟疾:常见于恶性疟,偶见于间日疟。多表现脑型疟疾。脑型疟疾也是一种免疫病理性疾病,是患恶性疟的儿童或无免疫力成人的主要死亡原因。
(7)疟疾肾病与黑尿病:前者多见于长期发作三日疟患者,可发生肾病综合征;后者主要见于恶性疟患者。
(8)其他类型疟疾:如先天性疟疾、婴幼儿疟疾、妊娠期疟疾和输血疟疾等,应了解这些疟疾的特点和危害性。输血疟疾系由输血传染红内期疟原虫引起的。主要发生于受血者,但也见于单浆还输血细胞的输血者。后者因在采血、血浆离心和血细胞还输的操作过程交叉污染而感染疟疾。
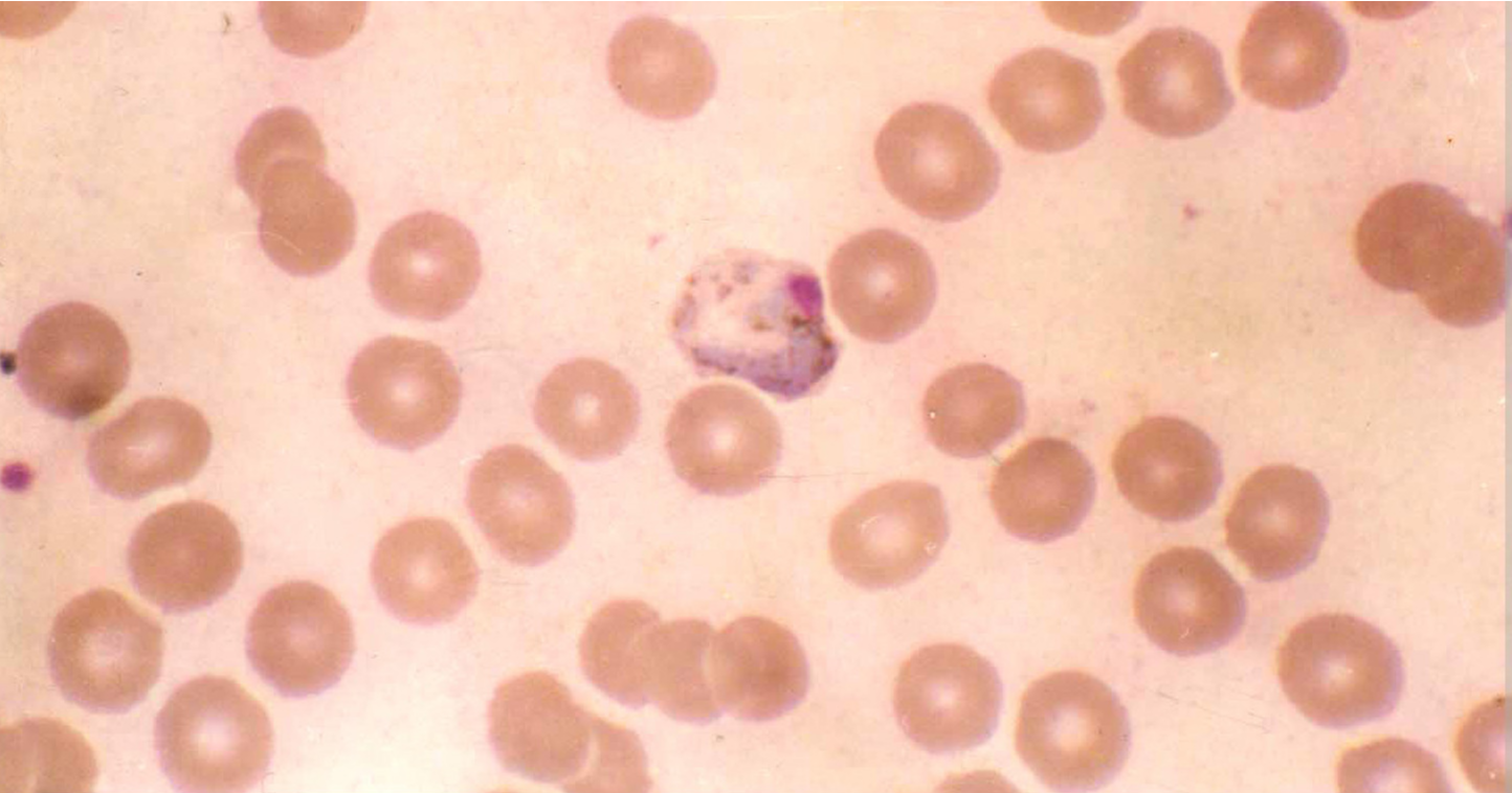
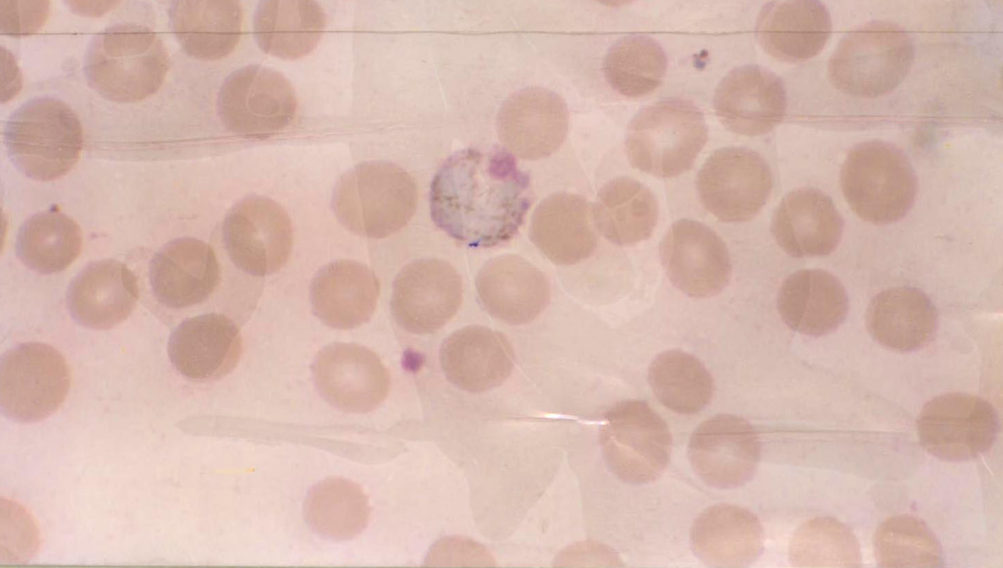
形态特点:
环状体:胞质呈环状,约占红细胞直径的1/3;有1个核。
晚期滋养体:胞质增多,形状不规则,可伸出伪足,常含空泡;核1个;疟色素分散在胞质内。
未成熟裂殖体:核开始分裂;胞质未分裂;疟色素开始集中。
成熟裂殖体:核分裂为12~24个,胞质随之分裂并形成裂殖子,疟色素集中。
雌配子体:虫体占满胀大的红细胞,常呈圆形,胞质深蓝色;核小,深红色,位于虫体一侧;疟色素多而分散。
雄配子体:形状与疟色素分布同雌配子体;胞质浅蓝色略带粉红色;核大,淡红色,位于虫体中央。
被寄生的红细胞,从晚期滋养体之后,即开始胀大,色变淡,且出现红色薛氏小点。
间日疟原虫环状体图片:
间日疟原虫滋养体图片:
间日疟原虫配子体图片:
间日疟原虫裂殖体图片:

