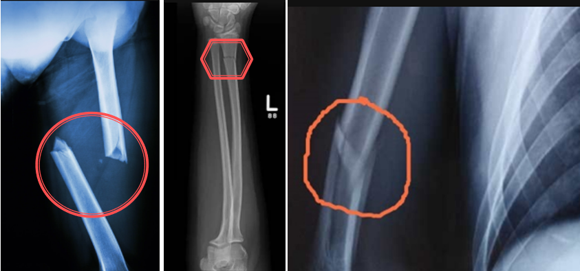
(1)、骨折的定义:
骨的完整性由于受直接外力、间接外力、积累性劳损等原因的作用,使其完整性和连续性发生改变,称为骨折
(2)、骨折分类:
按照是否与外界相通可分为:1)闭合性骨折-骨折断端不与外界相通,骨折处的皮肤、黏膜完整。 2)开放性骨折- 骨折局部皮肤、黏膜破裂损伤,骨折端与外界相通,易发感染。

按照骨的完整性可分为:
1)完全性骨折:骨的完整性和连续性全部破坏或中断,骨断裂成三块以上的碎块成为粉粹性骨折。
2)不完全骨折:骨未完全断裂,仅部分骨质破裂,如裂缝、凹陷、青枝骨质
3)嵌顿性骨折:断骨两端互相嵌在一起

(3)、骨折判定:
肿胀、疼痛 、畸形 、骨摩擦音 、功能障碍
(4)、骨折固定目的
1.制动,减少伤员的疼痛。
2.避免损伤周围组织、血管、神经。
3.减少出血和肿胀
4.防止闭合性骨折转化为开放性骨折。
5.便于搬运伤员。

固定骨折的材料
(一)脊柱部位固定
(1)简易颈托制作
用毛巾、衣物等卷成卷,内衬报纸,杂志等,从颈后向前围于颈部。自制颈托粗细以围于颈部后限制下颌活动为宜。

(2)简易脊柱板制作
表面平坦的木板、床板,以大小超过伤员的肩宽和人体高度为宜,配有绷带及布带用于固定。
(二)夹板类
健肢健侧、 夹板、就地取材

(三)、上肢骨折固定
(1)臂骨骨折:上臂骨折由摔伤、撞伤和击伤所致。上臂肿胀、瘀血、疼痛,有移位时出现畸形,上肢活动受限。桡神经紧贴肱骨干,易损伤。固定时,骨折处要加厚垫保护以防止桡神经损伤。
1)用夹板固定:
①两块木板,一块木板放于上臂外侧,从肘部到肩部,另一块放于上臂内侧,从肘部到腋下。
②放衬垫。
③用细带或三角巾固定骨折部位的上下两端,屈肘位小悬臂带悬吊前臂。
④指端露出,检查末梢血液循环。

2)用健侧躯干固定:

(2)前臂骨折
1).用夹板固定:取两块夹板,其长度超过肘关节至腕关节的长度,分别置于前臂内、外侧,用绷带或带状三角巾在两端固定,再用三角巾将前臂悬吊于胸前

2).用健侧躯干固定

(四)、肋骨骨折的固定

(五)、下肢骨折固定
大腿骨粗大,骨折常由巨大外力,如车祸、高空坠落及重物砸伤所致,损作严重,出血多,易出现休克。骨折后大腿肿胀、疼痛、变形或缩短。
(1).大腿骨折固定
1).用夹板固定:
①两块木板,一块长木板从伤侧腋窝到外踝,一块短木板从大腿根内侧内踝
②在腋下、膝关节、踝关节骨突部放棉垫保护,空隙处用柔软物品填实。
③用7条宽带固定。依次固定骨折上下两端,然后固定腋下、腰部、髋部、小腿、踝部。
④如只有一块木板则放于伤腿外侧,从腋下到外踝。
⑤内侧木板用健肢代替,两下肢之间加衬垫,固定方法同上。
⑥"“8”字法固定足踝。将宽带置于踝部,环绕足背交叉,再经足底中部至足背,在两足背间打结。
⑦趾端露出,检查末梢血液循环。

2).健肢固定:
①用三角巾、绷带、布带等四条宽带自健侧肢体膝下、踝下穿入将双下肢定在起
②两膝、两踝及两腿间隙之间垫好衬垫依次固定骨折上下两端、小腿、踝因定带的结打在健侧肢体外侧
③“8”字法固定足踝
④趾端露出,检查末梢血液循环

(2).小腿骨折固定
小腿骨折,尤其是胫骨骨折,骨折端易刺破小腿前方皮肤,造成骨外露。因此,在骨折处要加厚垫保护。小腿骨折固定时切忌固定过紧。
1).用夹板固定:
①两块木板,一块长木板从伤侧髖关节到外踝,一块短木板从大腿根内侧到内。
②分别放于伤肢的外侧及内侧。
③在膝关节、踝关节骨突部放衬垫保护,空处用条软物品垫实。
④五条宽带固定。先固定骨折上下两端,然后固定能部大腿。
⑤“8”字法固定足踝
⑥趾端露出,检查末梢血液循环

2).健肢固定

(六)、胸、腰椎骨折的固定
若伤员清醒,警告伤员;不能动,迅速叫救护车,速送医院。固定双手、脚与头部,切勿移动。可在自然凹位及身旁放置足够软垫固定身体

(七)、颈椎骨折的判断
有意识:局部疼痛、皮肤青紫;颈部畸型;手脚可能麻木或失去控制
昏迷病人:看受伤的环境;向知情者了解情况;查看颈部;不能确定时按颈椎骨折处理。



