https://tv.sohu.com/v/cGwvOTEzOTgxOS84NDIxMzk3Mi5zaHRtbA==.html
第二章 服装用纤维原料
教学目标:
1、了解服装用纤维分类
2、掌握各类常见纤维的主要性能特征
教学重点:
常见棉、毛、丝、麻、粘胶、涤纶纤维的主要性能特征
教学难点:
棉、毛纤维
教学方式:
讲授、实物演示
教学课时:
6课时
教学过程:
纤维是服装材料中用量最多的基本原料,从宏观的角度看,纤维是服装材料的最基本的原料,纤维的性能和外观将直接影响服装的服用性能、保管性能和加工性能。了解和掌握纤维的基本性能,对选择服装材料、服装设计、服装加工和服装的洗涤保管都有很重要的指导作用。
第一节 纤维分类及其外部形态结构
一、纤维的概述--认识生活中的纤维
纤维:直径数微米到数十微米或略粗些,长度比直径大许多倍(上千倍甚至更多)的物体。
纺织纤维:长度达到数十毫米以上,具有一定的强度、一定的可挠曲性和互相纠缠报合性能和其他服用性能而可以生产纺织制品(如纱线、绳带、机织物、针织物)的纤维。


棉纤维(天然短纤维)

棉纤维通过纺纱工艺生产出来的棉纱线


木棉纤维(天然短纤维)






木棉纤维和木棉籽(天然短纤维)

亚麻纤维(天然短纤维)





苎麻纤维(天然短纤维)


苎麻织物

羊毛纤维(天然短纤维)


一头成羊一次可生产10-20公斤的羊毛


墨尔本美丽诺羊毛长在10CM左右
国际羊毛标志



进口高档纯羊毛面料


羊毛大衣
纺织纤维有两种形态:(1)短纤维(2)长丝纤维
天然纤维中棉纤维、麻纤维、毛纤维是短纤维,只有蚕丝是长丝纤维。
化学纤维是人工制造的,任何化学纤维都可以制造出短纤维和长丝纤维。
蚕茧蚕丝 抽丝纺织 丝绸生产 视频
https://new-play.tudou.com/v/XNjQzMDI4MTQ4.html?recoid=&itemid=


蚕丝长丝被子

合成纤维芳纶1414长丝纤维的生产

合成纤维芳纶1414长丝布

纤维原料----纱线----织物----服装

成为纺织纤维的条件:
1.具有一定的长度和长度整齐度
2.具有一定的细度和细度均匀度
3.具有一定的力学性能
4.具有一定的抱合力
5.具有一定的吸湿性和染色性
6.具有一定的化学稳定性
纤维是一种细而长的物质,它的直径从几微米到十几微米,长度则从几毫米到几十毫米甚至上千米,长度与细度之比很大。如此说来,自然界中的纤维品类是很多的,例如,人体就需要摄入富含纤维的蔬菜。我们在择菜的时候,可以看到所谓的纤维,例如豆角或芹菜都可以从边缘处撕下长长的筋状物。另外还有毛发、肌肉纤维等。显然这些纤维是不能用来纺纱织布的,只有满足一定要求的纤维才能称为纺织纤维。这些要求,可以概括为如下几点。
1.具有一定的长度和长度整齐度
制成纱线的核心工序之一是牵伸,牵伸是发生在两对罗拉之间的,罗拉之间的距离叫隔距,不难理解,如果纤维长度过短,罗拉的隔距就非常小,无法完成牵伸工作;同样的道理,如果一束纤维中纤维的长度差异过大(即长度整齐度差),罗拉的隔距很难与纤维长度匹配,在纺纱过程中就容易形成纺纱不匀,造成粗细节、纤维滑脱等现象,使成纱强力降低,毛羽增多,最终导致织物服用性能变差。
一般说来,在一定的设备条件下,短纤维的长度越长,长度差异越小,纺出的纱线质量就会越好,在纺细特纱时,纤维长度尤其重要,因此纤维长度及其整齐度是衡量原料品质的重要指标之一。
2.具有一定的细度和细度均匀度
纤维细度主要影响纱线断面的纤维根数。纱条在牵伸成纱时,纤维越细,纱线断面纤维根数的变化就越不明显,则纱线的均匀度越好。纱线细度不匀会影响织物的细腻光滑感,所以纤维的细度和细度均匀度是成纱的必要条件之一。
3.具有一定的力学性能
力学性能包括强伸度、弹性、弯曲和扭转等性能,纤维在纺纱、织造过程中,要不断地受到各种外力的作用,织物为了满足加工和穿着需要,必须具备必要的力学性能,这些归根结底需要纤维具备一定的力学性能与之对应。
4.具有一定的抱合力
抱合力是纤维须条受到外力拉伸时产生于纤维之间的一种摩擦阻力。这种阻力对成纱是至关重要的,如果纤维间没有这种摩擦阻力,纱条在牵伸过程中纤维就会出现滑移脱开,无法成纱。例如,头发也可以看做是一种纤维,但是头发为什么不宜用来纺纱,原因之一就是头发不具备必要的抱合力。纺织纤维具有各种形态,如鳞片、转曲、弯曲、结节、棱槽等,这些使得纺织纤维具有了必要的抱合力。
5.具有一定的吸湿性和染色性
纺织纤维的吸湿性在加工过程和服用过程都是必要的,吸湿性好的材料不容易发生静电,穿着舒适,一般吸湿性好的材料也易于染色,好的染色性可使织物品种、花色更丰富。
6.具有一定的化学稳定性
织物在染整加工以及穿着过程中,会受到酸碱、光照以及各种化学物质或溶剂的作用、化学稳定性是指织物在一般的情况下具有抗拒这些介质的作用,化学稳定性好的材料不易发生化学变化,不易损伤。例如,纤维具有耐酸碱性、耐气候性、耐热性等。织物要能够正常被穿用,就必须具有一定的化学稳定性。
了解纤维
二、服装用纤维原料的分类
按照纤维的来源,服装用纤维原料的分类:用于服装材料的纤维种类繁多,一般按照纤维的来源将纤维分为天然纤维和化学纤维两大类
一)、天然纤维
(一)植物纤维(都是短纤维)
1.种子纤维:棉、木棉
2.韧皮纤维:苎麻、亚麻、黄麻、大麻等
3.叶纤维:剑麻、蕉麻等
(二)动物纤维
1.毛发类:羊毛、安哥拉山羊(马海毛)、山羊绒、羊驼毛、兔毛、骆驼毛等 (都是短纤维)
2.腺分泌物类:桑蚕丝、柞蚕丝等(都是长丝纤维纤维)
(三)矿物纤维(都是短纤维):石棉
二)、化学纤维(人为加工而成,可以加工成短纤维或长丝纤维)
(一)人造纤维(人为加工而成,可以加工成短纤维或长丝纤维)
1.人造纤维素纤维:指粘胶纤维、铜氨纤维、醋酯纤维、富强纤维等。
2.人造蛋白质纤维:指大豆纤维、花生纤维等。
3.人造无机纤维:指玻璃纤维、金属纤维、碳纤维等。
4.人造有机纤维:指甲壳素纤维、海藻纤维等
(二)合成纤维(人为加工而成,可以加工成短纤维或长丝纤维)
1.聚酯纤维:涤纶
2.聚酰胺纤维:锦纶纤维,俗称尼龙
3.聚丙烯腈纤维:腈纶纤维,也称奥纶、开司米纶等
4.聚乙烯醇纤维:维纶纤维,也称维尼纶、妙纶等。
5.聚氯乙烯纤维:氯纶纤维,也称天美纶。
6.聚丙烯纤维:丙纶纤维,也称帕纶。
7.聚氨酯纤维:氨纶纤维,也称弹性纤维、司潘德克斯纤维等。
(三)纺织纤维代号
常用纺织纤维代号如下表
| 纺织纤 维 | 棉 | 毛 | 丝 | 麻 | 涤 纶 | 腈 纶 | 维 伦 | 锦 纶 | 粘 胶 | 富 纤 |
| 代号 | C | W | S | Ra | T | A | V | P | R | F |
天然纤维:由自然界直接取得的纤维。棉、麻、毛为天然的短纤维,蚕丝为 天然的长丝纤维。
化学纤维:用天然的或合成的聚合物为原料,经过化学方法和机械加工制成的纤维。可以生产成短纤维或长丝纤维。
根据所用原料的不同,可分为人造纤维和合成纤维两大类;
人造纤维:采用天然聚合物为原料,经过化学方法与机械加工而再生制得的、与原聚合物在化学组成上基本相同的纤维。可以生产成短纤维或长丝纤维。
合成纤维:利用煤、石油、天然气、农副产品等制得的低分子化合物(单体)为原料,经人工合成与机械加工而制得的纤维。可以生产成短纤维或长丝纤维。
根据内部化学组成分类,可分为聚酯纤维、聚酰胺纤维、聚丙烯腈纤维、聚乙烯醇纤维、聚丙烯纤维、聚氯乙烯纤维等;
根据化学纤维的形态特征,可分为长丝和短纤维两大类;
长丝:化学纤维加工得到的连续丝条,不经过切断工序的称为长丝,又可分为单丝、复丝与变形丝。单丝中只有一根纤维;复丝中包括多根单丝,一般用于织造的长丝,大多为复丝;经过变形加工的化学纤维称为变形丝或弹力丝。
短纤维:化学纤维在纺丝加工中可以切断成各种长度规格的短纤维。
根据化学纤维的截面形态和结构,又可分为异形纤维和复合纤维。
异形纤维:用非圆形喷丝板加工的非圆形截面的纤维。
复合纤维:在化学纤维的横截面上具有两种或两种以上组分或成分的纤维。
了解纺织纤维可从两个方面入手:
一是外部形态结构,二是内部结构。
三、纺织纤维的外部形态结构
纤维形态结构:是指通过目视或显微镜观察所得到的纤维外在几何形貌,将该形貌抽象为具有某种特征的几何结构体用于表达纤维的形貌,即
为纤维的形态结构。
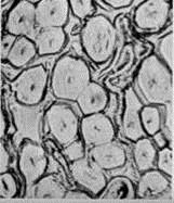
用肉眼观察时,所有的纤维都非常相似,然而在显微镜下观察时,却可以看到纤维的不同外形结构,如图2-2~图4-6所示,这些纤维的截面形状和结构各有特点:棉纤维的截面呈不规则腰圆形,并且有中腔,纵向带有转曲;而羊毛纤维的表面有鳞片,还有卷曲;天然丝纤维截面则呈三角形;麻纤维的纵向像竹子一样有结节;而图2-6是经过碱处理的涤纶中空纤维,表面有缝隙和孔洞。纤维这些极其微细的横截面形状和表面结构决定了纤维的体积、光泽和手感等性能,这些因素将直接影响织物的加工工艺性能和最终的服用性能。

图2-2 棉纤维的纵向、横截面形态

图2-3 毛纤维的纵向、横截面形态

图2-4 蚕丝纤维的纵向、横截面形态

图2-5 麻纤维的纵向、横截面形态
对纤维外部形态特征进行描述包括以下四个方面:
1.纤维截面的形状与结构
如圆形、腰圆形、三角形或其他不规则形状,中空结构、双侧结构、皮芯结构等。天然纤维的截面形状由其品种决定,化学纤维的截面形状由喷丝孔形状决定。


剑麻纤维的纵向、横截面形态



木棉纤维纵向、横截面



亚麻纤维的纵向、横截面形态
涤纶
1. 涤纶的来源 1946年涤纶首先再英国开发成功,商品名特丽纶。涤纶是我国的商品名,属聚酯系纤维。目前涤纶是世界上产量最大、应用最广的纤维。
2. 涤纶的形态结构 涤纶纵向平滑逛街,横截面一般为圆形。涤纶由短纤维和长丝两种形式。最初涤纶以短纤维为主,包括棉型、毛型和中长型,用于各种混纺或纯纺面料。常见的由棉涤、毛涤、麻涤、涤黏中长等产品。涤纶长丝可用于制成经编针织面料、仿真丝绸如柔姿纱、乔其纱、朱丽纹、佳丽丝等面料。低弹丝可制成蓬松柔软,透气性好,并具有毛型感的针织或机织面料。


涤纶的截面形态

涤纶的纵向形态
3. 涤纶的基本性能 涤纶具有搞的初始模量,面料挺括,不易起皱,保型性好,在加工使用过程中能保持原来形状,而且通过热定型可以使涤纶服装形成持久的褶裥。涤纶吸湿性差,标准回潮率为0.4%,不易染色,需采用特殊的染料、染色方法和设备。由于吸湿性差、导热性差,故穿着闷热,由不透气感,易积蓄静电,易吸灰。
涤纶强度高,延伸性、耐磨性好,产品结实耐用。其面料可机洗,缩水小并易洗快干。涤纶对一般化学实际较稳定,耐酸,但不耐浓碱长时间高温处理。涤纶经碱液处理后,表面容易被腐蚀,纤维变细,重量减轻,手感变好,光泽优雅,并具有真丝的风格,这种加工方法成为涤纶的碱减量处理,是涤纶仿丝绸的主要方法之一。涤纶耐热性币一般的化学纤维高,软化温度为230℃,熨烫温度为140 ~ 150℃,熨烫效果持久。涤纶耐光性仅次于腈纶,可以用于四季服装、室外工装、窗帘面料等。
锦纶
1. 锦纶的来源 1939年锦纶再美国开发成,最早的服装产品是尼龙袜。锦纶是聚酰胺系纤维,目前已由很多品种和用途,锦纶6和锦纶66是应用最广泛的两种锦纶。
2. 锦纶的形态结构 传统锦纶产品是纵向平直光滑,截面圆形,具有光泽的长丝。目前锦纶仍以长丝面料为主,普通锦纶长丝可用于针织面料和机织面料,高弹丝适宜作针织弹力面料。锦纶短纤维产量少,主要为毛型短纤维,可与羊毛或其他毛型化学纤维混纺,提高产品的强度和耐磨性。


锦纶的截面形态

锦纶的纵向形态
3. 锦纶的基本性能 今lung弹性好,回复性好,面料不易起皱。但纤维模量小,很小的拉什利就能使面料变形走样,银耳其保型性差,外观不够挺括。锦纶吸湿性较差,标准回潮率为4¥,易起静电,导热性差,穿着较为闷热。锦纶的相对密度较小,穿着轻便,适于做登山服。防水性和防风性的服装、宇航服、降落伞等。锦纶最突出的特性是耐磨性好,强度是常见纤维中最高的,其耐磨性是棉的10倍、羊毛的20倍,常用来做袜子、手套、针织运动衣等耐磨面料。锦纶面料可以机洗,并且易洗快干。锦纶在高温下易变黄,烘干温度过高会产生收缩和永久的折皱。锦纶耐光性差,阳光下易泛黄、强度降低。锦纶耐热性不如涤纶,熨烫温度为120 ~ 130℃。锦纶耐碱不耐酸,对氧化剂敏感,尤其是含氯氧化剂。锦纶对机萘类敏感,所以锦纶面料存放时不宜放卫生球(萘)。
腈纶
1. 腈纶的来源 1950年腈纶由美国杜邦公司开放成功,是由丙烯腈经过共聚所得到的聚丙烯腈。商品名由奥纶、阿克利纶、开司米纶。
2. 腈纶的形态结构 腈纶纵向为平滑柱状,有少许沟槽,截面为圆形或哑铃型,其内部存在空穴结构。腈纶以短纤维为主,其中大多数为毛型短纤维,用于纯纺或与羊毛及其他毛型短纤维混纺。主要产品有腈纶膨体纱、毛线、针织品、仿毛皮面料等。中长型腈纶常与涤纶混纺制成中长型面料。


腈纶的截面形态

腈纶的纵向形态
3. 腈纶的基本性能 腈纶柔软、蓬松、保暖。很多性能与羊毛相似,因此由“合成羊毛”之称 。与羊毛相比,腈纶具有质轻、价廉、染色鲜艳、耐晒、不霉不蛀、洗可穿性好等优点。其缺点是易起毛起球,这是降低腈纶美观性和舒适性的重要因素,使腈纶一直无法成为高级成衣面料,也无法取代羊毛在纺织面料中的地位。腈纶吸湿性差,标准回潮率为1.5% ~ 2%,易起静电,易吸灰。腈纶耐日光下和耐气候性突出,再纺织用纤维中最好,除用于服装外还适宜做帐篷、窗帘等面料。腈纶的强度不如涤纶等合成纤维,耐磨性和耐疲劳性也不是很好,是合成纤维中耐用性较差的一种。腈纶能耐弱酸碱,但使用强碱和含氯漂白剂时仍需小心。熨烫温度为130 ~ 140℃。
维纶
1. 维纶的来源 1950年维纶纤维再日本实现工业化生成,是以醋酸乙烯为原料制得的聚乙烯醇纤维。
2. 维纶的形态结构 维纶纵向平直,有1 ~ 2根沟槽,截面为腰圆形,有皮芯结构,皮层结构紧密,芯层结构疏松。产品主要为棉型短纤维,常与棉混纺,用于床上用品、军用迷彩服、工作服等。


维纶的截面形态
维纶的纵向形态
3. 维纶的基本性能 维纶的性能与棉相似,维纶面料的手感与外观像棉布,所以由“合成棉花”之称。吸湿性是常见合成纤维中最好的,再一般大气条件下回潮率为4.5% ~ 5%。维纶强度、伸长率、弹性较其他合成现为差,面料保型性差、易起皱。由于皮芯结构的存在,维纶染色性不如棉纤维和黏胶先问,颜色不鲜艳,且不易染得匀透。维纶耐化学药品性较强,耐日光性好,耐腐蚀性好,不霉不蛀。维纶耐干热性较好,接近涤纶,熨烫温度为120 ~ 140℃。维纶耐湿热性较差,因此洗涤时水温不宜过高,熨烫时不宜喷水和垫湿布。
丙纶
1. 丙纶的来源 1960年丙纶再意大利首先实现工业化生产,是由聚丙乙烯熔体纺丝制成的。由于丙纶价格低廉、性能优良,所以发展很快。
2. 丙纶的形态结构 丙纶纵向光滑平直,截面多数为圆形。主要由长丝和短纤维两种形式,丙纶长丝常用于仿丝绸、针织面料等面料。丙纶短纤维产量较少,且多为棉型短纤维,常用于地毯、非织造布等面料。


丙纶截面形态

丙纶的纵向形态
3. 丙纶的基本性能 丙纶具有蜡状的手感和光泽,染色困难,一般要用原液染色或改性后染色。丙纶强度搞,弹性好,耐磨性好,结实耐用,产品回复性好,挺括不易起皱,尺寸稳定,保型性好。丙纶密度小,仅为0.91g/c㎥,比水还轻,是纺织用纤维中最轻的。丙纶吸湿性差,回潮率为零,再使用和保养过程中易起静电和毛球。将丙纶制成超细纤维后,具有较强的芯吸作用,可以通过纤维中的毛细管道排除水气,达到透湿的目的,故面料的舒适性并不差。而且由于丙纶本身不吸湿,因此由丙纶潮汐纤维制成的内衣或尿不湿等产品,不仅能传递水分,同时保持人体皮肤干燥。丙纶耐热性差,100℃以上开始收缩,熨烫温度为90 ~ 100℃,熨烫时中间最好垫湿布或用蒸汽熨。丙纶耐光性和耐气候性差,对紫外线敏感,尤其在水和氧气的作用下容易老化,纤维易再使用、加工过程中失去光泽,强度、延伸度下降,以至纤维发黄变脆,因此对丙纶通常要进行防老化处理。丙纶化学稳定性好,酸碱对其无影响,能耐大多数化学试剂,因此可作渔网、工作服、包装袋等。
氯纶
1. 氯纶的来源 氯纶是由聚氯乙烯或占50%以上聚氯乙烯的共聚物经湿法纺丝或干法纺丝制得。氯纶在国外由天美纶、罗维尔等商品名,由于我国首先在云南研制成功,故又称滇纶。
2. 氯纶的形态结构 氯纶纵向平滑或有1 ~ 2根沟槽,截面接近圆形。

3. 氯纶的基本性能 氯纶吸湿性差,回潮率为零,染色困难,电绝缘性强,摩擦后易产生大量负电荷,用它制成的内衣等产品由电疗的作用,可对风湿性关节炎由辅助治疗作用。氯纶面料弹性较好,有一定延伸性,面料不易起皱。氯纶阻燃性好,是纺织用纤维中最不易燃烧的纤维,接近火焰收缩软化,离开火焰自动熄灭。氯纶的耐化学药品性好,能耐酸碱和一般的化学试剂,不容易浓硫酸,可用作花on广场的过滤布。氯纶的确定是耐热性差,70℃以上便会收缩,沸水中收缩率更大,故智能再30 ~ 40℃水中洗涤,不能熨烫,不能接近暖气、热水等热源。氯纶在工业上用途很广,如用于防毒面罩、绝缘布、仓库覆盖布等。在民用上主要易鬃丝和短纤维为主,鬃丝可以用来编制窗纱、筛网、绳索、网袋等,短纤维可用于制造内衣、装饰布等。
氨纶
1. 氨纶的来源 1945年氨纶由美国杜邦公司开发成功,商品名为莱卡,亦称斯潘德克斯,是一种高弹性纤维。
2. 氨纶的形态结构 氨纶多为白色不透明的消光型长丝。纵向表面暗深,由不清晰骨形条纹。横截面由于生产工艺的不同而呈现不同的形状,干纺氨纶的横截面为圆形、椭圆形和花生形;湿纺氨纶主要为粗大的叶形及不规则形状,并且各丝条之间的纵向形成不规则的黏结点,形成黏结复丝;熔纺氨纶主要为圆形截面的单丝或复丝。
3. 氨纶的基本性能 氨纶的最大特点是高弹性和高回复性。其断裂伸长率可达450% ~ 800%,伸长回复率可达90%,而且回弹时的回缩力小于拉伸力,因此穿着舒适,没有橡胶丝的压迫感,但与常见纤维相比,强度较低。氨纶的吸湿性差,在一般大气条件下回潮率为0.8% ~ 1%;氨纶具有较好的耐酸、耐碱、耐光等性质,但耐热性差。氨纶在产品中主要以包芯纱或与其他纤维合股的形式出现,而且只要用很少的氨纶就可把优良的弹性带到面料中,提高尺寸稳定性和保型性。目前氨纶广泛用于弹力面料、运动服、袜子等产品中。
图1各类纤维的纵横向形态
表1常见纤维纵横向形态
| 纤维 | 纵向形态特征 | 断面形态特征 |
| 棉 | 扁平带状,有天然转曲 | 腰圆形,有中腔 |
| 苎麻 | 有横节、竖纹 | 腰圆形,有中腔及裂缝 |
| 亚麻 | 有横节、竖纹 | 多角形,中腔较小 |
| 羊毛 | 表面有鳞片 | 圆形或接近圆形,有些有毛髓 |
| 兔毛 | 表面有鳞片 | 哑铃形 |
| 桑蚕丝 | 表面如树干状,粗细不匀 | 不规则的三角形或半椭圆形 |
| 柞蚕丝 | 表面如树干状,粗细不匀 | 相当扁平的三角形或半椭圆形 |
| 粘胶纤维 | 纵向有细沟槽 | 锯齿形,有皮芯结构 |
| 富强纤维 | 平滑 | 较少齿形或接近圆形 |
| 醋酯纤维 | 有1-2根沟槽 | 不规则的带状 |
| 维纶 | 有1-2根沟槽 | 腰圆形 |
| 腈纶 | 平滑或有1-2根沟槽 | 圆形或哑铃形 |
| 氯纶 | 平滑或有1-2根沟槽 | 接近圆形 |
| 涤纶、锦纶、丙纶 | 平滑 | 圆形 |
2.纤维的纵向形态
如纤维表面是否有转曲、卷曲、结节、棱槽等。要注意理解转曲和卷曲是不同的形态,转曲是指带状物在纵向上发生扭转,如棉纤维在生长过程中会形成“天然转曲”,而卷曲是指沿纤维纵向形成波浪状弯曲,如羊毛具有天然卷曲,化纤纤维的卷曲则是人工制造的。
3.纤维的表面状态
如羊毛的表面的鳞片,其他纤维表面的缝隙和孔洞等。
4.纤维的形态尺寸-长度、细度和卷曲度

墨尔本美丽诺羊毛纤维长在10CM(100mm)左右,有天然的卷曲度和很好的弹性

棉纤维的纤维长在2.8-4.5CM左右,有天然的卷曲度,纤维柔软
前面三项描述是定性描述,而纤维的形态尺寸是定量描述,通过定性描述可以把不同种类的纤维区分开,而定量描述,是判断纤维品质优劣和确定加工工艺参数的重要依据。纤维的形态尺寸包括长度、细度和卷曲度。
(1)纤维的长度:是指纤维伸直而未伸长时两端的距离,又叫伸直长度,单位为mm。
纤维长度是确定纺纱设备和纺纱工艺参数的依据,也是决定纱线质量的重要因素,因此纤维长度是衡量纤维品质的重要指标。化学纤维的长度可以人为控制,天然纤维的长度都是自然天成,所以尤为重要。
(2)纤维的细度:是指纤维的粗细程度。纤维的细度指标比较复杂,设计专业的学生只要明白细度是纤维重要的形态尺寸和质量指标即可。纤维细度与纺纱工艺及成纱质量关系密切,而且直接影响织物风格。
(3)纤维的卷曲度:卷曲本是羊毛纤维所特有的,它赋予羊毛纤维极佳的弹性和保暖性。后来人们破解了这个“秘密”,也在化学纤维中制造出了卷曲。
衡量卷曲的指标有以下两种。
①卷曲数:指每厘米长纤维的卷曲个数,是反映了卷曲的多少。
②卷曲率:指纤维单位伸直长度内,卷曲长度所占的百分率,反映了卷曲的程度。
只从外部认识了解纤维是不够的,因为各种纤维的性能表现根本原因在于纤维的内部结构,性能是结构的显现。只有做到既认识纤维的外部形态又掌握纤维的内部结构,才能全面理解各种纤维的性能。
纤维的三级结构: 大分子结构,链结构;
超分子结构,聚集态结构;
形态结构。
纤维的内部结构
(大分子结构、超分子结构)
所谓形态结构是指纤维中尺寸比较大的的分子敛集结构特征,这可在光学显微镜或电子显微镜下或用肉眼直接观察到。如纤维的各级微观结构、纤维的断面形状、纵向特征、以及纤维中存在的各种缝隙、孔洞等。
纺织纤维的分子都很大,常由数百至数万原子组成,称为大分子。
纺织纤维的大分子一般为直线形长链,其链节可以是完全相同的(如纤维素、聚乙烯等),也可是基本相同的(如蛋白质等)。这种链节称为“单基”。
一根大分子中具有单基的数量称为“聚合度”。
柔曲性:分子链节转动(弯曲、伸直)的特征。
大分子的结合力:分子引力(范德华力)、氢键、盐式键、化学键。
纺织纤维中大分子有规律地整齐排列的状态叫结晶态;纺织纤维中呈现结晶态的区域叫结晶区。纺织纤维的结晶区中,由于大分子排列比较整齐密实,缝隙孔洞较少,分子之间互相接近的各个基团的结合力互相饱和,因而纤维的吸湿较困难,强度较高,变形较小。
非晶态(无定形态):大分子不呈结晶态那样规则整齐排列的各种聚集态。
纺织纤维是结晶态和非结晶态的混合物,从整根纤维来看,表现出两方面的特征:第一是大分子排列方向和纤维方向的关系。大分子排列方向与纤维轴向符合的程度叫“取向度”。第二是纺织纤维中结晶区的比例用“结晶度”来表达。结晶度一般是指结晶区的体积占纤维总体积的百分数。


